Suppr超能文献

丝状假单胞菌噬菌体 Pf4 在治疗诱导性、感染性、溶原性转换和潜在应用方面的研究

Filamentous Pseudomonas Phage Pf4 in the Context of Therapy-Inducibility, Infectivity, Lysogenic Conversion, and Potential Application.

机构信息

PK Lab, Department of Biology and Ecology, Faculty of Sciences, University of Novi Sad, Trg Dositeja Obradovica 2, 21000 Novi Sad, Vojvodina, Serbia.

出版信息

Viruses. 2022 Jun 10;14(6):1261. doi: 10.3390/v14061261.

Abstract

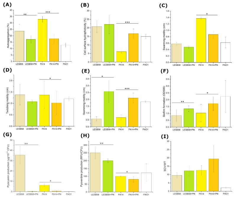
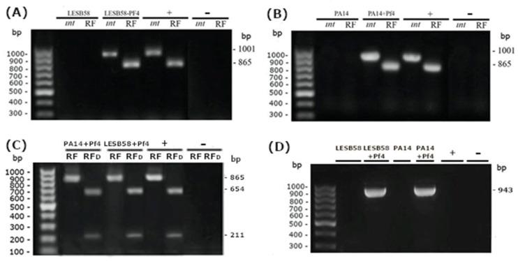
More than 20% of all are infected with Pf4-related filamentous phage and although their role in virulence of strain PAO1 is well documented, its properties related to therapy are not elucidated in detail. The aim of this study was to determine how phage and antibiotic therapy induce Pf4, whether the released virions can infect other strains and how the phage influences the phenotype of new hosts. The subinhibitory concentrations of ciprofloxacin and mitomycin C increased Pf4 production for more than 50% during the first and sixth hour of exposure, respectively, while mutants appearing after infection with obligatory lytic phage at low MOI produced Pf4 more than four times after 12-24 h of treatment. This indicates that production of Pf4 is enhanced during therapy with these agents. The released virions can infect new strains, as confirmed for models UCBPP-PA14 (PA14) and LESB58, existing both episomally and in a form of a prophage, as confirmed by PCR, RFLP, and sequencing. The differences in properties of Pf4-infected, and uninfected PA14 and LESB58 strains were obvious, as infection with Pf4 significantly decreased cell autoaggregation, pyoverdine, and pyocyanin production, while significantly increased swimming motility and biofilm production in both strains. In addition, in strain PA14, Pf4 increased cell surface hydrophobicity and small colony variants' appearance, but also decreased twitching and swarming motility. This indicates that released Pf4 during therapy can infect new strains and cause lysogenic conversion. The infection with Pf4 increased LESB58 sensitivity to ciprofloxacin, gentamicin, ceftazidime, tetracycline, and streptomycin, and PA14 to ciprofloxacin and ceftazidime. Moreover, the Pf4-infected LESB58 was re-sensitized to ceftazidime and tetracycline, with changes from resistant to intermediate resistant and sensitive, respectively. The obtained results open a new field in phage therapy-treatment with selected filamentous phages in order to re-sensitize pathogenic bacteria to certain antibiotics. However, this approach should be considered with precautions, taking into account potential lysogenic conversion.

摘要

超过 20%的 都感染了与 Pf4 相关的丝状噬菌体,尽管它们在 PAO1 菌株毒力中的作用已有充分记录,但与治疗相关的特性尚未详细阐明。本研究旨在确定噬菌体和抗生素治疗如何诱导 Pf4 的产生,释放的病毒粒子是否可以感染其他菌株,以及噬菌体如何影响新宿主的表型。亚抑菌浓度的环丙沙星和丝裂霉素 C 在暴露的第一和第六小时分别使 Pf4 的产量增加了 50%以上,而在低 MOI 感染必需裂解噬菌体后出现的突变体在治疗 12-24 小时后 Pf4 的产量增加了四倍以上。这表明在用这些药物进行治疗时,Pf4 的产生会增强。释放的病毒粒子可以感染新的 菌株,这在 UCBPP-PA14(PA14)和 LESB58 模型中得到了证实,这两种菌株都以附加体和前噬菌体的形式存在,这通过 PCR、RFLP 和测序得到了证实。感染 Pf4 的 PA14 和 LESB58 菌株与未感染的 PA14 和 LESB58 菌株的特性明显不同,因为 Pf4 的感染显著降低了细胞自聚集、绿脓菌素和吡咯菌素的产生,同时显著增加了两种菌株的泳动和生物膜的产生。此外,在 PA14 菌株中,Pf4 增加了细胞表面疏水性和小菌落变体的出现,但也降低了扭动和群集运动。这表明在治疗过程中释放的 Pf4 可以感染新的菌株并导致溶原性转化。Pf4 的感染增加了 LESB58 对环丙沙星、庆大霉素、头孢他啶、四环素和链霉素的敏感性,以及 PA14 对环丙沙星和头孢他啶的敏感性。此外,Pf4 感染的 LESB58 对头孢他啶和四环素重新敏感,分别从耐药变为中介耐药和敏感。获得的结果开辟了噬菌体治疗的新领域-选择丝状噬菌体以重新使致病菌对某些抗生素敏感。然而,应该谨慎考虑这种方法,同时考虑到潜在的溶原性转化。

https://cdn.ncbi.nlm.nih.gov/pmc/blobs/db9b/9228429/613bdbb6ec38/viruses-14-01261-g001.jpg

文献AI研究员

20分钟写一篇综述,助力文献阅读效率提升50倍。

立即体验

用中文搜PubMed

大模型驱动的PubMed中文搜索引擎

马上搜索

文档翻译

学术文献翻译模型,支持多种主流文档格式。

立即体验