Suppr超能文献

人工智能辅助分析对乙酰氨基酚诱导的斯普拉格-道利大鼠急性肝损伤

Artificial Intelligence-Assisted Image Analysis of Acetaminophen-Induced Acute Hepatic Injury in Sprague-Dawley Rats.

作者信息

Baek Eun Bok, Hwang Ji-Hee, Park Heejin, Lee Byoung-Seok, Son Hwa-Young, Kim Yong-Bum, Jun Sang-Yeop, Her Jun, Lee Jaeku, Cho Jae-Woo

机构信息

College of Veterinary Medicine, Chungnam National University, Daejeon 34134, Korea.

Toxicologic Pathology Research Group, Department of Advanced Toxicology Research, Korea Institute of Toxicology, Daejeon 34114, Korea.

出版信息

Diagnostics (Basel). 2022 Jun 16;12(6):1478. doi: 10.3390/diagnostics12061478.

Abstract

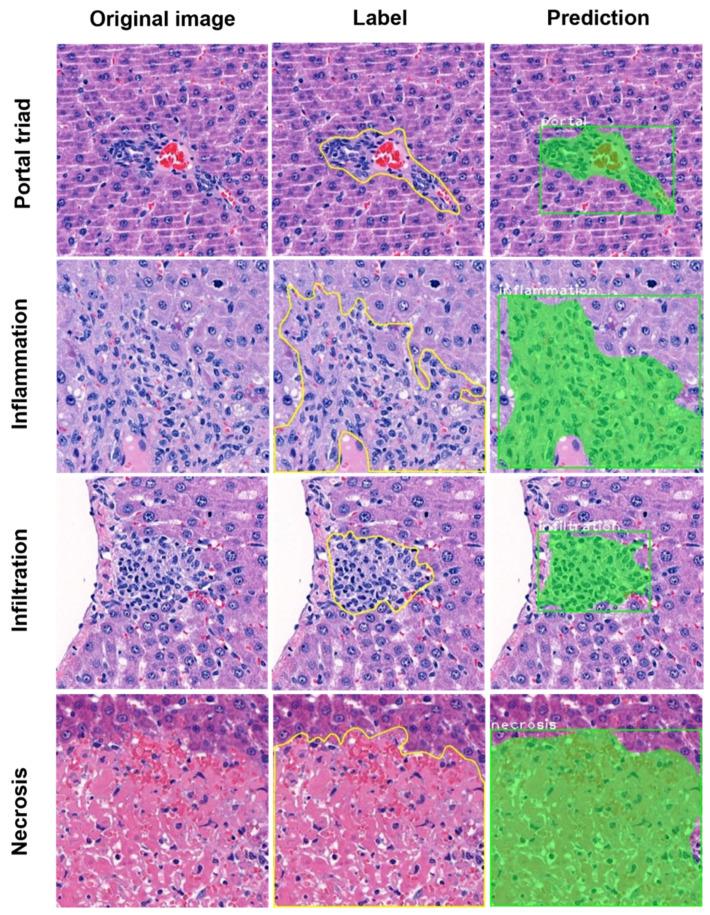
Although drug-induced liver injury (DILI) is a major target of the pharmaceutical industry, we currently lack an efficient model for evaluating liver toxicity in the early stage of its development. Recent progress in artificial intelligence-based deep learning technology promises to improve the accuracy and robustness of current toxicity prediction models. Mask region-based CNN (Mask R-CNN) is a detection-based segmentation model that has been used for developing algorithms. In the present study, we applied a Mask R-CNN algorithm to detect and predict acute hepatic injury lesions induced by acetaminophen (APAP) in Sprague-Dawley rats. To accomplish this, we trained, validated, and tested the model for various hepatic lesions, including necrosis, inflammation, infiltration, and portal triad. We confirmed the model performance at the whole-slide image (WSI) level. The training, validating, and testing processes, which were performed using tile images, yielded an overall model accuracy of 96.44%. For confirmation, we compared the model's predictions for 25 WSIs at 20× magnification with annotated lesion areas determined by an accredited toxicologic pathologist. In individual WSIs, the expert-annotated lesion areas of necrosis, inflammation, and infiltration tended to be comparable with the values predicted by the algorithm. The overall predictions showed a high correlation with the annotated area. The R square values were 0.9953, 0.9610, and 0.9445 for necrosis, inflammation plus infiltration, and portal triad, respectively. The present study shows that the Mask R-CNN algorithm is a useful tool for detecting and predicting hepatic lesions in non-clinical studies. This new algorithm might be widely useful for predicting liver lesions in non-clinical and clinical settings.

摘要

尽管药物性肝损伤(DILI)是制药行业的主要关注对象,但目前我们在其研发早期阶段仍缺乏一种有效的肝毒性评估模型。基于人工智能的深度学习技术的最新进展有望提高当前毒性预测模型的准确性和稳健性。基于掩膜区域的卷积神经网络(Mask R-CNN)是一种基于检测的分割模型,已被用于开发算法。在本研究中,我们应用Mask R-CNN算法来检测和预测对乙酰氨基酚(APAP)诱导的Sprague-Dawley大鼠急性肝损伤病变。为此,我们针对各种肝脏病变(包括坏死、炎症、浸润和门三联)对该模型进行了训练、验证和测试。我们在全切片图像(WSI)水平上确认了模型性能。使用切片图像进行的训练、验证和测试过程产生的总体模型准确率为96.44%。为了进行确认,我们将该模型对20倍放大倍数下的25个WSI的预测结果与由认可的毒理病理学家确定的标注病变区域进行了比较。在单个WSI中,专家标注的坏死、炎症和浸润病变区域往往与算法预测值相当。总体预测结果与标注区域显示出高度相关性。坏死、炎症加浸润和门三联的R平方值分别为0.9953、0.9610和0.9445。本研究表明,Mask R-CNN算法是在非临床研究中检测和预测肝脏病变的有用工具。这种新算法可能在非临床和临床环境中广泛用于预测肝脏病变。

https://cdn.ncbi.nlm.nih.gov/pmc/blobs/5de5/9222125/398bff688b45/diagnostics-12-01478-g001.jpg

文献AI研究员

20分钟写一篇综述,助力文献阅读效率提升50倍。

立即体验

用中文搜PubMed

大模型驱动的PubMed中文搜索引擎

马上搜索

文档翻译

学术文献翻译模型,支持多种主流文档格式。

立即体验