Suppr超能文献

BET 溴结构域抑制挽救了 PD-1 介导的急性髓系白血病中的 T 细胞耗竭。

BET bromodomain inhibition rescues PD-1-mediated T-cell exhaustion in acute myeloid leukemia.

机构信息

Key Laboratory for Regenerative Medicine of Ministry of Education, Institute of Hematology, Jinan University, 510632, Guangzhou, P. R. China.

Center for Cell Regeneration and Biotherapy, Guangzhou Institutes of Biomedicine and Health, Chinese Academy of Sciences, 510530, Guangzhou, P. R. China.

出版信息

Cell Death Dis. 2022 Aug 2;13(8):671. doi: 10.1038/s41419-022-05123-x.

Abstract

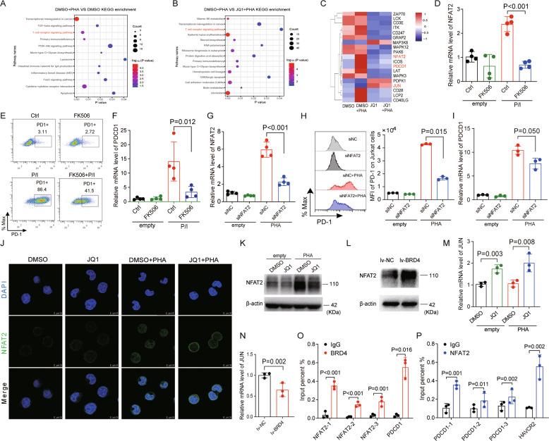
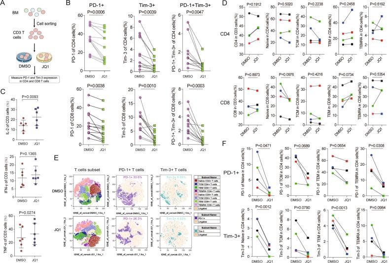
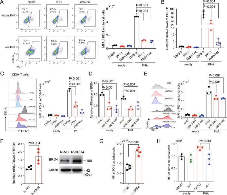
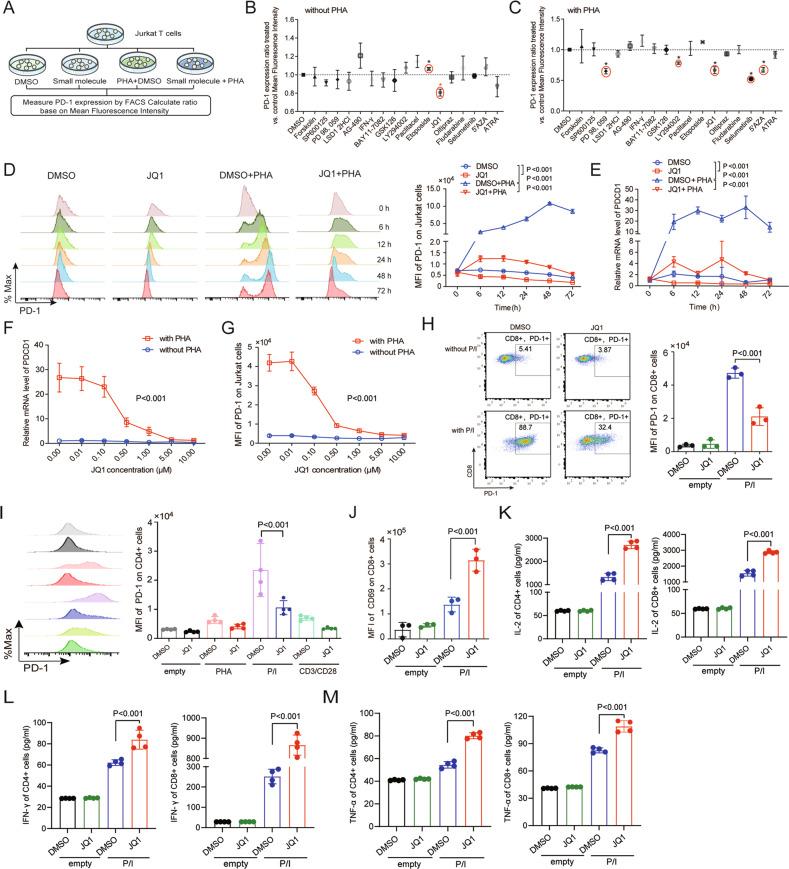
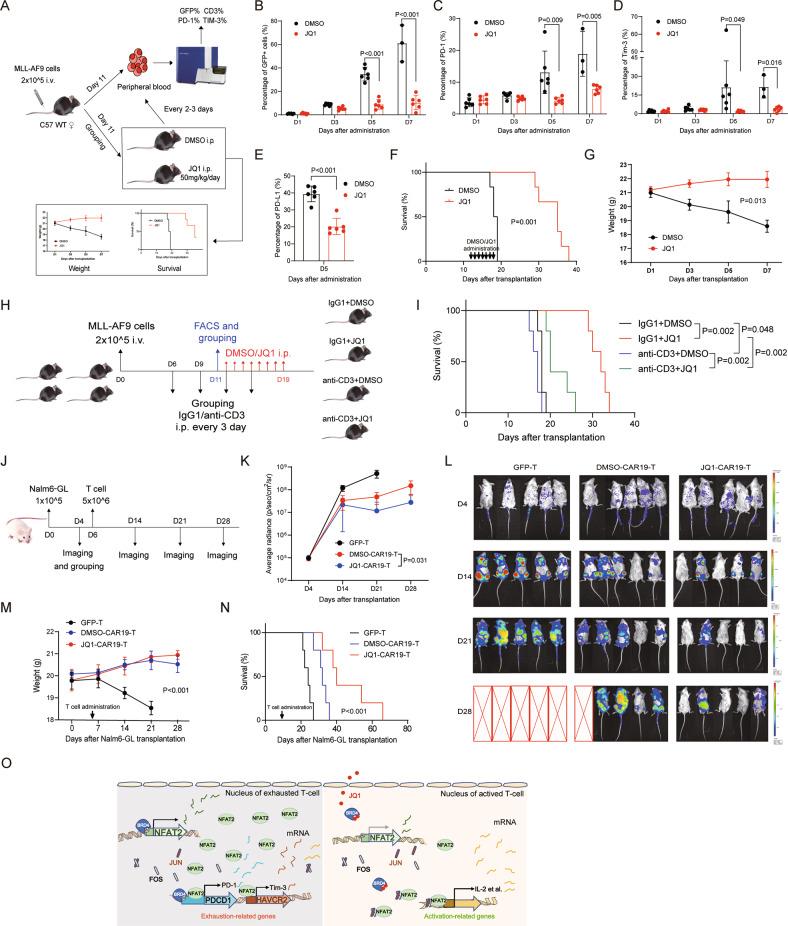
Sustained expression of programmed cell death receptor-1 (PD-1) is correlated with the exhaustion of T cells, and blockade of the PD-1 pathway is an effective immunotherapeutic strategy for treating various cancers. However, response rates are limited, and many patients do not achieve durable responses. Thus, it is important to seek additional strategies that can improve anticancer immunity. Here, we report that the bromodomain and extraterminal domain (BET) inhibitor JQ1 inhibits PD-1 expression in Jurkat T cells, primary T cells, and T-cell exhaustion models. Furthermore, JQ1 dramatically impaired the expression of PD-1 and T-cell immunoglobulin mucin-domain-containing-3 (Tim-3) and promoted the secretion of cytokines in T cells from patients with acute myeloid leukemia (AML). In line with that, BET inhibitor-treated CD19-CAR T and CD123-CAR T cells have enhanced anti-leukemia potency and resistant to exhaustion. Mechanistically, BRD4 binds to the NFAT2 and PDCD1 (encoding PD-1) promoters, and NFAT2 binds to the PDCD1 and HAVCR2 (encoding Tim-3) promoters. JQ1-treated T cells showed downregulated NFAT2, PD-1, and Tim-3 expression. In addition, BET inhibitor suppressed programmed death-ligand 1 (PD-L1) expression and cell growth in AML cell lines and in primary AML cells. We also demonstrated that JQ1 treatment led to inhibition of leukemia progression, reduced T-cell PD-1/Tim-3 expression, and prolonged survival in MLL-AF9 AML mouse model and Nalm6 (B-cell acute lymphoblastic leukemia cell)-bearing mouse leukemia model. Taken together, BET inhibition improved anti-leukemia immunity by regulating PD-1/PD-L1 expression, and also directly suppressed AML cells, which provides novel insights on the multiple effects of BET inhibition for cancer therapy.

摘要

程序性细胞死亡受体-1(PD-1)的持续表达与 T 细胞耗竭相关,阻断 PD-1 通路是治疗各种癌症的有效免疫治疗策略。然而,应答率有限,许多患者无法获得持久应答。因此,寻求可以提高抗癌免疫的其他策略很重要。在这里,我们报告溴结构域和末端结构域(BET)抑制剂 JQ1 可抑制 Jurkat T 细胞、原代 T 细胞和 T 细胞耗竭模型中的 PD-1 表达。此外,JQ1 显著抑制 PD-1 和 T 细胞免疫球蛋白粘蛋白结构域包含 3(Tim-3)的表达,并促进急性髓系白血病(AML)患者 T 细胞中细胞因子的分泌。与此一致的是,BET 抑制剂处理的 CD19-CAR T 和 CD123-CAR T 细胞增强了抗白血病效力并抵抗耗竭。在机制上,BRD4 与 NFAT2 和 PDCD1(编码 PD-1)启动子结合,NFAT2 与 PDCD1 和 HAVCR2(编码 Tim-3)启动子结合。JQ1 处理的 T 细胞显示 NFAT2、PD-1 和 Tim-3 表达下调。此外,BET 抑制剂可抑制 AML 细胞系和原代 AML 细胞中程序性死亡配体 1(PD-L1)的表达和细胞生长。我们还证明,JQ1 治疗可抑制白血病进展,降低 T 细胞 PD-1/Tim-3 表达,并延长 MLL-AF9 AML 小鼠模型和 Nalm6(B 细胞急性淋巴细胞白血病细胞)荷瘤小鼠白血病模型中的存活时间。总之,BET 抑制通过调节 PD-1/PD-L1 的表达来改善抗白血病免疫,并且还直接抑制 AML 细胞,这为 BET 抑制在癌症治疗中的多种作用提供了新的见解。

https://cdn.ncbi.nlm.nih.gov/pmc/blobs/478d/9346138/c45729f7b253/41419_2022_5123_Fig1_HTML.jpg

文献AI研究员

20分钟写一篇综述,助力文献阅读效率提升50倍。

立即体验

用中文搜PubMed

大模型驱动的PubMed中文搜索引擎

马上搜索

文档翻译

学术文献翻译模型,支持多种主流文档格式。

立即体验