Suppr超能文献

立体定向磁共振图像引导的适形放射治疗用于非骨寡转移瘤的多机构研究结果,中位生物等效剂量为100 Gy

Multi-Institutional Outcomes of Stereotactic Magnetic Resonance Image Guided Adaptive Radiation Therapy With a Median Biologically Effective Dose of 100 Gy for Non-bone Oligometastases.

作者信息

Kutuk Tugce, Herrera Robert, Mustafayev Teuta Z, Gungor Gorkem, Ugurluer Gamze, Atalar Banu, Kotecha Rupesh, Hall Matthew D, Rubens Muni, Mittauer Kathryn E, Contreras Jessika A, McCulloch James, Kalman Noah S, Alvarez Diane, Romaguera Tino, Gutierrez Alonso N, Garcia Jacklyn, Kaiser Adeel, Mehta Minesh P, Ozyar Enis, Chuong Michael D

机构信息

Department of Radiation Oncology, Miami Cancer Institute, Baptist Health South Florida, Miami, Florida.

Department of Radiation Oncology, School of Medicine, Acibadem Mehmet Ali Aydinlar University, Istanbul, Turkey.

出版信息

Adv Radiat Oncol. 2022 Apr 25;7(6):100978. doi: 10.1016/j.adro.2022.100978. eCollection 2022 Nov-Dec.

Abstract

PURPOSE

Randomized data show a survival benefit of stereotactic ablative body radiation therapy in selected patients with oligometastases (OM). Stereotactic magnetic resonance guided adaptive radiation therapy (SMART) may facilitate the delivery of ablative dose for OM lesions, especially those adjacent to historically dose-limiting organs at risk, where conventional approaches preclude ablative dosing.

METHODS AND MATERIALS

The RSSearch Registry was queried for OM patients (1-5 metastatic lesions) treated with SMART. Freedom from local progression (FFLP), freedom from distant progression (FFDP), progression-free survival (PFS), and overall survival (LS) were estimated using the Kaplan-Meier method. FFLP was evaluated using RECIST 1.1 criteria. Toxicity was evaluated using Common Terminology Criteria for Adverse Events version 4 criteria.

RESULTS

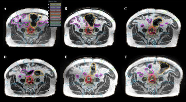
Ninety-six patients with 108 OM lesions were treated on a 0.35 T MR Linac at 2 institutions between 2018 and 2020. SMART was delivered to mostly abdominal or pelvic lymph nodes (48.1%), lung (18.5%), liver and intrahepatic bile ducts (16.7%), and adrenal gland (11.1%). The median prescribed radiation therapy dose was 48.5 Gy (range, 30-60 Gy) in 5 fractions (range, 3-15). The median biologically effective dose corrected using an alpha/beta value of 10 was 100 Gy (range, 48-180). No acute or late grade 3+ toxicities were observed with median 10 months (range, 3-25) follow-up. Estimated 1-year FFLP, FFDP, PFS, and OS were 92.3%, 41.1%, 39.3%, and 89.6%, respectively. Median FFDP and PFS were 8.9 months (95% confidence interval, 5.2-12.6 months) and 7.6 months (95% confidence interval, 4.5-10.6 months), respectively.

CONCLUSIONS

To our knowledge, this represents the largest analysis of SMART using ablative dosing for non-bone OM. A median prescribed biologically effective dose of 100 Gy resulted in excellent early FFLP and no significant toxicity, likely facilitated by continuous intrafraction MR visualization, breath hold delivery, and online adaptive replanning. Additional prospective evaluation of dose-escalated SMART for OM is warranted.

摘要

目的

随机数据显示,立体定向消融体部放射治疗对部分寡转移(OM)患者具有生存获益。立体定向磁共振引导自适应放射治疗(SMART)可能有助于为OM病灶提供消融剂量,尤其是那些邻近历史剂量限制危及器官的病灶,传统方法无法进行消融剂量照射。

方法和材料

查询RSSearch注册库中接受SMART治疗的OM患者(1 - 5个转移病灶)。采用Kaplan-Meier方法估计局部无进展生存期(FFLP)、远处无进展生存期(FFDP)、无进展生存期(PFS)和总生存期(OS)。使用RECIST 1.1标准评估FFLP。使用不良事件通用术语标准第4版标准评估毒性。

结果

2018年至2020年期间,两家机构在0.35T MR直线加速器上对96例有108个OM病灶的患者进行了治疗。SMART主要用于腹部或盆腔淋巴结(48.1%)、肺(18.5%)、肝脏和肝内胆管(16.7%)以及肾上腺(11.1%)。中位处方放射治疗剂量为48.5Gy(范围30 - 60Gy),分5次给予(范围3 - 15次)。使用α/β值10校正后的中位生物等效剂量为100Gy(范围48 - 180)。中位随访10个月(范围3 - 25个月),未观察到3级及以上急性或晚期毒性反应。估计1年的FFLP、FFDP、PFS和OS分别为92.3%、41.1%、39.3%和89.6%。中位FFDP和PFS分别为8.9个月(95%置信区间5.2 - 12.6个月)和7.6个月(95%置信区间4.5 - 10.6个月)。

结论

据我们所知,这是对使用消融剂量治疗非骨OM的SMART进行的最大规模分析。中位处方生物等效剂量100Gy导致了出色的早期FFLP且无明显毒性,这可能得益于分次治疗期间的连续磁共振可视化、屏气给药和在线自适应重新计划。有必要对剂量递增的SMART用于OM进行进一步的前瞻性评估。

https://cdn.ncbi.nlm.nih.gov/pmc/blobs/7b70/9130084/38c6510aa739/gr1.jpg

文献AI研究员

20分钟写一篇综述,助力文献阅读效率提升50倍。

立即体验

用中文搜PubMed

大模型驱动的PubMed中文搜索引擎

马上搜索

文档翻译

学术文献翻译模型,支持多种主流文档格式。

立即体验