Suppr超能文献

近红外光可减少饮食诱导肥胖小鼠大脑中的神经胶质细胞激活并调节神经炎症。

Near-infrared light reduces glia activation and modulates neuroinflammation in the brains of diet-induced obese mice.

机构信息

Department of Neurology, Mitchell Center for Neurodegenerative Diseases, University of Texas Medical Branch, Galveston, TX, USA.

Department of Neuroscience, Cell Biology and Anatomy, University of Texas Medical Branch, Galveston, TX, USA.

出版信息

Sci Rep. 2022 Jun 27;12(1):10848. doi: 10.1038/s41598-022-14812-8.

Abstract

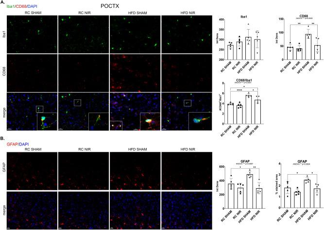
Neuroinflammation is a key event in neurodegenerative conditions such as Alzheimer's disease (AD) and characterizes metabolic pathologies like obesity and type 2 diabetes (T2D). Growing evidence in humans shows that obesity increases the risk of developing AD by threefold. Hippocampal neuroinflammation in rodents correlates with poor memory performance, suggesting that it contributes to cognitive decline. Here we propose that reducing obesity/T2D-driven neuroinflammation may prevent the progression of cognitive decline associated with AD-like neurodegenerative states. Near-infrared light (NIR) has attracted increasing attention as it was shown to improve learning and memory in both humans and animal models. We previously reported that transcranial NIR delivery reduced amyloid beta and Tau pathology and improved memory function in mouse models of AD. Here, we report the effects of NIR in preventing obesity-induced neuroinflammation in a diet-induced obese mouse model. Five-week-old wild-type mice were fed a high-fat diet (HFD) for 13 weeks to induce obesity prior to transcranial delivery of NIR for 4 weeks during 90-s sessions given 5 days a week. After sacrifice, brain slices were subjected to free-floating immunofluorescence for microglia and astrocyte markers to evaluate glial activation and quantitative real-time polymerase chain reaction (PCR) to evaluate expression levels of inflammatory cytokines and brain-derived neurotrophic factor (BDNF). The hippocampal and cortical regions of the HFD group had increased expression of the activated microglial marker CD68 and the astrocytic marker glial fibrillary acidic protein. NIR-treated HFD groups showed decreased levels of these markers. PCR revealed that hippocampal tissue from the HFD group had increased levels of pro-inflammatory interleukin (IL)-1β and tumor necrosis factor-α. Interestingly, the same samples showed increased levels of the anti-inflammatory IL-10. All these changes were attenuated by NIR treatment. Lastly, hippocampal levels of the neurotrophic factor BDNF were increased in NIR-treated HFD mice, compared to untreated HFD mice. The marked reductions in glial activation and pro-inflammatory cytokines along with elevated BDNF provide insights into how NIR could reduce neuroinflammation. These results support the use of NIR as a potential non-invasive and preventive therapeutic approach against chronic obesity-induced deficits that are known to occur with AD neuropathology.

摘要

神经炎症是阿尔茨海默病(AD)等神经退行性疾病的关键事件,也是肥胖和 2 型糖尿病(T2D)等代谢病理学的特征。越来越多的人类证据表明,肥胖使患 AD 的风险增加了三倍。啮齿动物海马体的神经炎症与记忆表现不佳相关,表明其导致认知能力下降。在这里,我们提出减少肥胖/T2D 驱动的神经炎症可能预防与 AD 样神经退行性状态相关的认知能力下降的进展。近红外光(NIR)越来越受到关注,因为它已被证明可改善人类和动物模型的学习和记忆。我们之前报道过,经颅 NIR 传递可减少 AD 小鼠模型中的淀粉样β和 Tau 病理学,并改善记忆功能。在这里,我们报告了 NIR 在预防肥胖诱导的神经炎症中的作用,该作用是在饮食诱导的肥胖小鼠模型中进行的。将 5 周龄的野生型小鼠用高脂肪饮食(HFD)喂养 13 周,以在经颅传递 NIR 之前诱导肥胖,然后在每周 5 天进行 90 秒的 4 周疗程。处死动物后,将脑切片进行游离漂浮免疫荧光,以评估小胶质细胞和星形胶质细胞标志物的激活程度,并进行定量实时聚合酶链反应(PCR)以评估炎症细胞因子和脑源性神经营养因子(BDNF)的表达水平。HFD 组的海马体和皮质区的激活小胶质细胞标志物 CD68 和星形胶质细胞标志物胶质纤维酸性蛋白的表达增加。NIR 处理的 HFD 组这些标志物的水平降低。PCR 显示 HFD 组海马组织中促炎细胞因子白细胞介素(IL)-1β和肿瘤坏死因子-α水平升高。有趣的是,相同的样本显示抗炎细胞因子 IL-10 水平升高。所有这些变化均通过 NIR 处理而减轻。最后,与未治疗的 HFD 小鼠相比,NIR 处理的 HFD 小鼠的海马体神经营养因子 BDNF 水平增加。小胶质细胞激活和促炎细胞因子的明显减少以及 BDNF 的升高提供了有关 NIR 如何减轻神经炎症的见解。这些结果支持使用 NIR 作为一种潜在的非侵入性和预防性治疗方法,以对抗已知与 AD 神经病理学相关的慢性肥胖引起的缺陷。

https://cdn.ncbi.nlm.nih.gov/pmc/blobs/269d/9237037/4d78832598be/41598_2022_14812_Fig1_HTML.jpg

文献AI研究员

20分钟写一篇综述,助力文献阅读效率提升50倍。

立即体验

用中文搜PubMed

大模型驱动的PubMed中文搜索引擎

马上搜索

文档翻译

学术文献翻译模型,支持多种主流文档格式。

立即体验