Suppr超能文献

SOX-10 在尿路上皮癌及非肿瘤性尿路上皮中的免疫组织化学表达;及与肿瘤特征的相关性。

The Immunohistochemical Expression of SOX-10 in Urothelial Carcinoma and the Non Neoplastic Urothelium; and a Correlation with the Tumor Features.

机构信息

Department of Pathology, Kasr-Al-Ainy, Cairo University, Cairo, Egypt.

Department of Pathology, Faculty of Medicine, Cairo University, Cairo, Egypt.

出版信息

Asian Pac J Cancer Prev. 2022 Apr 1;23(4):1425-1432. doi: 10.31557/APJCP.2022.23.4.1425.

Abstract

OBJECTIVE

Evaluation of SOX-10 expression in malignant urothelial cells, comparing it with the phenotypically non neoplastic urothelium, and correlating it with the various clinicopathological variables, with a focus on the invasive pattern.

METHODS

Eighty paraffin blocks of urothelial carcinoma were stained by H&E. Histopathological features were evaluated and then immunostained with SOX-10 to evaluate its expression.

RESULTS

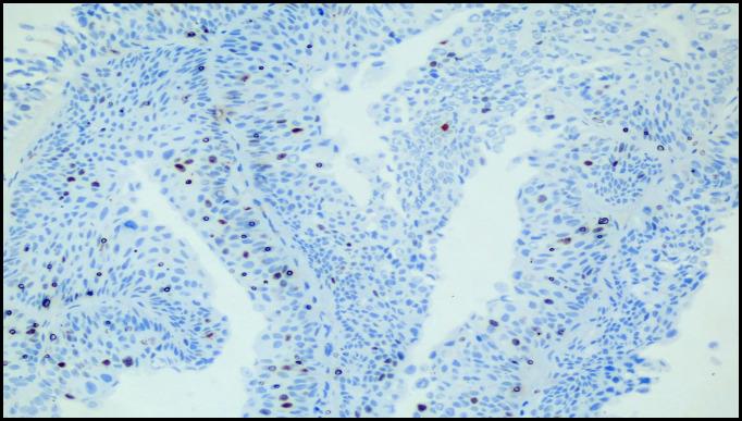
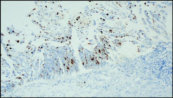
The evaluation of SOX-10 expression in urothelial carcinoma, revealed a high grade of SOX-10 expression in the malignant urothelium (4380 cases; 53.7%), while the adjacent the non neoplastic urothelium expressed high SOX-10 in (1242 case; 28.6%). Correlation of SOX-10 score with the various variables revealed a statistically significant correlation with the gross shape (P value=0.002), the tumor grade ((P value=0.009), the muscle invasion by the tumor ((P value=0.004), the tumor T stage, (P-value <0.001), N stage (P value=0.003), associated Schistoma hematobium infestation (P-value =0.016), and the presence of vascular tumor emboli (P-value =0.009). It was statistically insignificant with the gender, the anatomical site, and the perineural tumor invasion. Correlating the mean of SOX-10 score with some tumor features revealed a statistically significant correlation with the muscle invasion by the tumor, Tumor grade, T stage, and  non neoplastic urothelium; P-value <0.001 each and N stage P value=0.006.

CONCLUSION

SOX-10 is overexpressed in urothelial carcinoma and it was also detected in a significant part of the surrounding non neoplastic urothelium, which may contribute to understanding its role in multistep urothelial carcinogenesis as transcription or tumor-promoting factor, thus it could be used in future trials for specific targeted therapy.

摘要

目的

评估 SOX-10 在恶性尿路上皮细胞中的表达,将其与表型上非肿瘤性尿路上皮进行比较,并将其与各种临床病理变量相关联,重点关注侵袭模式。

方法

对 80 例尿路上皮癌石蜡块进行 H&E 染色。评估组织病理学特征,然后用 SOX-10 进行免疫染色,以评估其表达。

结果

在尿路上皮癌中评估 SOX-10 的表达,发现恶性尿路上皮中 SOX-10 表达程度较高(4380 例;53.7%),而相邻的非肿瘤性尿路上皮中高表达 SOX-10 的比例为(1242 例;28.6%)。SOX-10 评分与各种变量的相关性分析显示,与大体形态(P 值=0.002)、肿瘤分级((P 值=0.009)、肿瘤对肌肉的侵犯(P 值=0.004)、肿瘤 T 分期(P 值<0.001)、N 分期(P 值=0.003)、伴血吸虫感染(P 值=0.016)和血管肿瘤栓子的存在(P 值=0.009)有统计学意义。与性别、解剖部位和神经周围肿瘤浸润无统计学意义。SOX-10 评分均值与部分肿瘤特征的相关性分析显示,与肿瘤对肌肉的侵犯、肿瘤分级、T 分期和非肿瘤性尿路上皮均有统计学意义(P 值均<0.001),与 N 分期的相关性(P 值=0.006)。

结论

SOX-10 在尿路上皮癌中过度表达,在周围相当一部分非肿瘤性尿路上皮中也有表达,这可能有助于理解其在尿路上皮多步骤癌变过程中的作用,作为转录或肿瘤促进因子,因此它可以在未来的特定靶向治疗试验中使用。

https://cdn.ncbi.nlm.nih.gov/pmc/blobs/9cdc/9375602/8e4aa85e835f/APJCP-23-1425-g001.jpg

文献AI研究员

20分钟写一篇综述,助力文献阅读效率提升50倍。

立即体验

用中文搜PubMed

大模型驱动的PubMed中文搜索引擎

马上搜索

文档翻译

学术文献翻译模型,支持多种主流文档格式。

立即体验