Suppr超能文献

一例肘部感染和严重软组织缺失。根据良好的临床护理实践和医疗法律影响规划手术治疗。

A case of infection and severe soft tissue loss of the elbow. Planning surgical treatment in compliance with good clinical-care practices and medico-legal implications.

机构信息

hand surgery and peripheral nerve center cof lanzo hospital.

Consultant of Hand Surgery and Reconstructive Microsurgery Villa Stuart Clinic Rome, Italy.

出版信息

Acta Biomed. 2022 Jun 30;93(S1):e2022106. doi: 10.23750/abm.v93iS1.12389.

Abstract

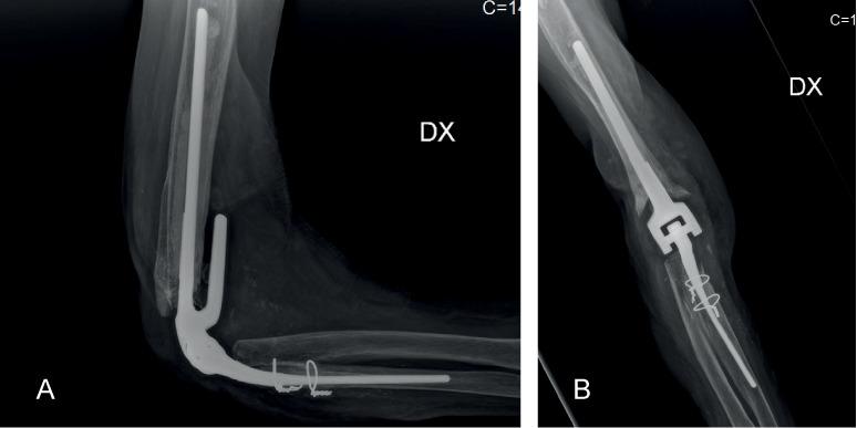
Soft tissue loss around  the elbow, with tendons, nerves and bone exposure,  represents a challenging condition, often requiring a complex and accurate surgical reconstruction. Inadequate repair of soft tissue defects may in fact compromise further reconstructive orthopedic procedures, including  osteosynthesis and joint replacement. A correct reparative sequence of these lesions usually starts with an appropriate debridement and removal of all non-viable and infected tissues, followed by soft tissues management through plastic and reconstructive techniques. Here we present a case report, showing a successful surgical solution, using a local muscular flap. The results are discussed in light of their functional and medico-legal implications, considering the frequent occurrence of partial functional recovery, the disabling impact on social and work activities and the aesthetic sequelae of these lesions, even in spite of a successful treatment.

摘要

肘部周围软组织缺失,伴有肌腱、神经和骨外露,是一种极具挑战性的病症,往往需要复杂而精确的外科重建。软组织缺损的修复不当实际上可能会影响进一步的重建骨科手术,包括骨内固定和关节置换。这些损伤的正确修复顺序通常首先进行适当的清创术,清除所有无活力和感染的组织,然后通过整形和重建技术处理软组织。我们在此报告一例病例,采用局部肌瓣成功实施了手术治疗。考虑到部分功能恢复频繁、对社会和工作活动的致残影响以及这些损伤的美容后遗症,即使治疗成功,我们也将根据其功能和医学法律方面的影响对结果进行讨论。

https://cdn.ncbi.nlm.nih.gov/pmc/blobs/babb/10510988/12199d7f7c9f/ACTA-93-106-g001.jpg

文献AI研究员

20分钟写一篇综述,助力文献阅读效率提升50倍。

立即体验

用中文搜PubMed

大模型驱动的PubMed中文搜索引擎

马上搜索

文档翻译

学术文献翻译模型,支持多种主流文档格式。

立即体验