Suppr超能文献

调节破骨细胞上的多巴胺受体作为一种在关节炎中诱导骨形成的可能治疗策略。

Modulation of Dopamine Receptors on Osteoblasts as a Possible Therapeutic Strategy for Inducing Bone Formation in Arthritis.

机构信息

Project Group Neuroimmunology, Department of Immunology, IfADo-Leibniz Research Center for Working Environment and Human Factors, 44139 Dortmund, Germany.

Department of Orthopaedics and Orthopaedic Surgery, University Hospital Giessen and Marburg (UKGM), 35392 Giessen, Germany.

出版信息

Cells. 2022 May 11;11(10):1609. doi: 10.3390/cells11101609.

Abstract

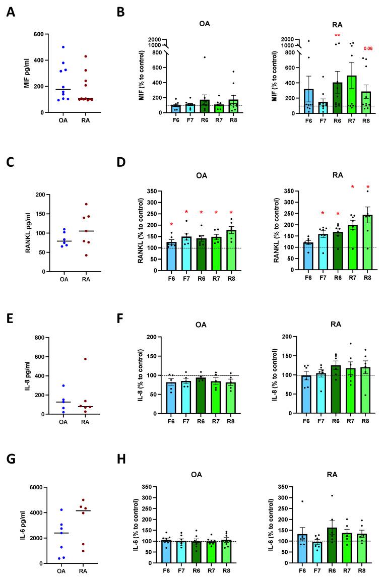
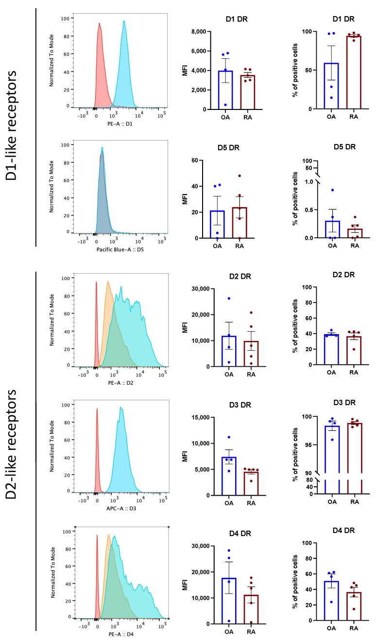
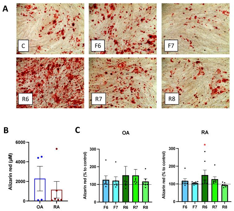
Rheumatoid arthritis (RA) is associated with systemic osteoporosis, which leads to severe disability and low quality of life. Current therapies target osteoclasts to reduce bone degradation, but more treatment options would be required to promote bone protection by acting directly on osteoblasts (OB). Recently, the local production of dopamine in inflamed joints of RA has been observed. Thus, in this project, we aimed to determine the implication of the neurotransmitter dopamine in the bone formation process in RA. Dopamine receptors (DR) in the human bone tissue of RA or osteoarthritis (OA) patients were examined by immunohistochemistry. DR in isolated human osteoblasts (OB) was analyzed by flow cytometry, and dopamine content was evaluated by ELISA. Osteoclasts (OC) were differentiated from the PBMCs of healthy controls (HC) and RA patients. Isolated cells were treated with specific dopamine agonists. The effect of dopamine on mineralization was evaluated by Alizarin red staining. Cytokine release in supernatants was measured by ELISA. Osteoclastogenesis was evaluated with TRAP staining. OC markers were analyzed via real-time PCR and bone resorption via staining of resorption pits with toluidine blue. All DR were observed in bone tissue, especially in the bone remodeling area. Isolated OB maintained DR expression, which allowed their study in vitro. Isolated OB expressed tyrosine hydroxylase, the rate-limiting enzyme for dopamine production, and contained dopamine. The activation of D2-like DR significantly increased bone mineralization in RA osteoblasts and increased osteoclastogenesis but did not alter the expression of OC markers nor bone resorption. DR were found in the bone remodeling area of human bone tissue and dopamine can be produced by osteoblasts themselves, thus suggesting a local autocrine/paracrine pathway of dopamine in the bone. D2-like DRs are responsible for bone mineralization in osteoblasts from RA patients without an increase in bone resorption, thus suggesting the D2-like DR pathway as a possible future therapeutic target to counteract bone resorption in arthritis.

摘要

类风湿关节炎(RA)与全身性骨质疏松症有关,这会导致严重的残疾和生活质量下降。目前的治疗方法针对破骨细胞来减少骨质降解,但需要更多的治疗选择来通过直接作用于成骨细胞(OB)来促进骨质保护。最近,在 RA 炎症关节中观察到多巴胺的局部产生。因此,在本项目中,我们旨在确定神经递质多巴胺在 RA 中的骨形成过程中的作用。通过免疫组织化学检查 RA 或骨关节炎(OA)患者人骨组织中的多巴胺受体(DR)。通过流式细胞术分析分离的人成骨细胞(OB)中的 DR,通过 ELISA 评估多巴胺含量。从健康对照(HC)和 RA 患者的 PBMC 中分化破骨细胞(OC)。分离的细胞用特定的多巴胺激动剂处理。通过茜素红染色评估多巴胺对矿化的影响。通过 ELISA 测量上清液中细胞因子的释放。通过 TRAP 染色评估破骨细胞生成。通过实时 PCR 分析 OC 标志物,通过甲苯胺蓝染色分析骨质吸收。在骨组织中观察到所有 DR,特别是在骨重塑区域。分离的 OB 保持 DR 表达,这允许在体外研究它们。分离的 OB 表达酪氨酸羟化酶,这是多巴胺产生的限速酶,并含有多巴胺。D2 样 DR 的激活显著增加 RA 成骨细胞的骨矿化并增加破骨细胞生成,但不改变 OC 标志物的表达或骨质吸收。在人骨组织的骨重塑区域中发现了 DR,并且多巴胺可以由成骨细胞自身产生,这表明多巴胺在骨中的局部自分泌/旁分泌途径。D2 样 DR 负责 RA 患者成骨细胞的骨矿化,而不增加骨质吸收,因此表明 D2 样 DR 途径可能是治疗关节炎中骨质吸收的未来潜在靶点。

https://cdn.ncbi.nlm.nih.gov/pmc/blobs/af64/9140103/c2f7823b2e0b/cells-11-01609-g001.jpg

文献AI研究员

20分钟写一篇综述,助力文献阅读效率提升50倍。

立即体验

用中文搜PubMed

大模型驱动的PubMed中文搜索引擎

马上搜索

文档翻译

学术文献翻译模型,支持多种主流文档格式。

立即体验