Suppr超能文献

接种 BNT162b2 新型冠状病毒疫苗后出现孤立性 ACTH 缺乏症:一例报告。

Isolated ACTH deficiency following immunization with the BNT162b2 SARS-CoV-2 vaccine: a case report.

机构信息

First Department of Medicine, Wakayama Medical University, 811-1 Kimi-idera, Wakayama, 641-8509, Japan.

Department of Diabetes, Endocrinology, and Metabolism, Japanese Red Cross Wakayama Medical Center, Wakayama, Japan.

出版信息

BMC Endocr Disord. 2022 Jul 19;22(1):185. doi: 10.1186/s12902-022-01095-3.

Abstract

BACKGROUND

The global COVID-19 pandemic requires urgent development of new vaccines. Endocrinological adverse effects following the new mRNA vaccine against COVID-19 have been reported in several cases. Specific to the involvement of pituitary function; however, only a single case with hypophysis has been reported. This is the first case of isolated adrenocorticotropic hormone (ACTH) deficiency (IAD) following mRNA vaccination against COVID-19.

CASE PRESENTATION

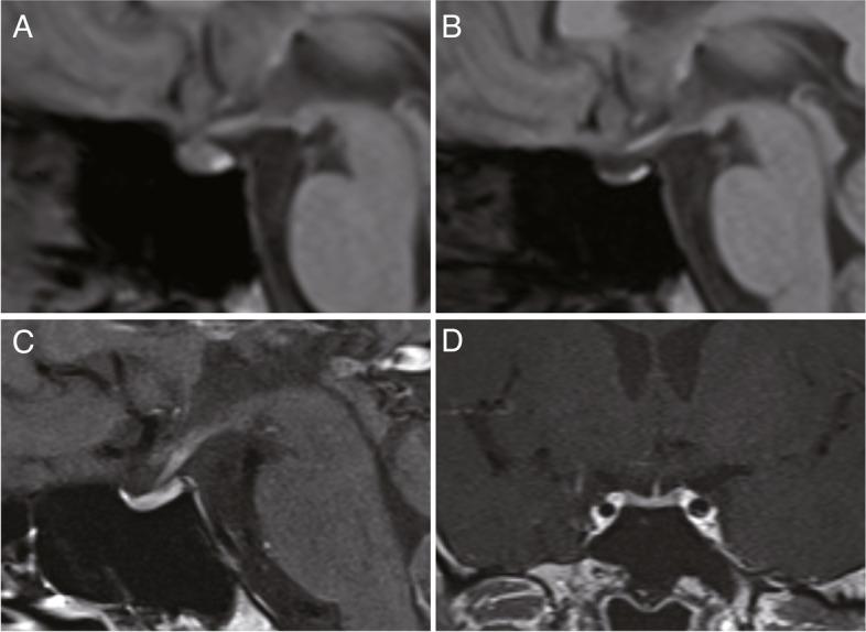
A healthy 31-year-old man received the BNT162b2 SARS-CoV-2 mRNA vaccine. The first injection was uneventful. One day after the second injection, he noticed general fatigue and fever. In the following several days, he additionally developed headaches, nausea, and diarrhea. Four days after the vaccine injection, he visited a hospital with worsening of these symptoms. Physical examination revealed slight disorientation but no other deficits. Laboratory tests revealed hyponatremia, hypoglycemia, and extremely low plasma ACTH and serum cortisol levels (ACTH < 1.5 pg/ml, cortisol 1.6 μg/dl). He was diagnosed with adrenal crisis and was emergently treated with hydrocortisone. The symptoms responded well and he recovered within a few days. Magnetic resonance images after the replacement with hydrocortisone revealed an atrophic pituitary gland. The patient was referred to our tertiary hospital for further endocrinological examination. Pituitary endocrine load tests revealed isolated adrenocortical response deficiency. After other clinical assessments, he was diagnosed as having isolated ACTH deficiency. After initiation of hydrocortisone replacement, there has been no recurrence of symptoms related to adrenocortical insufficiency nor involvement of other pituitary functions.

CONCLUSION

This is the first reported case of IAD potentially associated with COVID-19 immunization. Recent reports have emphasized the importance of adjuvants in the mRNA vaccine that induce the endocrinological adverse effects through disturbance of the autoimmune system, but details are still unclear. Given the broad and rapid spread of vaccinations against COVID-19, it is clinically important to consider that there could be cases with a rare but emergent adrenal crisis even among those who present common symptoms of adverse effects following inactive SARS-CoV-2 mRNA vaccination.

摘要

背景

全球 COVID-19 大流行要求紧急开发新疫苗。在几种情况下,已报道了新型 COVID-19 mRNA 疫苗后的内分泌不良影响。然而,仅报道了一例垂体功能受累的病例。这是首例接种 COVID-19 mRNA 疫苗后孤立性促肾上腺皮质激素(ACTH)缺乏症(IAD)的病例。

病例介绍

一名健康的 31 岁男性接种了 BNT162b2 SARS-CoV-2 mRNA 疫苗。第一次注射没有出现任何问题。第二次注射后一天,他注意到全身疲劳和发烧。在接下来的几天里,他还出现了头痛、恶心和腹泻。疫苗注射后第四天,他因症状加重去了医院。体格检查发现有些定向障碍,但无其他缺陷。实验室检查显示低钠血症、低血糖和极低的血浆 ACTH 和血清皮质醇水平(ACTH<1.5pg/ml,皮质醇 1.6μg/dl)。他被诊断为肾上腺危象,并紧急接受了氢化可的松治疗。症状得到了很好的缓解,他在几天内康复。氢化可的松替代治疗后的磁共振成像显示垂体萎缩。患者被转至我们的三级医院进行进一步的内分泌检查。垂体内分泌负荷试验显示孤立性肾上腺皮质反应缺陷。在进行其他临床评估后,他被诊断为孤立性 ACTH 缺乏症。开始使用氢化可的松替代治疗后,未再出现与肾上腺皮质功能不全相关的症状,也未出现其他垂体功能受累。

结论

这是首例与 COVID-19 免疫接种相关的潜在 IAD 病例报告。最近的报告强调了 mRNA 疫苗中的佐剂通过扰乱自身免疫系统引起内分泌不良影响的重要性,但细节尚不清楚。鉴于 COVID-19 疫苗的广泛和快速传播,临床上重要的是要考虑到,即使在那些表现出 COVID-19 mRNA 疫苗接种后常见不良反应的人群中,也可能会出现罕见但紧急的肾上腺危象病例。

https://cdn.ncbi.nlm.nih.gov/pmc/blobs/d0cb/9297640/8bb25fc12bd7/12902_2022_1095_Fig1_HTML.jpg

文献AI研究员

20分钟写一篇综述,助力文献阅读效率提升50倍。

立即体验

用中文搜PubMed

大模型驱动的PubMed中文搜索引擎

马上搜索

文档翻译

学术文献翻译模型,支持多种主流文档格式。

立即体验