Suppr超能文献

小儿乳糜泻的血清学、内镜及病理检查结果:低收入/中等收入国家的单中心经验

Serologic, endoscopic and pathologic findings in pediatric celiac disease: A single center experience in a low/middle income country.

作者信息

Mansour Hala H, Mohsen Nabil A, El-Shabrawi Mortada Hf, Awad Somia M, Abd El-Kareem Dalia

机构信息

Department of Pediatrics, Faculty of Medicine Kasr Al Ainy, Cairo University, Cairo 12411, Egypt.

Department of Pathology, Cairo University, Cairo 11562, Egypt.

出版信息

World J Clin Pediatr. 2022 Mar 22;11(3):295-306. doi: 10.5409/wjcp.v11.i3.295. eCollection 2022 May 9.

Abstract

BACKGROUND

Studies in Africa, Asia, and Latin America are needed to provide a comprehensive picture of the global incidence of celiac disease (CD).

AIM

To describe the serology, endoscopic and histological findings in typical and atypical presentations of pediatric CD at a tertiary referral hospital in an African low/middle income country (LMIC).

METHODS

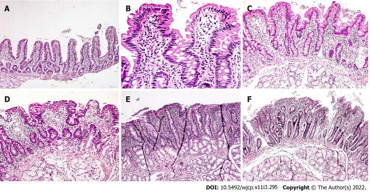
This observational study was conducted on 199 patients with CD from 2010 to 2019. The patients were divided into typical and atypical groups according to the presenting symptoms including 120 and 79 patients respectively. Serology, upper gastrointestinal endoscopy with duodenal biopsy were performed for patients who had symptoms suggestive of CD. The severity of the intestinal damage was graded according to the histo-pathologic Marsh-Oberhuber classification.

RESULTS

Chronic diarrhea was the main intestinal presentation in the typical group. Anemia was the most common extraintestinal symptom in both the typical and atypical group. Marsh-Oberhuber type 3b and 3c was significantly higher in the seropositive patients with a value of 0.007. A significant correlation was observed between the histological grade of the biopsied duodenal mucosa and the clinical presentation ( 0.001). Age was significantly higher in the atypical group ( value < 0.001).

CONCLUSION

Although typical CD was observed in 120 patients in this study, the clinical variability of the condition was frequently observed. Age only was a significant predictor for the appearance of atypical CD. Therefore, CD presentations in LMIC are not different from industrialized countries.

摘要

背景

需要在非洲、亚洲和拉丁美洲开展研究,以全面了解全球乳糜泻(CD)的发病率情况。

目的

描述在非洲低收入/中等收入国家(LMIC)一家三级转诊医院中,小儿CD典型和非典型表现的血清学、内镜及组织学检查结果。

方法

本观察性研究纳入了2010年至2019年期间的199例CD患者。根据呈现的症状将患者分为典型组和非典型组,分别有120例和79例患者。对有CD疑似症状的患者进行血清学检查、上消化道内镜检查及十二指肠活检。根据组织病理学Marsh-Oberhuber分类对肠道损伤的严重程度进行分级。

结果

慢性腹泻是典型组的主要肠道表现。贫血是典型组和非典型组最常见的肠外症状。血清学阳性患者中Marsh-Oberhuber 3b型和3c型显著更高,P值为0.007。活检十二指肠黏膜的组织学分级与临床表现之间存在显著相关性(P<0.001)。非典型组患者的年龄显著更大(P值<0.001)。

结论

尽管本研究中有120例患者观察到典型CD,但该疾病的临床变异性较为常见。仅年龄是不典型CD出现的显著预测因素。因此,LMIC中CD的表现与工业化国家并无差异。

https://cdn.ncbi.nlm.nih.gov/pmc/blobs/1f48/9134153/0cb680002b25/WJCP-11-295-g001.jpg

文献AI研究员

20分钟写一篇综述,助力文献阅读效率提升50倍。

立即体验

用中文搜PubMed

大模型驱动的PubMed中文搜索引擎

马上搜索

文档翻译

学术文献翻译模型,支持多种主流文档格式。

立即体验