Suppr超能文献

补体在猪和人废弃肾脏的常温机器灌注过程中被激活。

Complement Is Activated During Normothermic Machine Perfusion of Porcine and Human Discarded Kidneys.

机构信息

Department of Surgery, University Medical Center Groningen, Groningen, Netherlands.

LUMC Transplant Center, Department of Surgery, Leiden University Medical Center, Leiden, Netherlands.

出版信息

Front Immunol. 2022 Jul 13;13:831371. doi: 10.3389/fimmu.2022.831371. eCollection 2022.

Abstract

BACKGROUND

The gap between demand and supply of kidneys for transplantation necessitates the use of kidneys from extended criteria donors. Transplantation of these donor kidneys is associated with inferior results, reflected by an increased risk of delayed graft function. Inferior results might be explained by the higher immunogenicity of extended criteria donor kidneys. Normothermic machine perfusion (NMP) could be used as a platform to assess the quality and function of donor kidneys. In addition, it could be useful to evaluate and possibly alter the immunological response of donor kidneys. In this study, we first evaluated whether complement was activated during NMP of porcine and human discarded kidneys. Second, we examined the relationship between complement activation and pro-inflammatory cytokines during NMP. Third, we assessed the effect of complement activation on renal function and injury during NMP of porcine kidneys. Lastly, we examined local complement C3d deposition in human renal biopsies after NMP.

METHODS

NMP with a blood-based perfusion was performed with both porcine and discarded human kidneys for 4 and 6 h, respectively. Perfusate samples were taken every hour to assess complement activation, pro-inflammatory cytokines and renal function. Biopsies were taken to assess histological injury and complement deposition.

RESULTS

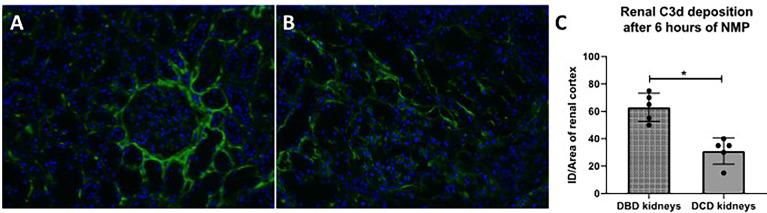
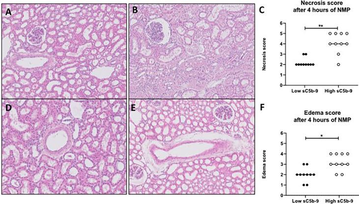
Complement activation products C3a, C3d, and soluble C5b-9 (sC5b-9) were found in perfusate samples taken during NMP of both porcine and human kidneys. In addition, complement perfusate levels positively correlated with the cytokine perfusate levels of IL-6, IL-8, and TNF during NMP of porcine kidneys. Porcine kidneys with high sC5b-9 perfusate levels had significantly lower creatinine clearance after 4 h of NMP. In line with these findings, high complement perfusate levels were seen during NMP of human discarded kidneys. In addition, kidneys retrieved from brain-dead donors had significantly higher complement perfusate levels during NMP than kidneys retrieved from donors after circulatory death.

CONCLUSION

Normothermic kidney machine perfusion induces complement activation in porcine and human kidneys, which is associated with the release of pro-inflammatory cytokines and in porcine kidneys with lower creatinine clearance. Complement inhibition during NMP might be a promising strategy to reduce renal graft injury and improve graft function prior to transplantation.

摘要

背景

肾脏移植的供需缺口需要使用扩展标准供体的肾脏。这些供体肾脏的移植与较差的结果相关联,表现为延迟移植物功能的风险增加。较差的结果可能是由于扩展标准供体肾脏的免疫原性更高所致。常温机器灌注(NMP)可作为评估供体肾脏质量和功能的平台。此外,它可能有助于评估和改变供体肾脏的免疫反应。在这项研究中,我们首先评估了在猪和人废弃肾脏的 NMP 过程中是否补体被激活。其次,我们研究了 NMP 过程中补体激活与前炎症细胞因子之间的关系。第三,我们评估了补体激活对猪肾脏 NMP 过程中肾功能和损伤的影响。最后,我们检查了 NMP 后人类肾活检中的局部补体 C3d 沉积。

方法

分别对猪和废弃的人类肾脏进行了 4 小时和 6 小时的基于血液的 NMP。每小时采集灌注液样本以评估补体激活、前炎症细胞因子和肾功能。采集活检以评估组织学损伤和补体沉积。

结果

在猪和人肾脏的 NMP 过程中,在灌注液样本中发现了补体激活产物 C3a、C3d 和可溶性 C5b-9(sC5b-9)。此外,在猪肾脏的 NMP 过程中,补体灌注液水平与细胞因子 IL-6、IL-8 和 TNF 的灌注液水平呈正相关。在 NMP 4 小时后,具有高 sC5b-9 灌注液水平的猪肾脏的肌酐清除率显著降低。与此相符,在人类废弃肾脏的 NMP 过程中观察到高补体灌注液水平。此外,与脑死亡供体器官相比,循环死亡供体器官中肾脏的 NMP 过程中的补体灌注液水平显著更高。

结论

常温肾脏机器灌注会在猪和人类肾脏中诱导补体激活,这与前炎症细胞因子的释放有关,并且在猪肾脏中与肌酐清除率降低有关。在 NMP 过程中抑制补体可能是减少移植前肾移植物损伤和改善移植物功能的有前途的策略。

https://cdn.ncbi.nlm.nih.gov/pmc/blobs/0032/9327788/b0dc381a2174/fimmu-13-831371-g001.jpg

文献AI研究员

20分钟写一篇综述,助力文献阅读效率提升50倍。

立即体验

用中文搜PubMed

大模型驱动的PubMed中文搜索引擎

马上搜索

文档翻译

学术文献翻译模型,支持多种主流文档格式。

立即体验