Suppr超能文献

利用智能互联健康的力量应对新冠疫情:物联网、人工智能、机器人技术和区块链打造更美好的世界。

Harnessing the Power of Smart and Connected Health to Tackle COVID-19: IoT, AI, Robotics, and Blockchain for a Better World.

作者信息

Firouzi Farshad, Farahani Bahar, Daneshmand Mahmoud, Grise Kathy, Song Jaeseung, Saracco Roberto, Wang Lucy Lu, Lo Kyle, Angelov Plamen, Soares Eduardo, Loh Po-Shen, Talebpour Zeynab, Moradi Reza, Goodarzi Mohsen, Ashraf Haleh, Talebpour Mohammad, Talebpour Alireza, Romeo Luca, Das Rupam, Heidari Hadi, Pasquale Dana, Moody James, Woods Chris, Huang Erich S, Barnaghi Payam, Sarrafzadeh Majid, Li Ron, Beck Kristen L, Isayev Olexandr, Sung Nakmyoung, Luo Alan

机构信息

Electrical and Computer Engineering DepartmentDuke University Durham NC 27708 USA.

Cyberspace Research Institute, Shahid Beheshti University Tehran 1983969411 Iran.

出版信息

IEEE Internet Things J. 2021 Apr 19;8(16):12826-12846. doi: 10.1109/JIOT.2021.3073904. eCollection 2021 Aug 15.

Abstract

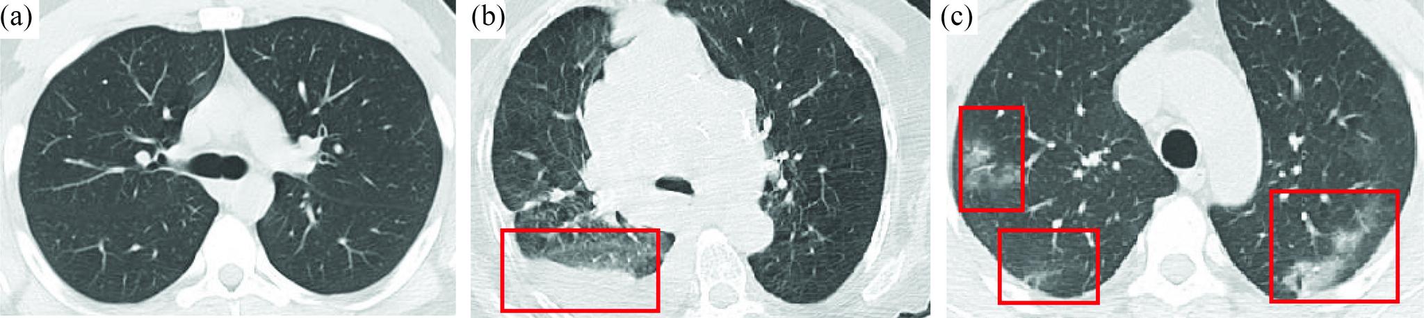
As COVID-19 hounds the world, the common cause of finding a swift solution to manage the pandemic has brought together researchers, institutions, governments, and society at large. The Internet of Things (IoT), artificial intelligence (AI)-including machine learning (ML) and Big Data analytics-as well as Robotics and Blockchain, are the four decisive areas of technological innovation that have been ingenuity harnessed to fight this pandemic and future ones. While these highly interrelated smart and connected health technologies cannot resolve the pandemic overnight and may not be the only answer to the crisis, they can provide greater insight into the disease and support frontline efforts to prevent and control the pandemic. This article provides a blend of discussions on the contribution of these digital technologies, propose several complementary and multidisciplinary techniques to combat COVID-19, offer opportunities for more holistic studies, and accelerate knowledge acquisition and scientific discoveries in pandemic research. First, four areas, where IoT can contribute are discussed, namely: 1) tracking and tracing; 2) remote patient monitoring (RPM) by wearable IoT (WIoT); 3) personal digital twins (PDTs); and 4) real-life use case: ICT/IoT solution in South Korea. Second, the role and novel applications of AI are explained, namely: 1) diagnosis and prognosis; 2) risk prediction; 3) vaccine and drug development; 4) research data set; 5) early warnings and alerts; 6) social control and fake news detection; and 7) communication and chatbot. Third, the main uses of robotics and drone technology are analyzed, including: 1) crowd surveillance; 2) public announcements; 3) screening and diagnosis; and 4) essential supply delivery. Finally, we discuss how distributed ledger technologies (DLTs), of which blockchain is a common example, can be combined with other technologies for tackling COVID-19.

摘要

随着新冠疫情席卷全球,迅速找到应对这一流行病的解决方案这一共同目标,将研究人员、机构、政府以及整个社会凝聚在了一起。物联网(IoT)、人工智能(AI)——包括机器学习(ML)和大数据分析——以及机器人技术和区块链,是技术创新的四个关键领域,人们巧妙地利用这些技术来抗击这场疫情以及未来的疫情。虽然这些高度相关的智能互联健康技术无法在一夜之间解决疫情,也可能不是应对危机的唯一答案,但它们可以提供对该疾病更深入的了解,并支持一线的疫情防控工作。本文综合讨论了这些数字技术的贡献,提出了几种应对新冠疫情的互补性多学科技术,提供了进行更全面研究的机会,并加速了疫情研究中的知识获取和科学发现。首先,讨论了物联网可以发挥作用的四个领域,即:1)追踪与溯源;2)通过可穿戴物联网(WIoT)进行远程患者监测(RPM);3)个人数字孪生(PDT);4)实际用例:韩国的信息通信技术/物联网解决方案。其次,解释了人工智能的作用和新应用,即:1)诊断与预后;2)风险预测;3)疫苗与药物研发;4)研究数据集;5)早期预警与警报;6)社会管控与假新闻检测;7)通信与聊天机器人。第三,分析了机器人技术和无人机技术的主要用途,包括:1)人群监测;2)公共公告;3)筛查与诊断;4)基本物资配送。最后,我们讨论了分布式账本技术(DLT),区块链就是其常见示例之一,如何与其他技术相结合来应对新冠疫情。

https://cdn.ncbi.nlm.nih.gov/pmc/blobs/ebf7/8769005/eed600a8d58a/firou1-3073904.jpg

文献AI研究员

20分钟写一篇综述,助力文献阅读效率提升50倍。

立即体验

用中文搜PubMed

大模型驱动的PubMed中文搜索引擎

马上搜索

文档翻译

学术文献翻译模型,支持多种主流文档格式。

立即体验