Suppr超能文献

谷氨酰胺可用性调节由mTOR信号传导和自噬介导的衰老进程。

Glutamine Availability Regulates the Development of Aging Mediated by mTOR Signaling and Autophagy.

作者信息

Zhou Jiao, Chen Honghan, Du Jintao, Tai Haoran, Han Xiaojuan, Huang Ning, Wang Xiaobo, Gong Hui, Yang Mingyao, Xiao Hengyi

机构信息

Department of Geriatrics, State Key Laboratory of Biotherapy, West China Hospital, Sichuan University, Chengdu, China.

Department of Otorhinolaryngology Head and Neck Surgery, West China Hospital, Sichuan University, Chengdu, China.

出版信息

Front Pharmacol. 2022 Jul 4;13:924081. doi: 10.3389/fphar.2022.924081. eCollection 2022.

Abstract

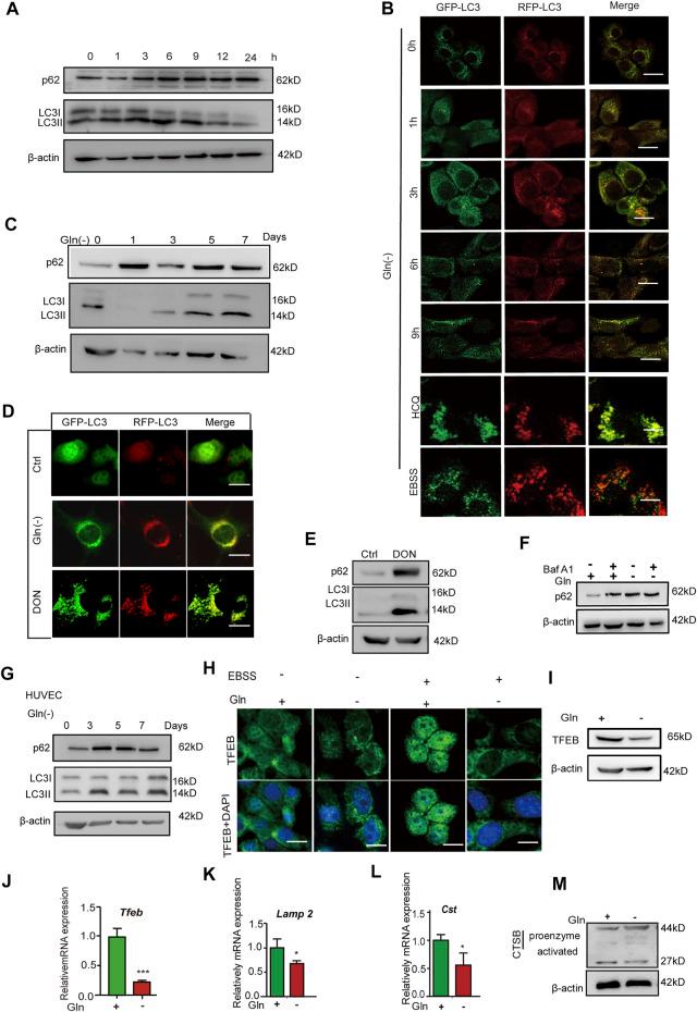
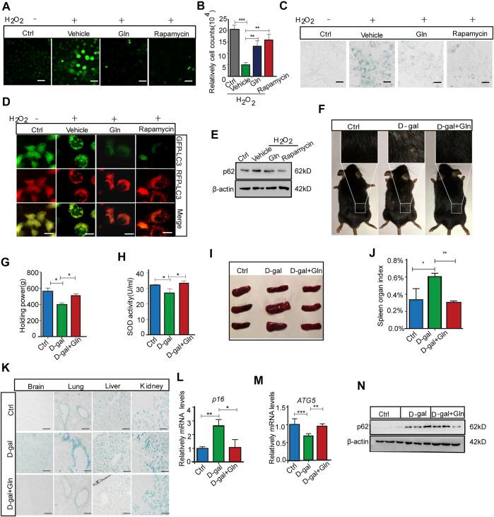
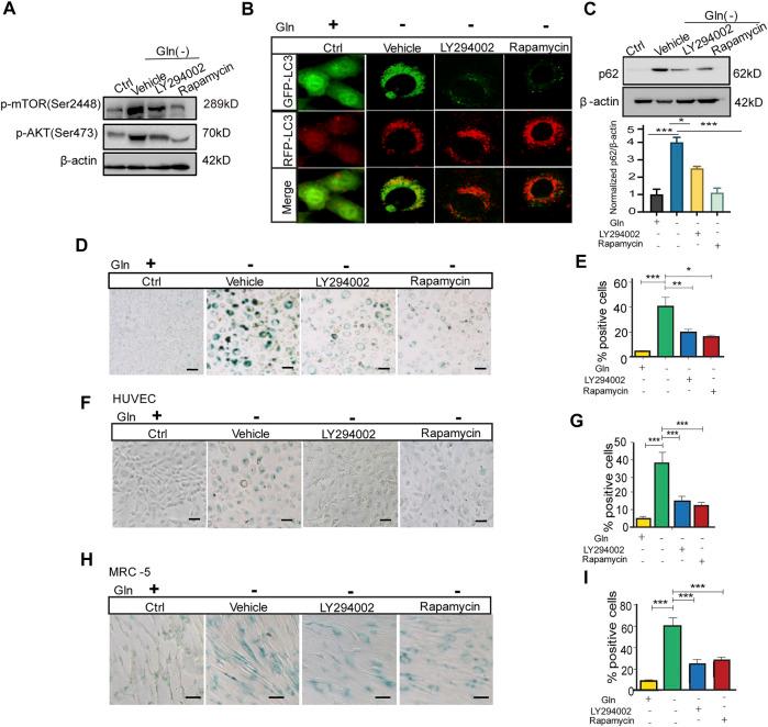
Glutamine is a conditionally essential amino acid involved in energy production and redox homeostasis. Aging is commonly characterized by energy generation reduction and redox homeostasis dysfunction. Various aging-related diseases have been reported to be accompanied by glutamine exhaustion. Glutamine supplementation has been used as a nutritional therapy for patients and the elderly, although the mechanism by which glutamine availability affects aging remains elusive. Here, we show that chronic glutamine deprivation induces senescence in fibroblasts and aging in , while glutamine supplementation protects against oxidative stress-induced cellular senescence and rescues the D-galactose-prompted progeria phenotype in mice. Intriguingly, we found that long-term glutamine deprivation activates the Akt-mTOR pathway, together with the suppression of autolysosome function. However, the inhibition of the Akt-mTOR pathway effectively rescued the autophagy impairment and cellular senescence caused by glutamine deprivation. Collectively, our study demonstrates a novel interplay between glutamine availability and the aging process. Mechanistically, long-term glutamine deprivation could evoke mammalian target of rapamycin (mTOR) pathway activation and autophagy impairment. These findings provide new insights into the connection between glutamine availability and the aging process.

摘要

谷氨酰胺是一种条件必需氨基酸,参与能量产生和氧化还原稳态。衰老的常见特征是能量生成减少和氧化还原稳态功能障碍。据报道,各种与衰老相关的疾病都伴有谷氨酰胺耗竭。谷氨酰胺补充剂已被用作患者和老年人的营养疗法,尽管谷氨酰胺可用性影响衰老的机制仍不清楚。在这里,我们表明,长期谷氨酰胺剥夺会诱导成纤维细胞衰老和小鼠衰老,而补充谷氨酰胺可保护细胞免受氧化应激诱导的衰老,并挽救D-半乳糖诱导的小鼠早衰表型。有趣的是,我们发现长期谷氨酰胺剥夺会激活Akt-mTOR通路,同时抑制自溶酶体功能。然而,抑制Akt-mTOR通路可有效挽救谷氨酰胺剥夺引起的自噬损伤和细胞衰老。总的来说,我们的研究证明了谷氨酰胺可用性与衰老过程之间存在新的相互作用。从机制上讲,长期谷氨酰胺剥夺可能会引发雷帕霉素靶蛋白(mTOR)通路激活和自噬损伤。这些发现为谷氨酰胺可用性与衰老过程之间的联系提供了新的见解。

https://cdn.ncbi.nlm.nih.gov/pmc/blobs/62d7/9289448/05ee518a536b/fphar-13-924081-g001.jpg

文献AI研究员

20分钟写一篇综述,助力文献阅读效率提升50倍。

立即体验

用中文搜PubMed

大模型驱动的PubMed中文搜索引擎

马上搜索

文档翻译

学术文献翻译模型,支持多种主流文档格式。

立即体验