Suppr超能文献

早期诊断和治疗急性布鲁氏菌性膝关节炎合并急性骨髓炎:两例报告。

Early diagnosis and treatment of acute brucellosis knee arthritis complicated by acute osteomyelitis: two cases report.

机构信息

Department of Orthopedics, Beijing Ditan Hospital, Capital Medical University, Beijing, 100015, China.

出版信息

BMC Infect Dis. 2022 May 4;22(1):430. doi: 10.1186/s12879-022-07392-5.

Abstract

BACKGROUND

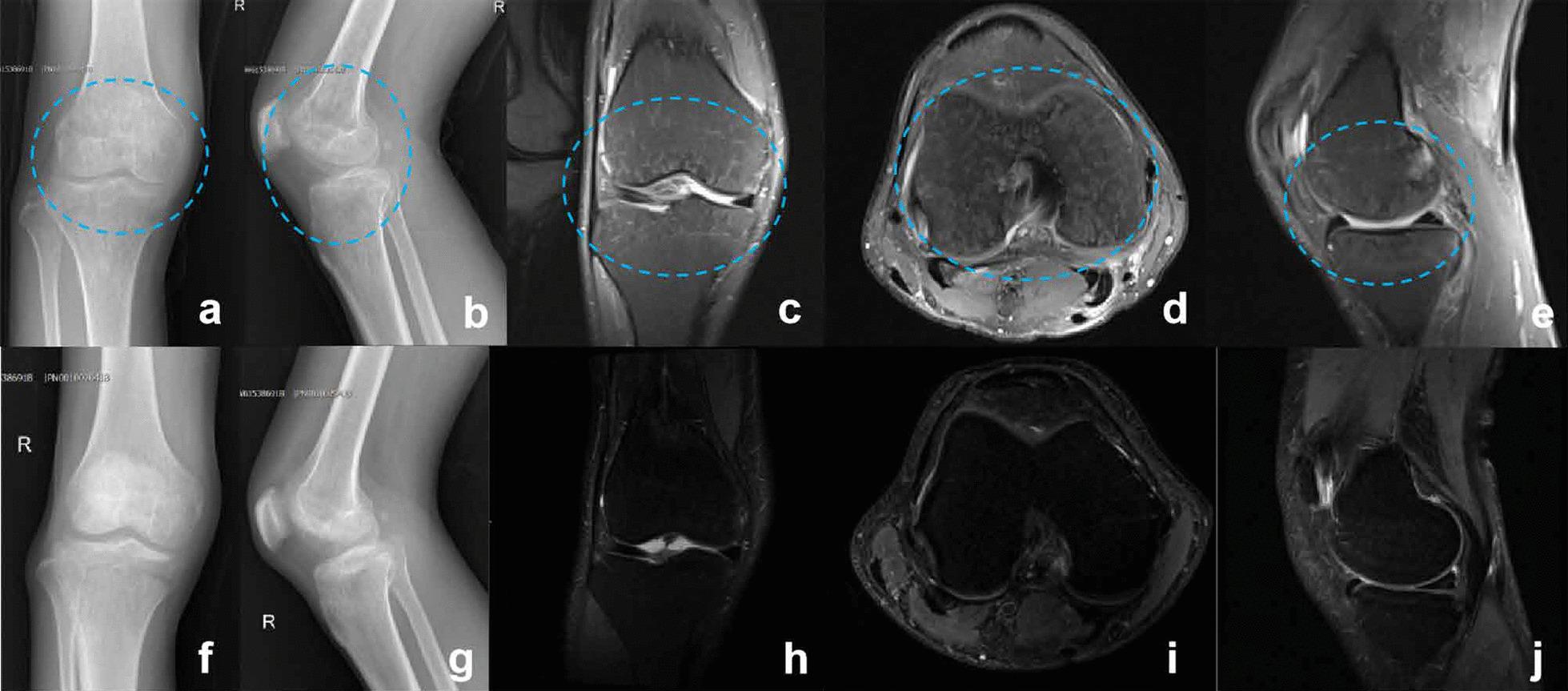
Brucellosis is an endemic systemic infectious disease, the most common complication is bone and joint involvement. Sacroiliac joint and spinal joint are the most frequently involved sites in adults, but knee joint infection is rare, and acute infectious knee arthritis complicated by acute osteomyelitis is even extremely uncommon in adults. Here, we report two cases of acute septic knee arthritis complicated by acute osteomyelitis caused by Brucella melitensis (B. melitensis).

CASE PRESENTATION

Both patients had a history of traveling in animal husbandry areas within three months. On clinical examination, their right knee joint was tender, swollen, had limited movement and an effusion was present. Imaging examination showed effusion and synovial thickening of the right knee joint, as well as subchondral bone edema of the distal femur and proximal tibia. Laboratory examination showed that the serum agglutination test (SAT) in both patients were positive (1: 640 and 1: 320) without leukocytosis, although the proportion of lymphocytes, erythrocyte sedimentation rate (ESR) and C-reactive protein (CRP) significantly increased. Both patients underwent knee joint aspiration. Real-time polymerase chain reaction (Real-time PCR) analysis of synovial fluid showed that there was B. melitensis, and blood bacterial culture was negative. We determined that two patients had acute brucellosis knee arthritis complicated by acute osteomyelitis. Antibiotic treatment was given during hospitalization consisting of doxycycline (0.1 g po bid) and rifampicin (0.6 g po qd) for six weeks, and the changes of inflammatory indexes were closely monitored. At discharge, the symptoms had completely resolved, imaging abnormalities disappeared, and inflammatory indexes returned to normal. There was no recurrence of the disease at 1-year follow-up.

CONCLUSION

Acute brucellosis knee arthritis complicated by acute osteomyelitis is a rare but serious complication of brucellosis in adults. There is no obvious specificity of clinical manifestation and imaging examination. Early diagnosis and treatment can prevent the occurrence of knee joint deformity and even pathological fracture. Clinicians should fully consider the possibility of brucellosis where the travel or occupational history is suggestive.

摘要

背景

布鲁氏菌病是一种地方性全身感染性疾病,最常见的并发症是骨骼和关节受累。成人最常受累的部位是骶髂关节和脊柱关节,但膝关节感染少见,成人急性感染性膝关节炎合并急性骨髓炎更为罕见。本文报道了两例由马尔他布鲁氏菌(B. melitensis)引起的急性化脓性膝关节炎合并急性骨髓炎。

病例介绍

两名患者均有 3 个月内到畜牧业地区旅行的病史。临床检查发现,他们的右膝关节压痛、肿胀、活动受限并伴有积液。影像学检查显示右膝关节积液和滑膜增厚,以及股骨远端和胫骨近端的骨软骨下骨水肿。实验室检查发现,两名患者的血清凝集试验(SAT)均为阳性(1:640 和 1:320),白细胞不高,但淋巴细胞比例、红细胞沉降率(ESR)和 C 反应蛋白(CRP)显著升高。两名患者均接受了膝关节抽吸术。关节液实时聚合酶链反应(Real-time PCR)分析显示存在马尔他布鲁氏菌,血培养阴性。我们诊断两名患者均患有急性布鲁氏菌性膝关节炎合并急性骨髓炎。住院期间给予多西环素(0.1 g 口服 bid)和利福平(0.6 g 口服 qd)治疗 6 周,并密切监测炎症指标的变化。出院时,症状完全缓解,影像学异常消失,炎症指标恢复正常。随访 1 年无疾病复发。

结论

成人布鲁氏菌病合并急性骨髓炎的急性布鲁氏菌性膝关节炎是一种罕见但严重的并发症。临床表现和影像学检查无明显特异性。早期诊断和治疗可预防膝关节畸形甚至病理性骨折的发生。临床医生应充分考虑有旅行或职业史的布鲁氏菌病的可能性。

https://cdn.ncbi.nlm.nih.gov/pmc/blobs/6b7a/9066799/c3f77bf05e24/12879_2022_7392_Fig1_HTML.jpg

文献AI研究员

20分钟写一篇综述,助力文献阅读效率提升50倍。

立即体验

用中文搜PubMed

大模型驱动的PubMed中文搜索引擎

马上搜索

文档翻译

学术文献翻译模型,支持多种主流文档格式。

立即体验