Suppr超能文献

SARS-CoV-2 ORF10 通过增强 CUL2ZYG11B 的活性来破坏纤毛。

SARS-CoV-2 ORF10 impairs cilia by enhancing CUL2ZYG11B activity.

机构信息

Guangzhou Women and Children's Medical Center, Guangzhou Medical University, Guangzhou, Guangdong, China.

State Key Laboratory of Stem Cell and Reproductive Biology, Institute of Zoology, Stem Cell and Regenerative Medicine Innovation Institute, Chinese Academy of Sciences, Beijing, China.

出版信息

J Cell Biol. 2022 Jul 4;221(7). doi: 10.1083/jcb.202108015. Epub 2022 Jun 8.

Abstract

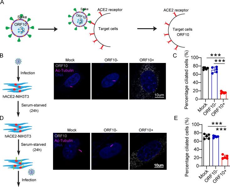
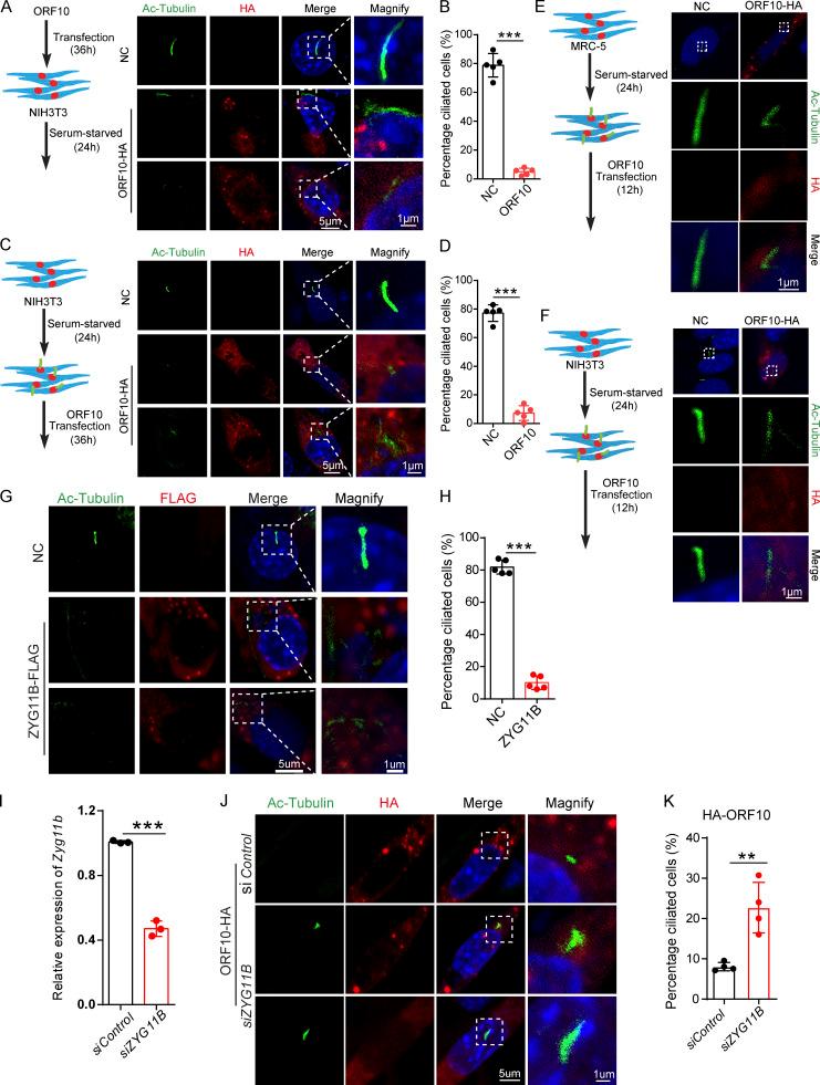
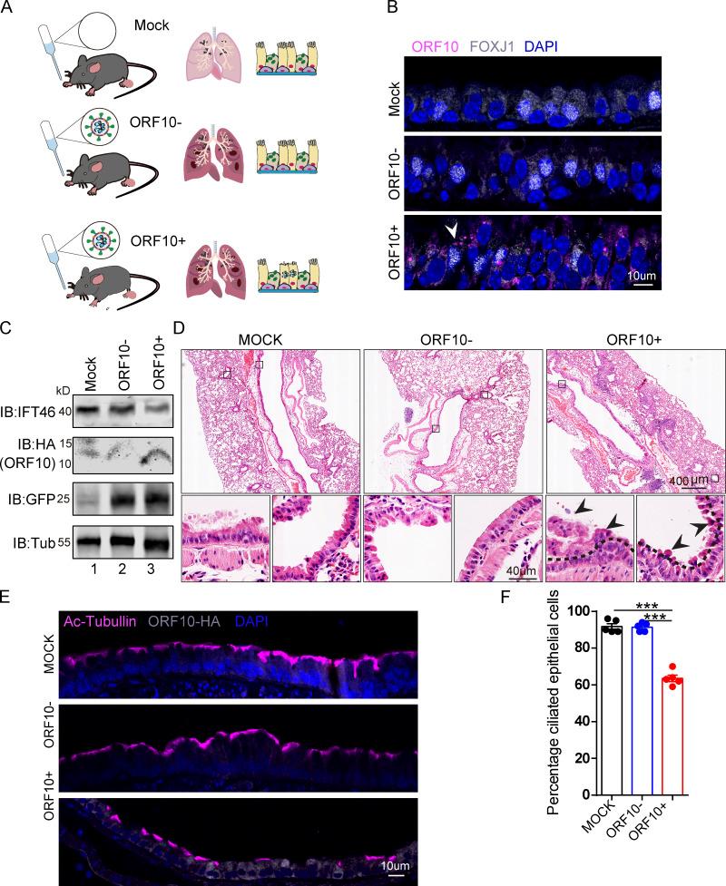
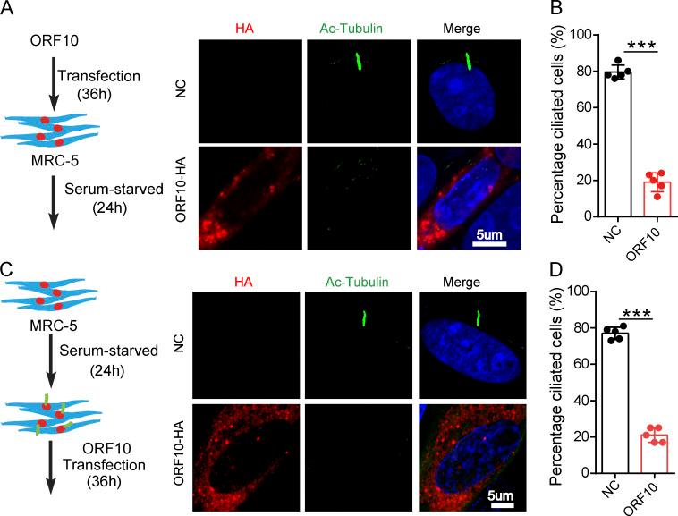
Severe acute respiratory syndrome coronavirus 2 (SARS-CoV-2) is the causal pathogen of the ongoing global pandemic of coronavirus disease 2019 (COVID-19). Loss of smell and taste are symptoms of COVID-19, and may be related to cilia dysfunction. Here, we found that the SARS-CoV-2 ORF10 increases the overall E3 ligase activity of the CUL2ZYG11B complex by interacting with ZYG11B. Enhanced CUL2ZYG11B activity by ORF10 causes increased ubiquitination and subsequent proteasome-mediated degradation of an intraflagellar transport (IFT) complex B protein, IFT46, thereby impairing both cilia biogenesis and maintenance. Further, we show that exposure of the respiratory tract of hACE2 mice to SARS-CoV-2 or SARS-CoV-2 ORF10 alone results in cilia-dysfunction-related phenotypes, and the ORF10 expression in primary human nasal epithelial cells (HNECs) also caused a rapid loss of the ciliary layer. Our study demonstrates how SARS-CoV-2 ORF10 hijacks CUL2ZYG11B to eliminate IFT46 and leads to cilia dysfunction, thereby offering a powerful etiopathological explanation for how SARS-CoV-2 causes multiple cilia-dysfunction-related symptoms specific to COVID-19.

摘要

严重急性呼吸综合征冠状病毒 2(SARS-CoV-2)是导致 2019 年冠状病毒病(COVID-19)全球大流行的病原体。嗅觉和味觉丧失是 COVID-19 的症状,可能与纤毛功能障碍有关。在这里,我们发现 SARS-CoV-2 ORF10 通过与 ZYG11B 相互作用,增加了 CUL2ZYG11B 复合物的整体 E3 连接酶活性。ORF10 增强的 CUL2ZYG11B 活性导致动纤毛运输(IFT)复合物 B 蛋白 IFT46 的泛素化和随后的蛋白酶体介导的降解增加,从而损害纤毛的发生和维持。此外,我们表明,hACE2 小鼠呼吸道暴露于 SARS-CoV-2 或 SARS-CoV-2 ORF10 单独会导致纤毛功能障碍相关表型,并且原发性人鼻上皮细胞(HNECs)中的 ORF10 表达也会导致纤毛层迅速丧失。我们的研究表明,SARS-CoV-2 ORF10 如何劫持 CUL2ZYG11B 以消除 IFT46 并导致纤毛功能障碍,从而为 SARS-CoV-2 如何导致 COVID-19 特有的多种与纤毛功能障碍相关的症状提供了强有力的病因发病学解释。

https://cdn.ncbi.nlm.nih.gov/pmc/blobs/3195/9184850/bd1e0ef26e6d/JCB_202108015_Fig1.jpg

文献AI研究员

20分钟写一篇综述,助力文献阅读效率提升50倍。

立即体验

用中文搜PubMed

大模型驱动的PubMed中文搜索引擎

马上搜索

文档翻译

学术文献翻译模型,支持多种主流文档格式。

立即体验