Suppr超能文献

髌下脂肪垫-滑膜解剖功能单元:Piezo1/2机械传感器参与骨关节炎疼痛的微观基础

Infrapatellar Fat Pad-Synovial Membrane Anatomo-Fuctional Unit: Microscopic Basis for Piezo1/2 Mechanosensors Involvement in Osteoarthritis Pain.

作者信息

Emmi Aron, Stocco Elena, Boscolo-Berto Rafael, Contran Martina, Belluzzi Elisa, Favero Marta, Ramonda Roberta, Porzionato Andrea, Ruggieri Pietro, De Caro Raffaele, Macchi Veronica

机构信息

Department of Neuroscience, Section of Human Anatomy, University of Padova, Padova, Italy.

Musculoskeletal Pathology and Oncology Laboratory, Department of Surgery, Oncology and Gastroenterology (DiSCOG), University of Padova, Padova, Italy.

出版信息

Front Cell Dev Biol. 2022 Jun 28;10:886604. doi: 10.3389/fcell.2022.886604. eCollection 2022.

Abstract

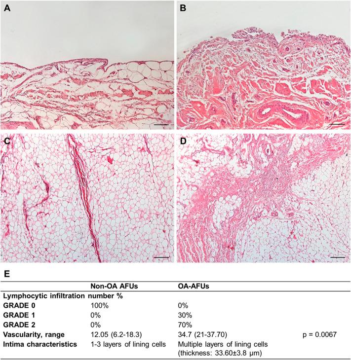
The Infrapatellar Fat Pad (IFP) is a fibro-adipose tissue of the knee recently reconsidered as part of a single anatomo-functional unit (AFU) together with the synovial membrane (SM). Several evidence support the role of this unit in the mechanisms that trigger and perpetuate the onset and progression of osteoarthritis (OA) disease. Additionally, the contribution of IFP-SM AFU in OA-associated pain has also been supposed, but this assumption still needs to be fully elucidated. Within this context, the recent discovery of the mechanoceptive Piezo ion channels (i.e., Piezo1 and Piezo2) in mammals and consciousness on their role in mediating both mechanoceptive and inflammatory stimuli could shed some light on knee OA pain, as well as on the process leading from acute to chronic nociceptive responses. For this purpose, the IFP-SM AFUs of both healthy donors (non-OA IFP-SM AFUs, = 10) and OA patients (OA IFP-SM AFUs, = 10) were processed by histology and immunohistochemistry. After the attribution of a histopathological score to IFP-SM AFUs to confirm intrinsic differences between the two groups, the specimens were investigated for the expression and localization/distribution pattern of the mechanosensors Piezo1 and Piezo2. In addition, the presence of monocytes/macrophages (CD68), peripheral nerve endings (PGP9.5) and neoangiogenesis signs (YAP1) was evaluated for a broad tissue characterization. The study results lead to a better description of the IFP-SM AFU microscopic features in both healthy and pathological conditions, highlighting peculiar differences in the study cohort. Specifically, immunopositivity towards Piezo1/2, CD68 and YAP1 markers was detected at vessels level in the OA- IFP-SM AFUs compartments, differently from the non-OA-group. A correlation with pain was also inferred, paving the way for the identification of new and effective molecules in OA management.

摘要

髌下脂肪垫(IFP)是膝关节的一种纤维脂肪组织,最近被重新认为是与滑膜(SM)共同构成一个单一解剖功能单元(AFU)的一部分。多项证据支持该单元在引发和促使骨关节炎(OA)疾病发生及进展的机制中所起的作用。此外,IFP - SM AFU在OA相关疼痛中的作用也已被推测,但这一假设仍需充分阐明。在此背景下,近期在哺乳动物中发现的机械感受性Piezo离子通道(即Piezo1和Piezo2)以及对其在介导机械感受性和炎症刺激方面作用的认识,可能会为膝OA疼痛以及从急性到慢性伤害性反应的过程提供一些线索。为此,对健康供体(非OA的IFP - SM AFU,n = 10)和OA患者(OA的IFP - SM AFU,n = 10)的IFP - SM AFU进行了组织学和免疫组织化学处理。在为IFP - SM AFU赋予组织病理学评分以确认两组之间的内在差异后,对标本进行机械感受器Piezo1和Piezo2的表达及定位/分布模式研究。此外,还评估了单核细胞/巨噬细胞(CD68)、外周神经末梢(PGP9.5)和新生血管形成迹象(YAP1)的存在情况,以进行广泛的组织特征描述。研究结果更好地描述了健康和病理条件下IFP - SM AFU的微观特征,突出了研究队列中的特殊差异。具体而言,与非OA组不同,在OA的IFP - SM AFU隔室的血管水平检测到了对Piezo1/2、CD68和YAP1标记物的免疫阳性。还推断出与疼痛的相关性,为OA治疗中鉴定新的有效分子铺平了道路。

https://cdn.ncbi.nlm.nih.gov/pmc/blobs/a257/9274201/70307a821b78/fcell-10-886604-g001.jpg

文献AI研究员

20分钟写一篇综述,助力文献阅读效率提升50倍。

立即体验

用中文搜PubMed

大模型驱动的PubMed中文搜索引擎

马上搜索

文档翻译

学术文献翻译模型,支持多种主流文档格式。

立即体验