Suppr超能文献

肝肠 secretin 受体可预测胆道闭锁患者行门腔分流术后的结局和肝损伤。

Liver secretin receptor predicts portoenterostomy outcomes and liver injury in biliary atresia.

机构信息

Pediatric Research Center, Children's Hospital, University of Helsinki and Helsinki University Hospital, Helsinki, Finland.

Section of Pediatric Surgery, Pediatric Liver and Gut Research Group and Pediatric Research Center, Children's Hospital, University of Helsinki and Helsinki University Hospital, Children's Hospital, P.O. Box 281, 00029 HUS, Helsinki, Finland.

出版信息

Sci Rep. 2022 May 4;12(1):7233. doi: 10.1038/s41598-022-11140-9.

Abstract

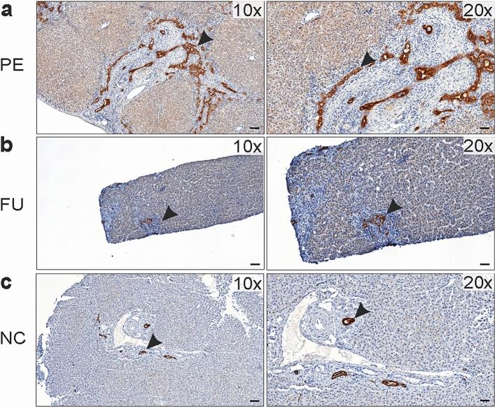
Biliary atresia (BA) is a chronic neonatal cholangiopathy characterized by fibroinflammatory bile duct damage. Reliable biomarkers for predicting native liver survival (NLS) following portoenterostomy (PE) surgery are lacking. Herein we explore the utility of 22 preidentified profibrotic molecules closely connected to ductular reaction (DR) and prevailing after successful PE (SPE), in predicting PE outcomes and liver injury. We used qPCR and immunohistochemistry in a BA cohort including liver samples obtained at PE (n = 53) and during postoperative follow-up after SPE (n = 25). Of the 13 genes over-expressed in relation to cholestatic age-matched controls at PE, only secretin receptor (SCTR) expression predicted cumulative 5-year NLS and clearance of jaundice. Patients in the highest SCTR expression tertile showed 34-55% lower NLS than other groups at 1-5 years after PE (P = 0.006-0.04 for each year). SCTR expression was also significantly lower [42 (24-63) vs 75 (39-107) fold, P = 0.015] among those who normalized their serum bilirubin after PE. Liver SCTR expression localized in cholangiocytes and correlated positively with liver fibrosis, DR, and transcriptional markers of fibrosis (ACTA2) and cholangiocytes (KRT7, KRT19) both at PE and after SPE. SCTR is a promising prognostic marker for PE outcomes and associates with liver injury in BA.

摘要

先天性胆道闭锁(BA)是一种慢性新生儿胆管病,其特征是纤维炎症性胆管损伤。目前缺乏用于预测门腔分流术(PE)后肝固有生存(NLS)的可靠生物标志物。在此,我们探讨了 22 种预先确定的促纤维化分子在预测 PE 结局和肝损伤方面的应用,这些分子与胆管反应(DR)密切相关,并在 PE 后普遍存在。我们使用 qPCR 和免疫组织化学方法对包括在 PE 时获得的肝脏样本(n=53)和 SPE 后术后随访期间获得的肝脏样本(n=25)在内的 BA 队列进行了研究。在 PE 时与胆汁淤积年龄匹配对照相比过表达的 13 个基因中,只有分泌素受体(SCTR)的表达可以预测累积 5 年 NLS 和黄疸消退。在 PE 后 1-5 年内,SCTR 表达最高 tertile 的患者的 NLS 比其他组低 34-55%(每年 P=0.006-0.04)。PE 后血清胆红素正常化的患者 SCTR 表达也明显降低[42(24-63)比 75(39-107)倍,P=0.015]。肝 SCTR 表达定位于胆管细胞,与肝纤维化、DR 以及纤维化(ACTA2)和胆管细胞(KRT7、KRT19)的转录标志物在 PE 时和 SPE 后均呈正相关。SCTR 是 PE 结局的有前途的预后标志物,与 BA 中的肝损伤相关。

https://cdn.ncbi.nlm.nih.gov/pmc/blobs/1f37/9068784/41fb275853df/41598_2022_11140_Fig1_HTML.jpg

文献AI研究员

20分钟写一篇综述,助力文献阅读效率提升50倍。

立即体验

用中文搜PubMed

大模型驱动的PubMed中文搜索引擎

马上搜索

文档翻译

学术文献翻译模型,支持多种主流文档格式。

立即体验