Suppr超能文献

非梗阻性无精子症患者曲细精管萎缩时的支持细胞和生殖细胞。

Sertoli and Germ Cells Within Atrophic Seminiferous Tubules of Men With Non-Obstructive Azoospermia.

机构信息

Department of Urology, Herlev and Gentofte Hospital, Herlev, Denmark.

Department of Clinical Medicine, University of Copenhagen, Copenhagen, Denmark.

出版信息

Front Endocrinol (Lausanne). 2022 Jun 2;13:825904. doi: 10.3389/fendo.2022.825904. eCollection 2022.

Abstract

BACKGROUND

Infertile men with non-obstructive azoospermia (NOA) have impaired spermatogenesis. Dilated and un-dilated atrophic seminiferous tubules are often present in the testes of these patients, with the highest likelihood of active spermatogenesis in the dilated tubules. Little is known about the un-dilated tubules, which in NOA patients constitute the majority. To advance therapeutic strategies for men with NOA who fail surgical sperm retrieval we aimed to characterize the spermatogonial stem cell microenvironment in atrophic un-dilated tubules.

METHODS

Testis biopsies approximately 3x3x3 mm were obtained from un-dilated areas from 34 patients. They were classified as hypospermatogenesis (HS) (n=5), maturation arrest (MA) (n=14), and Sertoli cell only (SCO) (n= 15). Testis samples from five fertile men were included as controls. Biopsies were used for histological analysis, RT-PCR analysis and immunofluorescence of germ and Sertoli cell markers.

RESULTS

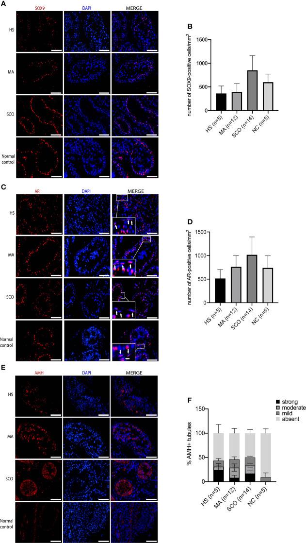
Anti-Müllerian hormone mRNA and protein expression was increased in un-dilated tubules in all three NOA subtypes, compared to the control, showing an immature state of Sertoli cells (p<0.05). The GDNF mRNA expression was significantly increased in MA (=0.0003). The BMP4 mRNA expression showed a significant increase in HS, MA, and SCO (=0.02, =0.0005, =0.02, respectively). The thickness of the tubule wall was increased 2.2-fold in the SCO-NOA compared to the control (p<0.05). In germ cells, we found the DEAD-box helicase 4 (DDX4) and melanoma-associated antigen A4 (MAGE-A4) mRNA and protein expression reduced in NOA (MAGE-A: 46% decrease in HS, 53% decrease in MA, absent in SCO). In HS-NOA, the number of androgen receptor positive Sertoli cells was reduced 30% with a similar pattern in mRNA expression. The γH2AX expression was increased in SCO as compared to HS and MA. However, none of these differences reached statistical significance probably due to low number of samples.

CONCLUSIONS

Sertoli cells were shown to be immature in un-dilated tubules of three NOA subtypes. The increased DNA damage in Sertoli cells and thicker tubule wall in SCO suggested a different mechanism for the absence of spermatogenesis from SCO to HS and MA. These results expand insight into the differences in un-dilated tubules from the different types of NOA patients.

摘要

背景

患有非梗阻性无精子症(NOA)的不育男性存在生精障碍。这些患者的睾丸中常存在扩张和未扩张的萎缩生精小管,扩张的小管中最有可能存在活跃的生精作用。对于手术取精失败的 NOA 患者,人们对未扩张的小管知之甚少,但这些小管在 NOA 患者中占大多数。为了推进针对非梗阻性无精子症且手术取精失败的男性的治疗策略,我们旨在对萎缩的未扩张小管中的精原干细胞微环境进行特征描述。

方法

从 34 名患者的未扩张区域获得约 3x3x3mm 的睾丸活检。它们被分类为低精子发生(HS)(n=5)、成熟阻滞(MA)(n=14)和唯支持细胞综合征(SCO)(n=15)。还纳入了 5 名健康男性的睾丸样本作为对照。对活检组织进行组织学分析、逆转录聚合酶链反应(RT-PCR)分析和生殖细胞和支持细胞标志物的免疫荧光分析。

结果

与对照组相比,三种 NOA 亚型的未扩张小管中抗苗勒管激素(AMH)mRNA 和蛋白表达增加,表明支持细胞处于未成熟状态(p<0.05)。GDNF mRNA 表达在 MA 中显著增加(=0.0003)。BMP4 mRNA 表达在 HS、MA 和 SCO 中均显著增加(=0.02、=0.0005、=0.02,分别)。与对照组相比,SCO-NOA 的小管壁厚度增加了 2.2 倍(p<0.05)。在生殖细胞中,我们发现 DEAD 盒解旋酶 4(DDX4)和黑色素瘤相关抗原 A4(MAGE-A4)mRNA 和蛋白表达在 NOA 中减少(MAGE-A:HS 减少 46%,MA 减少 53%,SCO 中缺失)。在 HS-NOA 中,雄激素受体阳性支持细胞数量减少了 30%,mRNA 表达也呈现出相似的模式。γH2AX 在 SCO 中的表达高于 HS 和 MA。然而,由于样本数量较少,这些差异可能都没有达到统计学意义。

结论

三种 NOA 亚型的未扩张小管中的支持细胞表现为未成熟。SCO 中 DNA 损伤增加和小管壁增厚表明,SCO 中无精子发生的机制与 HS 和 MA 不同。这些结果扩展了对不同类型的 NOA 患者未扩张小管的认识。

https://cdn.ncbi.nlm.nih.gov/pmc/blobs/b742/9201000/6a3ad79ed56e/fendo-13-825904-g001.jpg

文献AI研究员

20分钟写一篇综述,助力文献阅读效率提升50倍。

立即体验

用中文搜PubMed

大模型驱动的PubMed中文搜索引擎

马上搜索

文档翻译

学术文献翻译模型,支持多种主流文档格式。

立即体验