Suppr超能文献

环指结构域解旋酶 UDG 来源于鲤鱼疱疹病毒 2 可促进病毒复制。

Circ-Udg Derived from Cyprinid Herpesvirus 2 Promotes Viral Replication.

机构信息

School of Biology and Basic Medical Sciences, Soochow Universitygrid.263761.7, Suzhou, China.

Agricultural Biotechnology Research Institute, Agricultural Biotechnology and Ecological Research Institute, Soochow Universitygrid.263761.7, Suzhou, China.

出版信息

Microbiol Spectr. 2022 Aug 31;10(4):e0094322. doi: 10.1128/spectrum.00943-22. Epub 2022 Jun 30.

Abstract

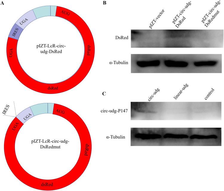
Cyprinid herpesvirus 2 (CyHV-2) has caused great losses to the gibel carp (Carassius auratus ) industry. Previous studies showed that certain DNA viruses can encode circular RNAs (circRNAs) to regulate virus infection, which provides new clues for the treatment of viral disease. Whether CyHV-2 can encode circRNAs is still unknown. Here, 10 CyHV-2-derived circRNAs were identified, and the function of circ-udg, a circRNA derived from the CyHV-2 uracil DNA glycosylase () gene, was studied. Although the expression level of circ-udg was lower than that of the parental gene, , its expression level was elevated in tandem with the proliferation of CyHV-2 and . experiments confirmed that circ-udg could promote the proliferation of CyHV-2. Moreover, circ-udg could encode a truncated UDG protein consisting of 147-amino-acid residues (termed circ-udg-P147). Both UDG and circ-udg-P147 were found to promote CyHV-2 proliferation, but the promoting effect of circ-udg on CyHV-2 proliferation was attenuated after circ-udg lost the ability to encode circ-udg-P147. Also, circ-udg-P147 could not change the transcription level of the gene. Interestingly, the UDG protein level was increased by circ-udg-P147. These results deepen the understanding of the genetic information carried by the genome of CyHV-2 and provide a new target for the treatment of gibel carp bleeding disease caused by CyHV-2. The outbreak of C. auratus gill hemorrhagic disease caused by CyHV-2 brought great losses to the gibel carp industry. Therefore, exploring the interaction between CyHV-2 and host and the molecular mechanism of viral infection is of great significance in preventing and treating the gibel carp gill hemorrhagic disease. Although some progress has been made in the study of CyHV-2, the mechanism of interaction between CyHV-2 and crucian carp is still unclear. In this study, we found that CyHV-2 can encode circRNA to regulate virus replication. Our study provides novel information on CyHV-2 functional genomics, a reference for research into the circRNA of other viruses, and theoretical guidance for preventing and treating gibel carp bleeding disease.

摘要

鲤鱼疱疹病毒 2 (CyHV-2) 给鲤鱼养殖业造成了巨大损失。先前的研究表明,某些 DNA 病毒可以编码环状 RNA (circRNA) 来调节病毒感染,这为病毒性疾病的治疗提供了新的线索。然而,CyHV-2 是否能编码 circRNA 尚不清楚。本研究鉴定了 10 种 CyHV-2 衍生的 circRNA,并研究了来源于 CyHV-2 尿嘧啶 DNA 糖基化酶 () 基因的 circ-udg 的功能。尽管 circ-udg 的表达水平低于亲本基因 ,但其表达水平随着 CyHV-2 和 的增殖而升高。 实验证实 circ-udg 可以促进 CyHV-2 的增殖。此外,circ-udg 可以编码一个由 147 个氨基酸残基组成的截断 UDG 蛋白(称为 circ-udg-P147)。发现 UDG 和 circ-udg-P147 都能促进 CyHV-2 的增殖,但当 circ-udg 失去编码 circ-udg-P147 的能力时,circ-udg 对 CyHV-2 增殖的促进作用减弱。此外,circ-udg-P147 不能改变 基因的转录水平。有趣的是,circ-udg-P147 增加了 UDG 蛋白水平。这些结果加深了对 CyHV-2 基因组所携带遗传信息的理解,并为治疗由 CyHV-2 引起的鲤鱼出血病提供了新的靶点。 CyHV-2 引起的鲤鱼鳃出血病的爆发给鲤鱼养殖业带来了巨大损失。因此,探讨 CyHV-2 与宿主的相互作用及病毒感染的分子机制,对于防治鲤鱼鳃出血病具有重要意义。虽然在 CyHV-2 的研究中已经取得了一些进展,但 CyHV-2 与鲫鱼的相互作用机制仍不清楚。本研究发现 CyHV-2 可以编码 circRNA 来调节病毒复制。本研究为 CyHV-2 功能基因组学提供了新的信息,为其他病毒 circRNA 的研究提供了参考,为防治鲤鱼出血病提供了理论指导。

https://cdn.ncbi.nlm.nih.gov/pmc/blobs/a970/9431488/677d013d3bc5/spectrum.00943-22-f001.jpg

文献AI研究员

20分钟写一篇综述,助力文献阅读效率提升50倍。

立即体验

用中文搜PubMed

大模型驱动的PubMed中文搜索引擎

马上搜索

文档翻译

学术文献翻译模型,支持多种主流文档格式。

立即体验