Suppr超能文献

转录因子 EB 介导线粒体自噬的间充质干细胞治疗可缓解脊髓小脑共济失调 3 型神经元细胞模型的缺陷

Transcription factor EB-mediated mesenchymal stem cell therapy induces autophagy and alleviates spinocerebellar ataxia type 3 defects in neuronal cells model.

机构信息

CAS Key Laboratory of Regenerative Biology, Guangdong Provincial Key Laboratory of Stem Cell and Regenerative Medicine, Guangzhou Institutes of Biomedicine and Health, Chinese Academy of Sciences, Guangzhou, China.

Department of Anatomy and Neurobiology, Xiangya School of Medicine, Central South University, Changsha, China.

出版信息

Cell Death Dis. 2022 Jul 18;13(7):622. doi: 10.1038/s41419-022-05085-0.

Abstract

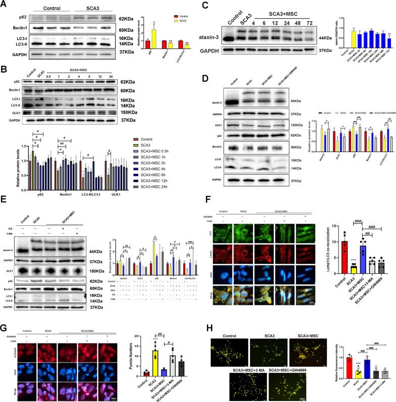
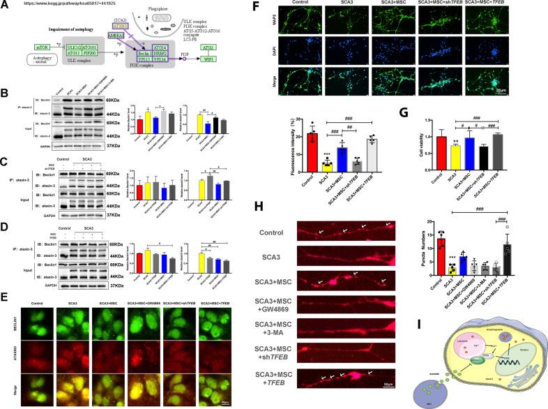
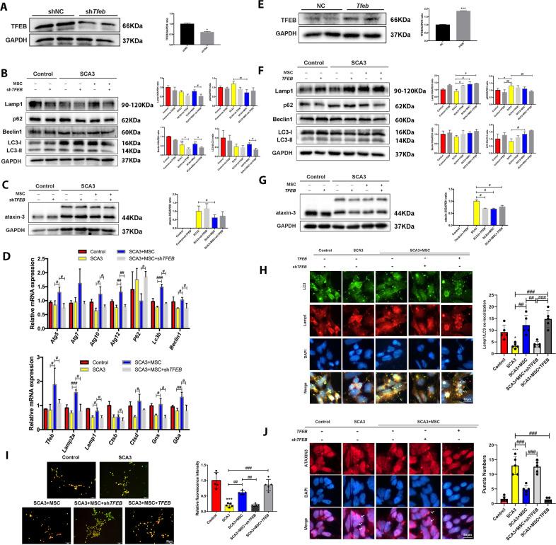
Defects in ataxin-3 proteins and CAG repeat expansions in its coding gene ATXN3 cause Spinocerebellar Ataxia Type 3 (SCA3) or Machado-Joseph disease (MJD) polyglutamine neurodegenerative disease. The mutant proteins aggregate as inclusion bodies in cells and compete with wild-type ataxin-3, which leads to neuronal dysfunction or death and impairs Beclin1-mediated autophagy. It has been reported that Mesenchymal stem cells (MSCs) can reliably treat several neurodegenerative diseases. Herein, we used a Transcription Factor EB (TFEB) nuclear translocation-mediated MSCs co-culture approach to reconstitute autophagy and lysosomal biogenesis, and reduce SCA3-like behaviors in induced pluripotent stem cells (iPSCs)-derived neuron cells models. Our iPSCs model showed enhanced expression of autophagy proteins, attenuated the expression and toxic effects of mutant ataxin-3 on neurons, and alleviated the effects of ataxin-3 on autophagy. Therefore, MSCs are associated with autophagy-inducing therapy and compared to animal models, our MSCs co-culture could be used as a novel and potential therapeutic approach to study SCA3 disease and other neurodegenerative diseases.

摘要

ataxin-3 蛋白缺陷和其编码基因 ATXN3 中的 CAG 重复扩展导致脊髓小脑性共济失调 3 型(SCA3)或 Machado-Joseph 病(MJD)多聚谷氨酰胺神经退行性疾病。突变蛋白在细胞中聚集形成包含体,并与野生型 ataxin-3 竞争,导致神经元功能障碍或死亡,并损害 Beclin1 介导的自噬。据报道,间充质干细胞(MSCs)可可靠地治疗几种神经退行性疾病。在此,我们使用转录因子 EB(TFEB)核易位介导的 MSC 共培养方法来重建自噬和溶酶体生物发生,并减少诱导多能干细胞(iPSC)衍生神经元细胞模型中的 SCA3 样行为。我们的 iPSC 模型显示自噬蛋白表达增强,减弱了突变 ataxin-3 对神经元的表达和毒性作用,并减轻了 ataxin-3 对自噬的影响。因此,MSCs 与自噬诱导治疗相关,与动物模型相比,我们的 MSC 共培养可作为研究 SCA3 疾病和其他神经退行性疾病的一种新型潜在治疗方法。

https://cdn.ncbi.nlm.nih.gov/pmc/blobs/b5da/9293975/70cddadd4a55/41419_2022_5085_Fig1_HTML.jpg

文献AI研究员

20分钟写一篇综述,助力文献阅读效率提升50倍。

立即体验

用中文搜PubMed

大模型驱动的PubMed中文搜索引擎

马上搜索

文档翻译

学术文献翻译模型,支持多种主流文档格式。

立即体验