Suppr超能文献

VEGF 导向治疗治疗非小细胞肺癌恶性胸腔积液。

Treatment of malignant pleural effusion in non-small cell lung cancer with VEGF-directed therapy.

机构信息

Department of Oncology, The Affiliated Hospital of Southwest Medical University, Luzhou, China.

Phase 1 Clinical Trial Center, Deyang People's Hospital, Deyang, China.

出版信息

Ann Med. 2022 Dec;54(1):1357-1371. doi: 10.1080/07853890.2022.2071977.

Abstract

BACKGROUND

Vascular endothelial growth factor (VEGF) is a critical regulator of malignant pleural effusion (MPE) in non-small-cell lung cancer (NSCLC). Bevacizumab (BEV) and apatinib (APA) are novel VEGF blockers that inhibit lung cancer cell proliferation and the development of pleural effusion.

METHODS

In this study, we established Lewis lung cancer (LLC) xenograft mouse models to compare the therapeutic effect of APA and BEV in combination with cisplatin (CDDP) against MPE. The anti-tumour and anti-angiogenic effects of this combination therapy were evaluated by F-FDG PET/CT imaging, TUNEL assay and Immunohistochemistry.

RESULTS

The triple drug combination significantly prolonged the overall survival of the tumour-bearing mice by reducing MPE and glucose metabolism and was more effective in lowering VEGF/soluble VEGFR-2 levels in the serum and pleural exudates compared to either of the monotherapies. Furthermore, CDDP + APA + BEV promoted apoptosis and decreased microvessel density.

CONCLUSIONS

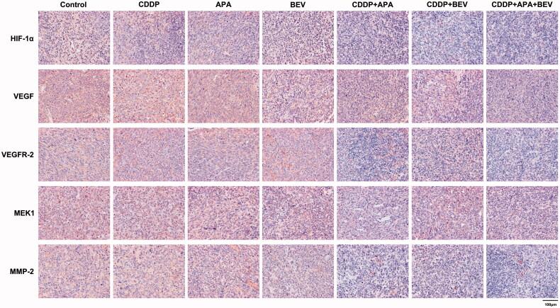
Mechanistically, LLC-induced MPE was inhibited by targeting the VEGF-MEK/ERK pathways. Further studies are needed to establish the synergistic therapeutic effect of these drugs in NSCLC patients with MPE.KEY MESSAGESCombined treatment of MPE with apatinib, bevacizumab and cisplatin can prolong the survival time of mice, reduce the content of MPE, decrease the SUV of thoracic tumour tissue, down-regulate the content of VEGF and sVEGFR-2 in serum and pleural fluid, and promote the apoptosis of tumour cells. Angiogenesis and MPE formation can be inhibited by down-regulation of HIF-1α, VEGF, VEGFR-2, MEK1 and MMP-2 molecular signalling pathway proteins.

摘要

背景

血管内皮生长因子(VEGF)是一种非小细胞肺癌(NSCLC)恶性胸腔积液(MPE)的关键调节剂。贝伐单抗(BEV)和阿帕替尼(APA)是新型的 VEGF 阻断剂,可抑制肺癌细胞增殖和胸腔积液的发展。

方法

本研究建立了 Lewis 肺癌(LLC)异种移植小鼠模型,比较 APA 和 BEV 联合顺铂(CDDP)治疗 MPE 的疗效。通过 F-FDG PET/CT 成像、TUNEL 检测和免疫组化评估该联合治疗的抗肿瘤和抗血管生成作用。

结果

三药联合治疗通过减少 MPE 和葡萄糖代谢,显著延长荷瘤小鼠的总生存期,与单药治疗相比,更有效地降低血清和胸腔渗出液中 VEGF/可溶性 VEGFR-2 水平。此外,CDDP+APA+BEV 促进了细胞凋亡,降低了微血管密度。

结论

从机制上讲,通过靶向 VEGF-MEK/ERK 通路抑制 LLC 诱导的 MPE。需要进一步研究这些药物在 NSCLC 合并 MPE 患者中的协同治疗效果。

关键信息

阿帕替尼、贝伐单抗和顺铂联合治疗 MPE 可延长小鼠的生存时间,减少 MPE 含量,降低胸壁肿瘤组织的 SUV,下调血清和胸腔液中 VEGF 和 sVEGFR-2 的含量,促进肿瘤细胞凋亡。通过下调 HIF-1α、VEGF、VEGFR-2、MEK1 和 MMP-2 等分子信号通路蛋白,可抑制血管生成和 MPE 形成。

https://cdn.ncbi.nlm.nih.gov/pmc/blobs/675b/9103356/de800c2a535c/IANN_A_2071977_F0001_C.jpg

文献AI研究员

20分钟写一篇综述,助力文献阅读效率提升50倍。

立即体验

用中文搜PubMed

大模型驱动的PubMed中文搜索引擎

马上搜索

文档翻译

学术文献翻译模型,支持多种主流文档格式。

立即体验