Suppr超能文献

药理学激活钾通道 Kv11.1 用 NS1643 通过促进 caveolin-1 的去磷酸化来减轻三阴性乳腺癌细胞的迁移。

Pharmacological Activation of Potassium Channel Kv11.1 with NS1643 Attenuates Triple Negative Breast Cancer Cell Migration by Promoting the Dephosphorylation of Caveolin-1.

机构信息

Center for Informational Biology, University of Electronic Science and Technology of China, Chengdu 610054, China.

Department of Pharmacology, University of Illinois at Chicago, Chicago, IL 60612, USA.

出版信息

Cells. 2022 Aug 8;11(15):2461. doi: 10.3390/cells11152461.

Abstract

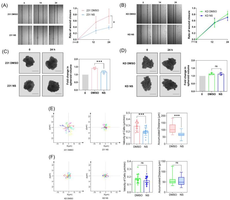
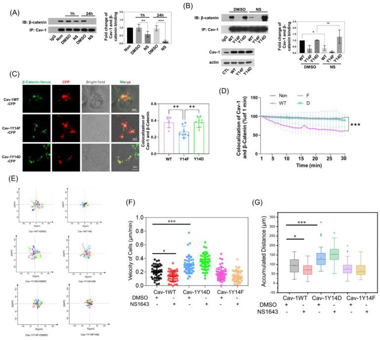
The prevention of metastasis is a central goal of cancer therapy. Caveolin-1 (Cav-1) is a structural membrane and scaffolding protein shown to be a key regulator of late-stage breast cancer metastasis. However, therapeutic strategies targeting Cav-1 are still lacking. Here, we demonstrate that the pharmacological activation of potassium channel Kv11.1, which is uniquely expressed in MDA-MB-231 triple negative breast cancer cells (TNBCs) but not in normal MCF-10A cells, induces the dephosphorylation of Cav-1 Tyr-14 by promoting the Ca-dependent stimulation of protein tyrosine phosphatase 1B (PTP1B). Consequently, the dephosphorylation of Cav-1 resulted in its disassociation from β-catenin, which enabled the accumulation of β-catenin at cell borders, where it facilitated the formation of cell-cell adhesion complexes via interactions with R-cadherin and desmosomal proteins. Kv11.1 activation-dependent Cav-1 dephosphorylation induced with NS1643 also reduced cell migration and invasion, consistent with its ability to regulate focal adhesion dynamics. Thus, this study sheds light on a novel pharmacological mechanism of promoting Cav-1 dephosphorylation, which may prove to be effective at reducing metastasis and promoting contact inhibition.

摘要

预防转移是癌症治疗的核心目标。窖蛋白-1(Cav-1)是一种结构膜和支架蛋白,被证明是晚期乳腺癌转移的关键调节剂。然而,针对 Cav-1 的治疗策略仍然缺乏。在这里,我们证明了钾通道 Kv11.1 的药理学激活,该通道仅在 MDA-MB-231 三阴性乳腺癌细胞(TNBC)中表达,而在正常 MCF-10A 细胞中不表达,通过促进 Ca 依赖性刺激蛋白酪氨酸磷酸酶 1B(PTP1B),诱导 Cav-1 Tyr-14 的去磷酸化。因此,Cav-1 的去磷酸化导致其与β-连环蛋白分离,这使得β-连环蛋白在细胞边缘积累,通过与 R-钙粘蛋白和桥粒蛋白相互作用,促进细胞-细胞黏附复合物的形成。用 NS1643 诱导的 Kv11.1 激活依赖性 Cav-1 去磷酸化也减少了细胞迁移和侵袭,这与其调节粘着斑动力学的能力一致。因此,这项研究揭示了促进 Cav-1 去磷酸化的一种新的药理学机制,这可能被证明是有效减少转移和促进接触抑制的方法。

https://cdn.ncbi.nlm.nih.gov/pmc/blobs/d8de/9368491/b999fb6cf8dd/cells-11-02461-g001.jpg

文献AI研究员

20分钟写一篇综述,助力文献阅读效率提升50倍。

立即体验

用中文搜PubMed

大模型驱动的PubMed中文搜索引擎

马上搜索

文档翻译

学术文献翻译模型,支持多种主流文档格式。

立即体验