Suppr超能文献

番茄红素可改善实验性诱导精索静脉曲张中的睾丸损伤和精子质量:与细胞凋亡、缺氧和高温的关系。

Lycopene improves testicular damage and sperm quality in experimentally induced varicocele: Relationship with apoptosis, hypoxia, and hyperthermia.

作者信息

Babaei Atefeh, Asadpour Reza, Mansouri Kamran, Sabrivand Adel, Kazemi-Darabadi Siamak

机构信息

Department of Clinical Sciences Faculty of Veterinary Medicine University of Tabriz Tabriz Iran.

Medical Biology Research Center Health Technology Institute Kermanshah University of Medical Sciences Kermanshah Iran.

出版信息

Food Sci Nutr. 2022 Mar 25;10(5):1469-1480. doi: 10.1002/fsn3.2762. eCollection 2022 May.

Abstract

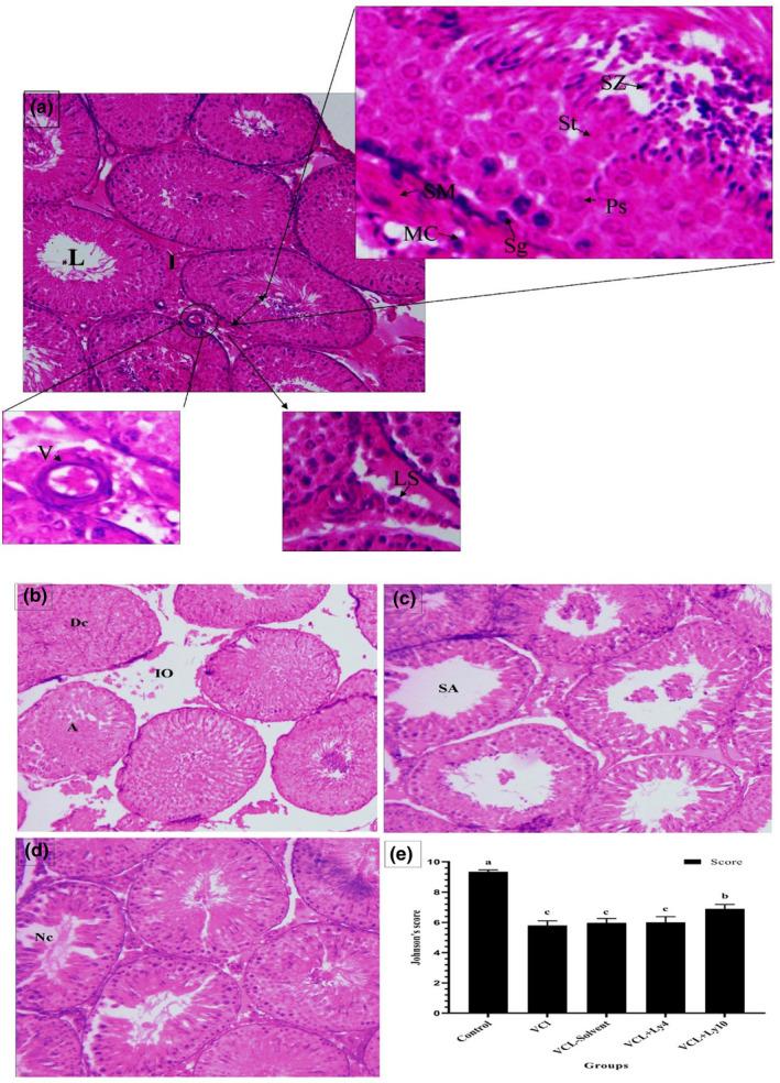
Varicocele is considered the main reason for male infertility. Antioxidants are common drugs used to reduce the complications of varicocele in these patients. So, we investigated the effects of lycopene on sperm quality, testicular histology, and the expression of some genes in experimentally induced varicocele. Fifty adult male Wistar rats were divided into three groups: control ( = 12), sham ( = 5), and varicocele ( = 33) groups. After 2 months of induced varicocele, five rats were randomly sacrificed and induced varicocele was investigated in each group. Finally, 35 rats were divided into five groups: the control, varicocele, varicocele reserving solvent, and varicocele reserving lycopene (4 and 10 mg/kg) for 2 months. At the end of the experiment, sperm viability, membrane integrity, the expression of Bax, Bcl2, hypoxia (hypoxia-inducible factor 1α [HIF1-α]), heat-shock protein (heat-shock protein A2 [HSPA2]) genes, and the histology of testes were measured. The results showed a significant decrease in the sperm viability, membrane integrity, Johnson's score, and the expression of the Bcl2 gene in the varicocele group compared to the control group. Also, there was a significant increase in Bax, HSPA2, and HIF1-α expressions in the varicocele group compared to the control group. Although the administration of lycopene (10 mg/kg) in rats with varicocele improved sperm viability and membrane integrity, Johnson's score, and Bax expression compared to the varicocele group. Our findings indicated that the administration of lycopene in the varicocele group improved sperm quality and testicular injury induced by varicocele via decreasing apoptosis.

摘要

精索静脉曲张被认为是男性不育的主要原因。抗氧化剂是用于减少这些患者精索静脉曲张并发症的常用药物。因此,我们研究了番茄红素对实验性诱导的精索静脉曲张大鼠精子质量、睾丸组织学以及一些基因表达的影响。50只成年雄性Wistar大鼠被分为三组:对照组(n = 12)、假手术组(n = 5)和精索静脉曲张组(n = 33)。诱导精索静脉曲张2个月后,每组随机处死5只大鼠并检查诱导的精索静脉曲张情况。最后,35只大鼠被分为五组:对照组、精索静脉曲张组、精索静脉曲张溶剂对照组、精索静脉曲张4 mg/kg番茄红素组和精索静脉曲张10 mg/kg番茄红素组,持续给药2个月。实验结束时,检测精子活力、膜完整性、Bax、Bcl2、缺氧(缺氧诱导因子1α [HIF1-α])、热休克蛋白(热休克蛋白A2 [HSPA2])基因的表达以及睾丸组织学。结果显示,与对照组相比,精索静脉曲张组的精子活力、膜完整性、约翰逊评分以及Bcl2基因的表达显著降低。此外,与对照组相比,精索静脉曲张组的Bax、HSPA2和HIF1-α表达显著增加。尽管与精索静脉曲张组相比,给精索静脉曲张大鼠服用番茄红素(10 mg/kg)可提高精子活力、膜完整性、约翰逊评分并降低Bax表达。我们的研究结果表明,给精索静脉曲张组大鼠服用番茄红素可通过减少细胞凋亡来改善精索静脉曲张所致的精子质量和睾丸损伤。

https://cdn.ncbi.nlm.nih.gov/pmc/blobs/6649/9094497/9bd53c05904d/FSN3-10-1469-g006.jpg

文献AI研究员

20分钟写一篇综述,助力文献阅读效率提升50倍。

立即体验

用中文搜PubMed

大模型驱动的PubMed中文搜索引擎

马上搜索

文档翻译

学术文献翻译模型,支持多种主流文档格式。

立即体验