Suppr超能文献

烟酰胺核糖补充剂可改善雄性幼鼠骨骼肌和肝脏的脂质和能量代谢,进而改善成年期的脂质和能量代谢。

Nicotinamide Riboside Supplementation to Suckling Male Mice Improves Lipid and Energy Metabolism in Skeletal Muscle and Liver in Adulthood.

机构信息

Laboratori de Biologia Molecular, Nutrició i Biotecnologia (LBNB), Nutrigenomics, Biomarkers and Risk Evaluation Group, Universitat de les Illes Balears, 07122 Palma, Spain.

CIBER de Fisiopatología de la Obesidad y Nutrición (CIBERobn), 07122 Palma, Spain.

出版信息

Nutrients. 2022 May 28;14(11):2259. doi: 10.3390/nu14112259.

Abstract

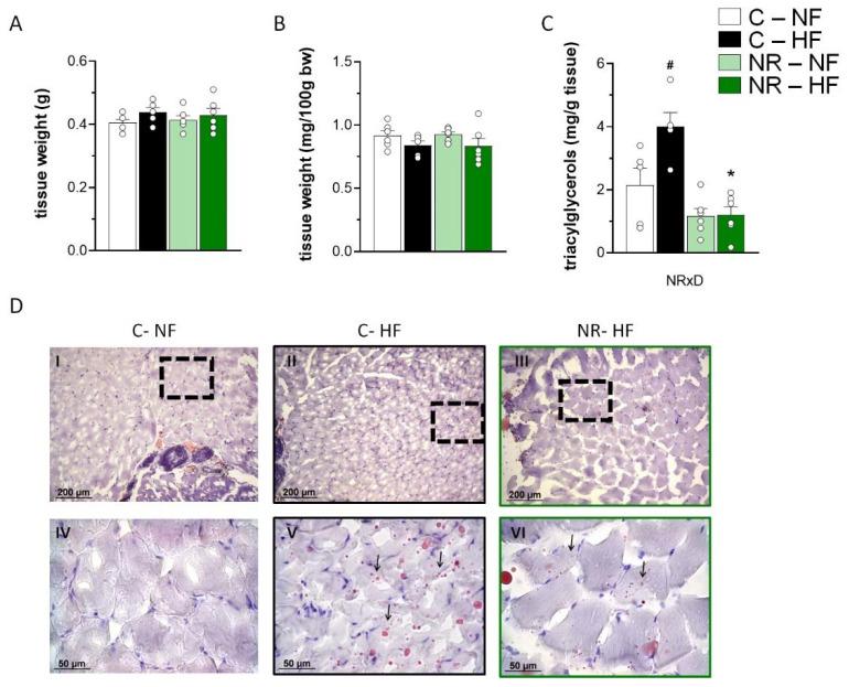
Nicotinamide riboside, an NAD precursor, has been attracting a lot of attention in recent years due to its potential benefits against multiple metabolic complications and age-related disorders related to NAD decline in tissues. The metabolic programming activity of NR supplementation in early-life stages is much less known. Here, we studied the long-term programming effects of mild NR supplementation during the suckling period on lipid and oxidative metabolism in skeletal muscle and liver tissues using an animal model. Suckling male mice received a daily oral dose of NR or vehicle (water) from day 2 to 20 of age, were weaned at day 21 onto a chow diet, and at day 90 were distributed to either a high-fat diet (HFD) or a normal-fat diet for 10 weeks. Compared to controls, NR-treated mice were protected against HFD-induced triacylglycerol accumulation in skeletal muscle and displayed lower triacylglycerol levels and steatosis degree in the liver and distinct capacities for fat oxidation and decreased lipogenesis in both tissues, paralleling signs of enhanced sirtuin 1 and AMP-dependent protein kinase signaling. These pre-clinical findings suggest that mild NR supplementation in early postnatal life beneficially impacts lipid and energy metabolism in skeletal muscle and liver in adulthood, serving as a potential preventive strategy against obesity-related disorders characterized by ectopic lipid accumulation.

摘要

烟酰胺核糖,一种 NAD 前体,由于其在组织中 NAD 下降相关的多种代谢并发症和与年龄相关的疾病方面的潜在益处,近年来受到了广泛关注。NR 补充剂在生命早期阶段的代谢编程作用知之甚少。在这里,我们使用动物模型研究了哺乳期轻度 NR 补充对骨骼肌和肝脏组织中脂质和氧化代谢的长期编程效应。从出生后第 2 天到第 20 天,哺乳期雄性小鼠每天接受 NR 或载体(水)的口服剂量,第 21 天断奶,喂食标准饮食,第 90 天分为高脂肪饮食(HFD)或正常脂肪饮食 10 周。与对照组相比,NR 处理的小鼠对 HFD 诱导的骨骼肌三酰甘油积累具有保护作用,并且在肝脏中表现出较低的三酰甘油水平和脂肪变性程度,以及在两种组织中脂肪氧化和降低脂肪生成的明显能力,这与增强的 SIRT1 和 AMP 依赖的蛋白激酶信号相关。这些临床前研究结果表明,生命早期轻度 NR 补充有益于成年后骨骼肌和肝脏的脂质和能量代谢,是预防以异位脂质积累为特征的肥胖相关疾病的潜在策略。

https://cdn.ncbi.nlm.nih.gov/pmc/blobs/ccde/9182637/ae96e3d8e607/nutrients-14-02259-g001.jpg

文献AI研究员

20分钟写一篇综述,助力文献阅读效率提升50倍。

立即体验

用中文搜PubMed

大模型驱动的PubMed中文搜索引擎

马上搜索

文档翻译

学术文献翻译模型,支持多种主流文档格式。

立即体验