Suppr超能文献

一个胎儿存在多种畸形,其染色体 2q24.3-q32.1 发生了微缺失。

A novel chromosome 2q24.3-q32.1 microdeletion in a fetus with multiple malformations.

机构信息

Department of Pediatrics, The First Affiliated Hospital of Wenzhou Medical University, Wenzhou, China.

Department of Ultrasound imaging, The First Affiliated Hospital of Wenzhou Medical University, Wenzhou, China.

出版信息

J Clin Lab Anal. 2022 Aug;36(8):e24602. doi: 10.1002/jcla.24602. Epub 2022 Jul 12.

Abstract

BACKGROUND

Terminal or interstitial deletion of chromosome 2q is rarely reported but clinically significant, which can result in developmental malformations and psychomotor retardation in humans. In the present study, we analyzed this deletion to comprehensively clarify the relationship between phenotype and microdeletion region.

METHODS

We collected clinical records of the fetus and summarized patient symptoms. Subsequently, genomic DNA was extracted from fetal tissue or peripheral blood collected from parents. In addition, whole-exome sequencing (WES) and copy number variation sequencing (CNV-seq) were performed.

RESULTS

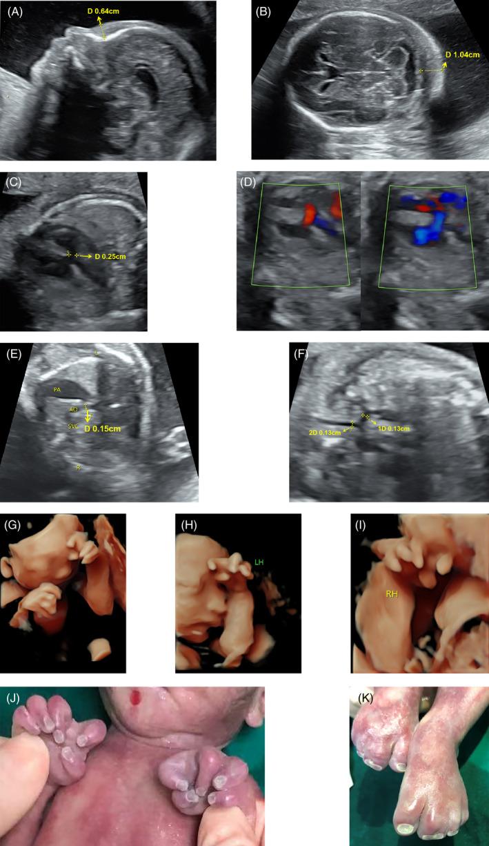
The fetus presented a previously unreported interstitial deletion of 2q24.3-q32.1. WES and CNV-seq revealed a de novo 18.46 Mb deletion at 2q24.3-q32.1, a region involving 94 protein-coding genes, including HOXD13, MAP3K20, DLX1, DLX2, SCN2A, and SCN1A. The fetus had upper and lower limb malformations, including camptodactyly and syndactyly, along with congenital cardiac defects.

CONCLUSION

Herein, we report a fetus with a novel microdeletion of chromosome 2q24.3-q32.1, likely a heterozygous pathogenic variant. Haploinsufficiency of HOXD13 might be related to limb deformity in the fetus.

摘要

背景

染色体 2q 末端或中间缺失很少被报道,但具有临床意义,可导致人类出现发育畸形和精神运动迟缓。本研究分析了这一缺失,以全面阐明表型与微缺失区域之间的关系。

方法

我们收集了胎儿的临床记录并总结了患者的症状。随后,从胎儿组织或父母采集的外周血中提取基因组 DNA。此外,还进行了全外显子组测序(WES)和拷贝数变异测序(CNV-seq)。

结果

胎儿呈现出一种以前未报道过的 2q24.3-q32.1 中间缺失。WES 和 CNV-seq 揭示了胎儿 2q24.3-q32.1 上的一个新发的 18.46 Mb 缺失,该区域包含 94 个编码蛋白的基因,包括 HOXD13、MAP3K20、DLX1、DLX2、SCN2A 和 SCN1A。胎儿存在上肢和下肢畸形,包括掌挛缩和并指畸形,以及先天性心脏缺陷。

结论

在此,我们报告了一例染色体 2q24.3-q32.1 新型微缺失的胎儿,可能是杂合致病性变异。HOXD13 的单倍不足可能与胎儿肢体畸形有关。

https://cdn.ncbi.nlm.nih.gov/pmc/blobs/fc16/9396185/6d83a9d2628a/JCLA-36-e24602-g003.jpg

文献AI研究员

20分钟写一篇综述,助力文献阅读效率提升50倍。

立即体验

用中文搜PubMed

大模型驱动的PubMed中文搜索引擎

马上搜索

文档翻译

学术文献翻译模型,支持多种主流文档格式。

立即体验