Suppr超能文献

L-司来吉兰对大鼠模型脊髓损伤中Mst1基因表达水平的神经保护作用及对细胞凋亡的抑制作用

Neuroprotective effect of L-deprenyl on the expression level of the Mst1 gene and inhibition of apoptosis in rat-model spinal cord injury.

作者信息

Abdanipour Alireza, Nikfar Ali, Nikbakht Rad Mahsa, Jafari Anarkooli Iraj, Mansouri Mojdeh

机构信息

Department of Anatomy, School of Medicine, Zanjan University of Medical Sciences, Zanjan, Iran.

Department of Genetics and Molecular Medicine, Faculty of Medicine, Zanjan University of Medical Sciences, Zanjan, Iran.

出版信息

Iran J Basic Med Sci. 2022 Jan;25(1):53-59. doi: 10.22038/IJBMS.2022.58031.12894.

Abstract

OBJECTIVES

After primary tissue damage as a result of spinal cord injury (SCI), there is a period of secondary damage, which includes several cellular and inflammatory biochemical cascades. As a novel pro-apoptotic kinase, (serine/threonine kinase 4) promotes programmed cell death in an inflammatory disease model. This study aimed to evaluate gene expression levels in rats with spinal cord injury treated with L- deprenyl.

MATERIALS AND METHODS

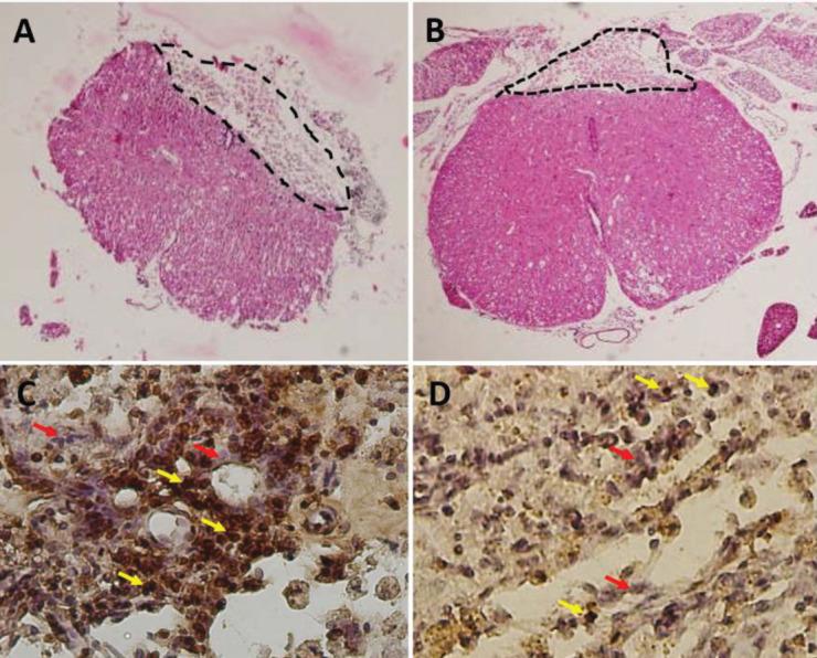
The rats were divided into control (contusion), laminectomy, sham-operated (contused rats received 1 ml normal saline intraperitoneal), and treatment (contused rats received 5 mg/kg of L-deprenyl intraperitoneal; once a day for 7 days). The BBB (Basso, Beattie, and Bresnahan) scales were performed to assess motor function following SCI. Rats were sacrificed 28 days after SCI and the spinal cord lesion area was removed. Apoptosis and cavity formation in the spinal cord were determined by H&E staining and TUNEL assay, respectively. The mRNA levels of the , , , and genes were analyzed using real-time quantitative PCR.

RESULTS

The results showed significant improvement in motor function in the L- deprenyl group compared with the untreated group. Histological analysis showed a significant reduction in the number of tunnel-positive cells after injection of L-deprenyl, as well as a decrease in the volume of the cavity. In addition, L-deprenyl treatment increased the expression of the , , and genes, while reducing the expression of the gene in the spinal nerves.

CONCLUSION

These results suggest that L-deprenyl is a promising treatment for spinal cord injury.

摘要

目的

脊髓损伤(SCI)导致原发性组织损伤后,会有一段继发性损伤期,其中包括多个细胞和炎症生化级联反应。作为一种新型促凋亡激酶,(丝氨酸/苏氨酸激酶4)在炎症性疾病模型中促进程序性细胞死亡。本研究旨在评估用L-司来吉兰治疗的脊髓损伤大鼠中该基因的表达水平。

材料与方法

将大鼠分为对照组(挫伤组)、椎板切除术组、假手术组(挫伤大鼠腹腔注射1 ml生理盐水)和治疗组(挫伤大鼠腹腔注射5 mg/kg L-司来吉兰;每天一次,共7天)。采用BBB(Basso、Beattie和Bresnahan)评分评估脊髓损伤后的运动功能。脊髓损伤28天后处死大鼠,取出脊髓损伤区域。分别通过苏木精-伊红(H&E)染色和末端脱氧核苷酸转移酶介导的缺口末端标记(TUNEL)法测定脊髓中的细胞凋亡和空洞形成情况。使用实时定量聚合酶链反应(PCR)分析该基因、基因、基因和基因的mRNA水平。

结果

结果显示,与未治疗组相比,L-司来吉兰组的运动功能有显著改善。组织学分析表明,注射L-司来吉兰后,TUNEL阳性细胞数量显著减少,空洞体积也减小。此外,L-司来吉兰治疗增加了脊髓神经中该基因、基因和基因的表达,同时降低了基因的表达。

结论

这些结果表明,L-司来吉兰是一种有前景的脊髓损伤治疗药物。

https://cdn.ncbi.nlm.nih.gov/pmc/blobs/619d/9118276/58dd30978504/IJBMS-25-53-g001.jpg

文献AI研究员

20分钟写一篇综述,助力文献阅读效率提升50倍。

立即体验

用中文搜PubMed

大模型驱动的PubMed中文搜索引擎

马上搜索

文档翻译

学术文献翻译模型,支持多种主流文档格式。

立即体验