Suppr超能文献

NCOA4 介导的铁蛋白自噬是通过维持铁硫簇蛋白的铁生物利用度来促进胰腺癌生长的一种机制。

NCOA4-Mediated Ferritinophagy Is a Pancreatic Cancer Dependency via Maintenance of Iron Bioavailability for Iron-Sulfur Cluster Proteins.

机构信息

Division of Radiation and Genome Stability, Department of Radiation Oncology, Dana-Farber Cancer Institute, Harvard Medical School, Boston, Massachusetts.

Department of Medical Oncology, Dana-Farber Cancer Institute, Harvard Medical School, Boston, Massachusetts.

出版信息

Cancer Discov. 2022 Sep 2;12(9):2180-2197. doi: 10.1158/2159-8290.CD-22-0043.

Abstract

UNLABELLED

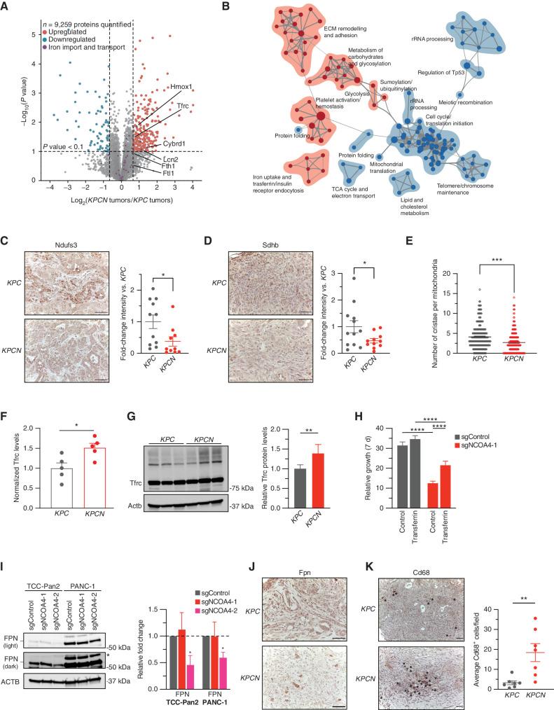
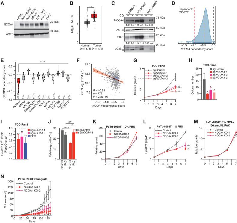
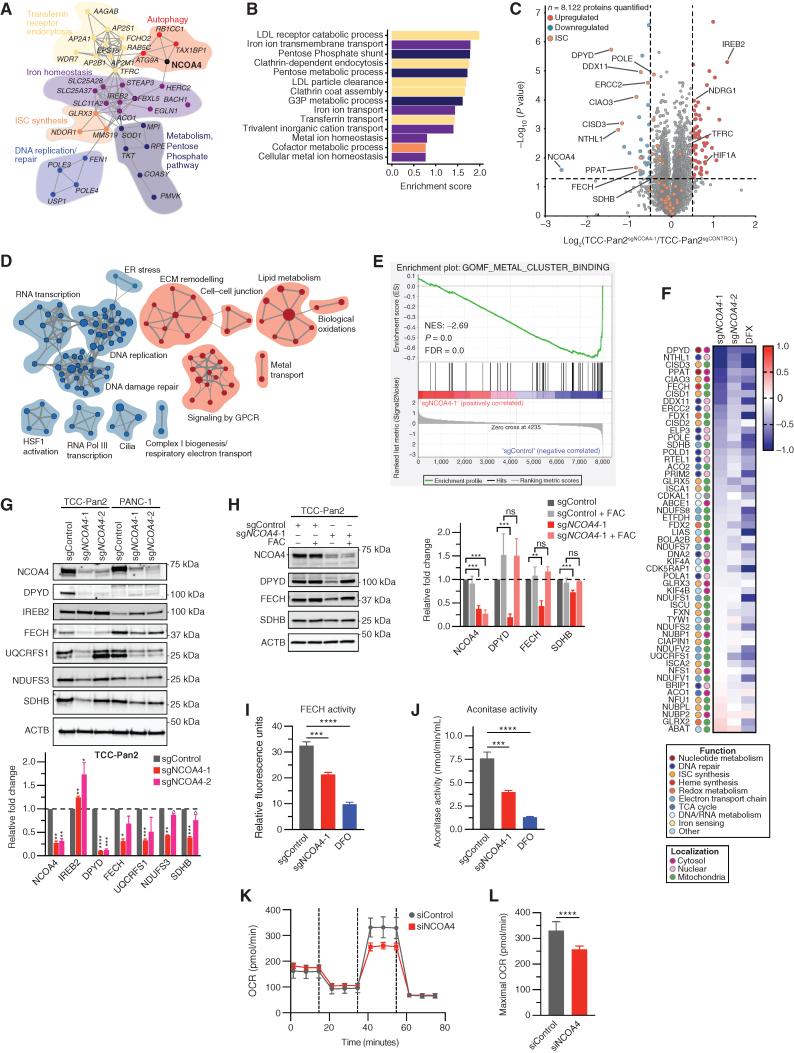
Pancreatic ductal adenocarcinomas (PDAC) depend on autophagy for survival; however, the metabolic substrates that autophagy provides to drive PDAC progression are unclear. Ferritin, the cellular iron storage complex, is targeted for lysosomal degradation (ferritinophagy) by the selective autophagy adaptor NCOA4, resulting in release of iron for cellular utilization. Using patient-derived and murine models of PDAC, we demonstrate that ferritinophagy is upregulated in PDAC to sustain iron availability, thereby promoting tumor progression. Quantitative proteomics reveals that ferritinophagy fuels iron-sulfur cluster protein synthesis to support mitochondrial homeostasis. Targeting NCOA4 leads to tumor growth delay and prolonged survival but with the development of compensatory iron acquisition pathways. Finally, enhanced ferritinophagy accelerates PDAC tumorigenesis, and an elevated ferritinophagy expression signature predicts for poor prognosis in patients with PDAC. Together, our data reveal that the maintenance of iron homeostasis is a critical function of PDAC autophagy, and we define NCOA4-mediated ferritinophagy as a therapeutic target in PDAC.

SIGNIFICANCE

Autophagy and iron metabolism are metabolic dependencies in PDAC. However, targeted therapies for these pathways are lacking. We identify NCOA4-mediated selective autophagy of ferritin ("ferritinophagy") as upregulated in PDAC. Ferritinophagy supports PDAC iron metabolism and thereby tumor progression and represents a new therapeutic target in PDAC. See related commentary by Jain and Amaravadi, p. 2023. See related article by Ravichandran et al., p. 2198. This article is highlighted in the In This Issue feature, p. 2007.

摘要

未加标签

胰腺导管腺癌(PDAC)依赖于自噬来生存;然而,自噬提供的代谢底物来推动 PDAC 进展尚不清楚。铁蛋白是细胞内的铁储存复合物,被选择性自噬衔接蛋白 NCOA4 靶向溶酶体降解(铁蛋白自噬),导致铁释放以供细胞利用。使用 PDAC 的患者来源和鼠模型,我们证明铁蛋白自噬在 PDAC 中上调以维持铁的可用性,从而促进肿瘤进展。定量蛋白质组学揭示铁蛋白自噬为铁硫簇蛋白合成提供燃料,以支持线粒体稳态。靶向 NCOA4 导致肿瘤生长延迟和存活时间延长,但会出现代偿性铁获取途径的发展。最后,增强的铁蛋白自噬加速了 PDAC 的肿瘤发生,并且升高的铁蛋白自噬表达特征预示着 PDAC 患者的预后不良。总的来说,我们的数据表明,铁稳态的维持是 PDAC 自噬的一个关键功能,我们将 NCOA4 介导的铁蛋白自噬定义为 PDAC 的治疗靶点。

意义

自噬和铁代谢是 PDAC 的代谢依赖性。然而,针对这些途径的靶向治疗方法还很缺乏。我们发现 PDAC 中铁蛋白自噬上调。铁蛋白自噬支持 PDAC 的铁代谢,从而促进肿瘤进展,并代表 PDAC 中的一个新的治疗靶点。见 Jain 和 Amaravadi 的相关评论,第 2023 页。见 Ravichandran 等人的相关文章,第 2198 页。本文在本期特色文章中重点介绍,第 2007 页。

https://cdn.ncbi.nlm.nih.gov/pmc/blobs/80b7/9437572/0562f522f98b/2180fig1.jpg

文献AI研究员

20分钟写一篇综述,助力文献阅读效率提升50倍。

立即体验

用中文搜PubMed

大模型驱动的PubMed中文搜索引擎

马上搜索

文档翻译

学术文献翻译模型,支持多种主流文档格式。

立即体验