Suppr超能文献

葛根素通过调节肝脂质蓄积、氧化应激和炎症改善大鼠非酒精性脂肪肝。

Puerarin ameliorates nonalcoholic fatty liver in rats by regulating hepatic lipid accumulation, oxidative stress, and inflammation.

机构信息

Beijing Key Laboratory of Functional Food from Plant Resources, College of Food Science and Nutritional Engineering, China Agricultural University, Beijing, China.

Clinical Laboratory Sciences Department, Turabah University College, Taif University, Taif, Saudi Arabia.

出版信息

Front Immunol. 2022 Jul 25;13:956688. doi: 10.3389/fimmu.2022.956688. eCollection 2022.

Abstract

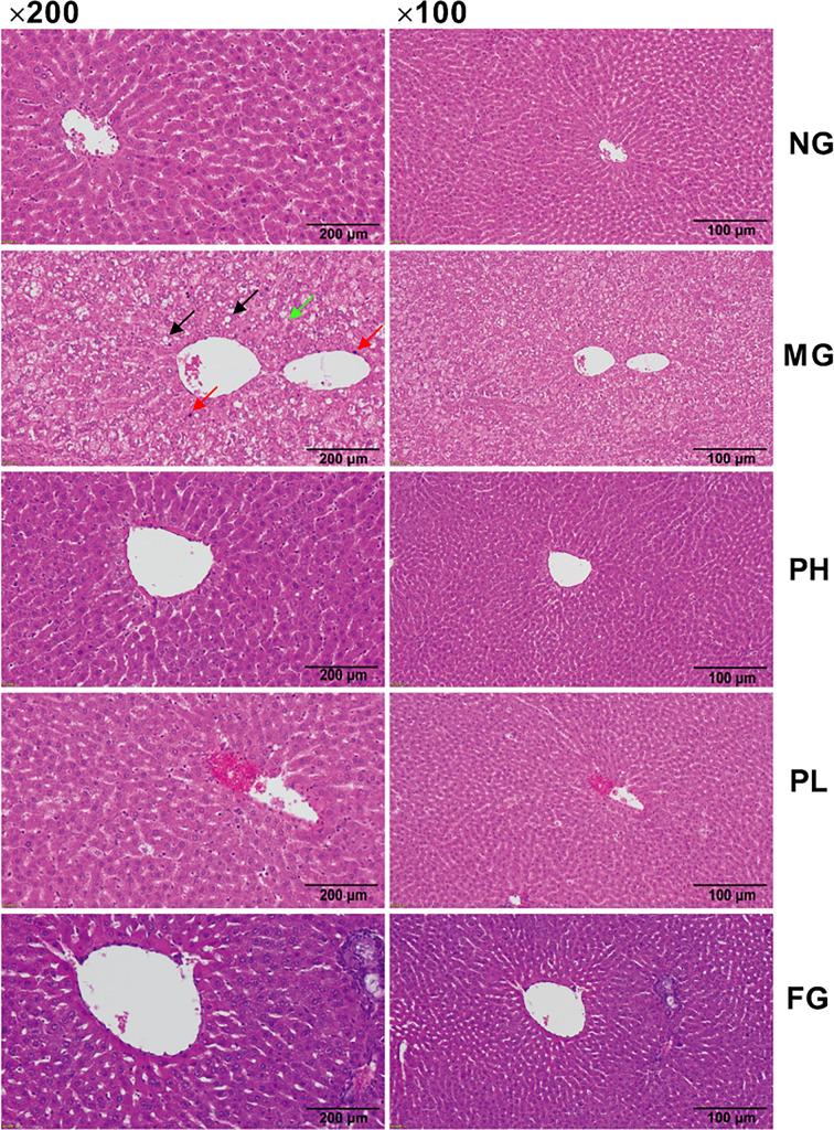
Nonalcoholic fatty liver disease (NAFLD) has become one of the public health problems globally. The occurrence of NAFLD is usually accompanied by a series of chronic metabolic diseases, with a prevalence rate is 25.24% among adults worldwide. Therefore, NAFLD seriously affects the quality of life in patients and causes a large economic burden. It has been reported that puerarin has the function of lowering the serum lipids, but due to the complexity of NAFLD, the specific mechanism of action has not been clarified. The aim of this study was to evaluate the preventive or ameliorating effects of two doses of puerarin (0.11% and 0.22% in diet) on high-fat and high-fructose diet (HFFD)-induced NAFLD in rats. The rats were fed with HFFD-mixed puerarin for 20 weeks. The results showed that puerarin ameliorated the levels of lipids in the serum and liver. Further exploration of the mechanism found that puerarin ameliorated hepatic lipid accumulation in NAFLD rats by reducing the expression of , , , , , , , , , and and upregulating the expression of , , and . At the same time, after administration of puerarin, the levels of antioxidant markers (superoxide dismutase, glutathione peroxidase, and catalase) were significantly increased in the serum and liver, and the contents of serum and hepatic inflammatory factors (interleukin-18, interleukins-1β, and tumor necrosis factor α) were clearly decreased. In addition, puerarin could ameliorate the liver function. Overall, puerarin ameliorated HFFD-induced NAFLD by modulating liver lipid accumulation, liver function, oxidative stress, and inflammation.

摘要

非酒精性脂肪性肝病(NAFLD)已成为全球公共卫生问题之一。NAFLD 的发生通常伴随着一系列慢性代谢性疾病,全球成年人的患病率为 25.24%。因此,NAFLD 严重影响患者的生活质量,并造成巨大的经济负担。据报道,葛根素具有降低血脂的作用,但由于 NAFLD 的复杂性,其具体作用机制尚不清楚。本研究旨在评估葛根素(饮食中 0.11%和 0.22%)对高脂肪高果糖饮食(HFFD)诱导的大鼠 NAFLD 的预防或改善作用。大鼠用 HFFD 混合葛根素喂养 20 周。结果表明,葛根素改善了血清和肝脏中的脂质水平。进一步探索其机制发现,葛根素通过降低 、 、 、 、 、 、 、 和 的表达,上调 、 和 的表达,改善 NAFLD 大鼠的肝脂质蓄积。同时,葛根素给药后,血清和肝脏中的抗氧化标志物(超氧化物歧化酶、谷胱甘肽过氧化物酶和过氧化氢酶)水平显著升高,血清和肝脏中炎症因子(白细胞介素-18、白细胞介素-1β和肿瘤坏死因子α)的含量明显降低。此外,葛根素还可以改善肝功能。总之,葛根素通过调节肝脂质蓄积、肝功能、氧化应激和炎症改善 HFFD 诱导的 NAFLD。

https://cdn.ncbi.nlm.nih.gov/pmc/blobs/8a9f/9359096/51576bb75210/fimmu-13-956688-g001.jpg

文献AI研究员

20分钟写一篇综述,助力文献阅读效率提升50倍。

立即体验

用中文搜PubMed

大模型驱动的PubMed中文搜索引擎

马上搜索

文档翻译

学术文献翻译模型,支持多种主流文档格式。

立即体验