Suppr超能文献

视网膜血管炎综合更新:病因、表现及治疗

A Comprehensive Update on Retinal Vasculitis: Etiologies, Manifestations and Treatments.

作者信息

Agarwal Aniruddha, Rübsam Anne, Zur Bonsen Lynn, Pichi Francesco, Neri Piergiorgio, Pleyer Uwe

机构信息

The Eye Institute, Cleveland Clinic Abu Dhabi, Abu Dhabi P.O. Box 124140, United Arab Emirates.

Cleveland Clinic Lerner College of Medicine, Cleveland, OH 44195, USA.

出版信息

J Clin Med. 2022 Apr 30;11(9):2525. doi: 10.3390/jcm11092525.

Abstract

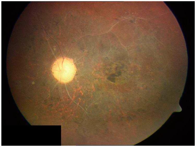
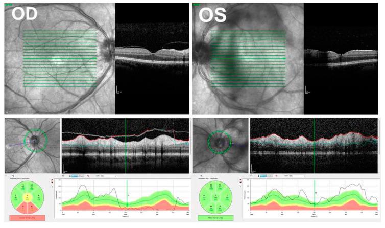
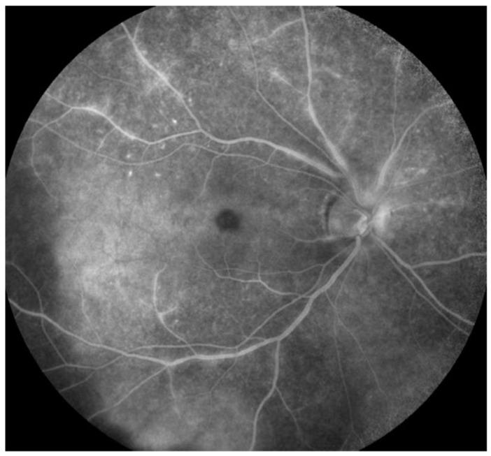
Retinal vasculitis is characterized by inflammatory involvement of retinal arterioles, venules and/or capillaries and can be associated with a myriad of systemic and ophthalmic diseases. In this review, we have comprehensively discussed the etiologies, clinical manifestations, and presentations of retinal vasculitis. We have also included newer advances in imaging in retinal vasculitis such as OCTA and widefield imaging.

摘要

视网膜血管炎的特征是视网膜小动脉、小静脉和/或毛细血管发生炎症,并且可能与多种全身和眼科疾病相关。在本综述中,我们全面讨论了视网膜血管炎的病因、临床表现和症状。我们还纳入了视网膜血管炎成像方面的最新进展,如光学相干断层扫描血管造影(OCTA)和广角成像。

https://cdn.ncbi.nlm.nih.gov/pmc/blobs/790c/9101900/c0fe2e7d981c/jcm-11-02525-g001.jpg

文献AI研究员

20分钟写一篇综述,助力文献阅读效率提升50倍。

立即体验

用中文搜PubMed

大模型驱动的PubMed中文搜索引擎

马上搜索

文档翻译

学术文献翻译模型,支持多种主流文档格式。

立即体验