Suppr超能文献

2019冠状病毒病患者发生坏疽性胆囊炎后行延迟腹腔镜胆囊切除术:一例报告

Delayed laparoscopic cholecystectomy for a patient with coronavirus disease 2019 who developed gangrenous cholecystitis: a case report.

作者信息

Yoshida Yurie, Iguchi Tomohiro, Iseda Norifumi, Hirose Kosuke, Honboh Takuya, Iwasaki Noriko, Kato Seiya, Sadanaga Noriaki, Matsuura Hiroshi

机构信息

Department of Surgery, Saiseikai Fukuoka General Hospital, 1-3-46 Tenjin, Chuo-ku, Fukuoka, 810-0001, Japan.

Department of Internal Medicine, Saiseikai Fukuoka General Hospital, Fukuoka, Japan.

出版信息

Surg Case Rep. 2022 Jul 18;8(1):134. doi: 10.1186/s40792-022-01494-7.

Abstract

BACKGROUND

Gangrenous cholecystitis has a high risk of perforation and sepsis; therefore, cholecystectomy in the early stage of the disease is recommended. However, during the novel coronavirus disease 2019 (COVID-19) pandemic, the management of emergent surgeries changed to avoid contagion exposure among medical workers and poor postoperative outcomes.

CASE PRESENTATION

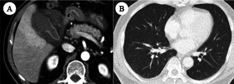
A 56-year-old man presented to our hospital with abdominal pain. Computed tomography revealed intraluminal membranes, an irregular or absent wall, and an abscess of the gallbladder, indicating acute gangrenous cholecystitis. Early laparoscopic cholecystectomy seemed to be indicated; however, a COVID-19 antigen test was positive despite no obvious pneumonia on chest computed tomography and no symptoms. After discussion among the multidisciplinary team, antibiotic therapy was started and percutaneous transhepatic gallbladder drainage (PTGBD) was planned for the following day because the patient's vital signs were stable and his abdominal pain was localized. Fortunately, the antibiotic therapy was very effective, and PTGBD was not needed. The cholecystitis improved and the patient was discharged from the hospital on day 10. One month later, laparoscopic delayed cholecystectomy was performed after confirming a negative COVID-19 polymerase chain reaction test result. The postoperative course was uneventful, and the patient was discharged on postoperative day 2 in satisfactory condition.

CONCLUSION

We have reported a case of acute gangrenous cholecystitis in a patient with asymptomatic COVID-19 disease. This report can help to determine treatment strategies for patients with gangrenous cholecystitis during future pandemics.

摘要

背景

坏疽性胆囊炎有较高的穿孔和脓毒症风险;因此,建议在疾病早期进行胆囊切除术。然而,在2019年新型冠状病毒病(COVID-19)大流行期间,急诊手术的管理方式发生了变化,以避免医护人员受到传染暴露和术后不良结局。

病例介绍

一名56岁男性因腹痛前来我院就诊。计算机断层扫描显示胆囊腔内有隔膜、胆囊壁不规则或消失以及脓肿,提示急性坏疽性胆囊炎。似乎应尽早进行腹腔镜胆囊切除术;然而,尽管胸部计算机断层扫描未显示明显肺炎且无相关症状,但COVID-19抗原检测呈阳性。多学科团队讨论后,由于患者生命体征稳定且腹痛局限,开始给予抗生素治疗,并计划次日进行经皮经肝胆囊引流术(PTGBD)。幸运的是,抗生素治疗非常有效,无需进行PTGBD。胆囊炎有所改善,患者于第10天出院。1个月后,在确认COVID-19聚合酶链反应检测结果为阴性后,进行了腹腔镜延迟胆囊切除术。术后过程顺利,患者于术后第2天状况良好出院。

结论

我们报告了一例无症状COVID-19患者的急性坏疽性胆囊炎病例。本报告有助于确定未来大流行期间坏疽性胆囊炎患者的治疗策略。

https://cdn.ncbi.nlm.nih.gov/pmc/blobs/47d5/9288939/1e3424deca7c/40792_2022_1494_Fig1_HTML.jpg

文献AI研究员

20分钟写一篇综述,助力文献阅读效率提升50倍。

立即体验

用中文搜PubMed

大模型驱动的PubMed中文搜索引擎

马上搜索

文档翻译

学术文献翻译模型,支持多种主流文档格式。

立即体验