Suppr超能文献

伴有骨化生及惰性生物学行为的重排性肾细胞癌

-rearranged renal cell carcinoma with osseous metaplasia and indolent behaviour.

作者信息

Aldera Alessandro Pietro, Ramburan Amsha, John Jeff

机构信息

Division of Anatomical Pathology, Faculty of Health Sciences, University of Cape Town, South Africa.

JDW Pathology Inc, Cape Town, South Africa.

出版信息

Urol Case Rep. 2022 Feb 25;42:102041. doi: 10.1016/j.eucr.2022.102041. eCollection 2022 May.

Abstract

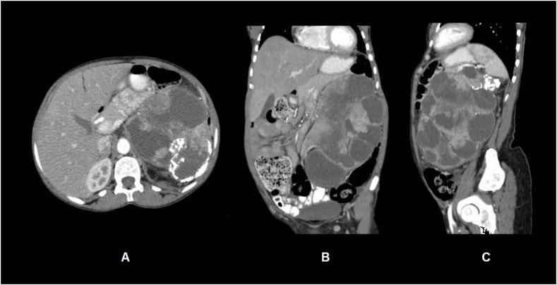
TFE3-rearranged renal cell carcinoma (RCC) is a rare but well characterised histological subtype of RCC with an aggressive clinical course and propensity for late metastases. Osseous metaplasia is an uncommon but well documented finding in clear cell, papillary and chromophobe RCC. We present the first case of a -rearranged RCC to be found harbouring metaplastic bone in a 47-year-old woman who presented with a slowly enlarging left flank mass over a 10 year period. This case report adds to the clinicopathological description of -rearranged RCC and suggests that larger studies are required to fully elucidate the prognosis of these tumours.

摘要

TFE3 重排肾细胞癌(RCC)是一种罕见但特征明确的肾细胞癌组织学亚型,临床病程侵袭性强,易发生晚期转移。骨化生在透明细胞型、乳头状和嫌色细胞型肾细胞癌中并不常见,但已有充分记录。我们报告首例TFE3重排肾细胞癌病例,该病例发生于一名47岁女性,她在10年期间出现左侧腰部缓慢增大的肿块,且伴有化生骨。本病例报告补充了TFE3重排肾细胞癌的临床病理描述,并表明需要进行更大规模的研究以充分阐明这些肿瘤的预后。

https://cdn.ncbi.nlm.nih.gov/pmc/blobs/4432/9073298/f202ffb1991a/gr1.jpg

文献AI研究员

20分钟写一篇综述,助力文献阅读效率提升50倍。

立即体验

用中文搜PubMed

大模型驱动的PubMed中文搜索引擎

马上搜索

文档翻译

学术文献翻译模型,支持多种主流文档格式。

立即体验