Suppr超能文献

麝香鲈中IVb型鱼类诺达病毒的组织分布()

Tissue Distribution of the Piscine Novirhabdovirus Genotype IVb in Muskellunge ().

作者信息

Kim Robert K, Fitzgerald Scott D, Kiupel Matti, Faisal Mohamed

机构信息

Comparative Medicine and Integrative Biology, College of Veterinary Medicine, Michigan State University, 1129 Farm Lane, Room 340G, East Lansing, MI 48824, USA.

Department of Pathobiology and Diagnostic Investigation, College of Veterinary Medicine, Michigan State University, 4125 Beaumont Road, Building 0215, East Lansing, MI 48910, USA.

出版信息

Animals (Basel). 2022 Jun 24;12(13):1624. doi: 10.3390/ani12131624.

Abstract

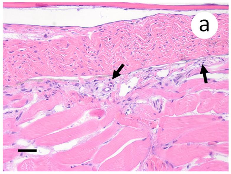
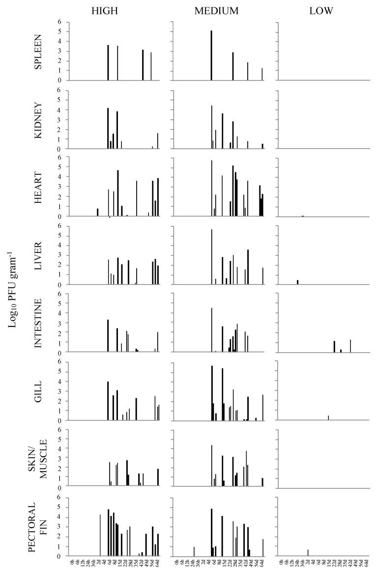
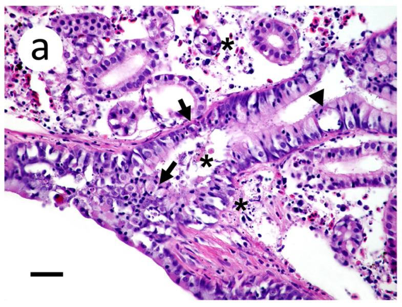
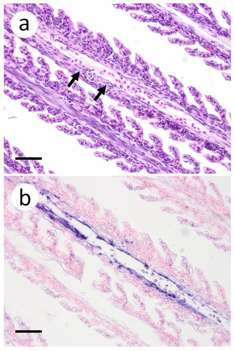
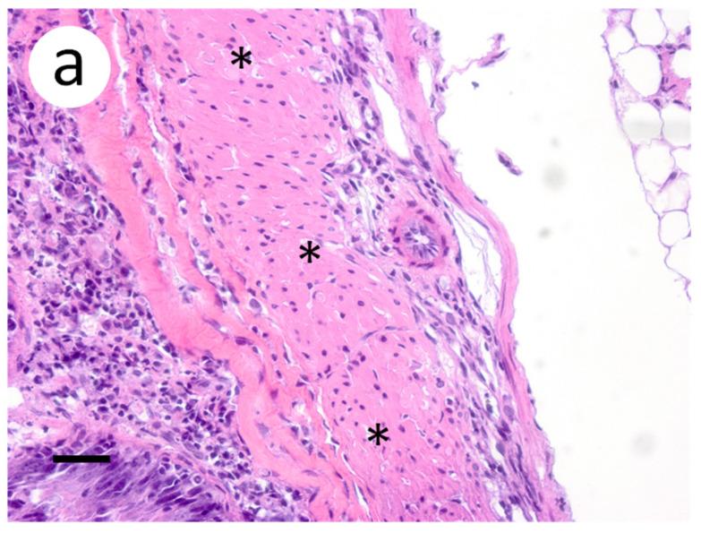
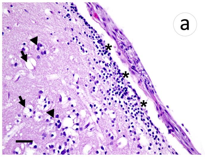
A novel sublineage of the piscine novirhabdovirus (synonym: viral hemorrhagic septicemia virus), genotype IVb, emerged in the Laurentian Great Lakes, causing serious losses in resident fish species as early as 2003. Experimentally infected juvenile muskellunge () were challenged with VHSV-IVb at high (1 × 10 PFU mL, medium (4 × 10 PFU mL), and low (100 PFU mL) doses. Samples from spleen, kidneys, heart, liver, gills, pectoral fin, large intestine, and skin/muscle were collected simultaneously from four fish at each predetermined time point and processed for VHSV-IVb reisolaton on cell lines and quantification by plaque assay. The earliest reisolation of VHSV-IVb occurred in one fish from pectoral fin samples at 24 h post-infection. By 6 days post-infection (dpi), all tissue types were positive for VHSV-IVb. Statistical analysis suggested that virus levels were highest in liver, heart, and skin/muscle samples. In contrast, the kidneys and spleen exhibited reduced probability of virus recovery. Virus distribution was further confirmed by an in situ hybridization assay using a VHSV-IVb specific riboprobe. Heart muscle fibers, hepatocytes, endothelia, smooth muscle cells, and fibroblast-like cells of the pectoral fin demonstrated riboprobe labeling, thus highlighting the broad cellular tropism of VHSV-IVb. Histopathologic lesions were observed in areas where the virus was visualized.

摘要

一种新的鱼类诺维氏弹状病毒(同义词:病毒性出血性败血症病毒)亚谱系,基因型IVb,出现在劳伦琴五大湖,早在2003年就给当地鱼类种群造成了严重损失。用高剂量(1×10⁶ PFU/mL)、中剂量(4×10⁵ PFU/mL)和低剂量(100 PFU/mL)的VHSV-IVb对实验感染的幼年北美狗鱼(Esox masquinongy)进行攻毒。在每个预定时间点,从四条鱼中同时采集脾脏、肾脏、心脏、肝脏、鳃、胸鳍、大肠和皮肤/肌肉的样本,并在细胞系上进行VHSV-IVb的再分离,通过蚀斑试验进行定量。VHSV-IVb最早在感染后24小时从一条鱼的胸鳍样本中再分离出来。到感染后6天(dpi),所有组织类型的VHSV-IVb均呈阳性。统计分析表明,肝脏、心脏和皮肤/肌肉样本中的病毒水平最高。相比之下,肾脏和脾脏中病毒回收的概率较低。使用VHSV-IVb特异性核糖探针通过原位杂交试验进一步证实了病毒分布。心肌纤维、肝细胞、内皮细胞、平滑肌细胞和胸鳍中的成纤维样细胞显示出核糖探针标记,从而突出了VHSV-IVb广泛的细胞嗜性。在病毒可见区域观察到组织病理学损伤。

https://cdn.ncbi.nlm.nih.gov/pmc/blobs/2b21/9264975/7118a21e0973/animals-12-01624-g001.jpg

文献AI研究员

20分钟写一篇综述,助力文献阅读效率提升50倍。

立即体验

用中文搜PubMed

大模型驱动的PubMed中文搜索引擎

马上搜索

文档翻译

学术文献翻译模型,支持多种主流文档格式。

立即体验