Suppr超能文献

镉胁迫鱼类免疫相关蛋白(热休克蛋白和金属硫蛋白)基因表达变化及肝组织病理学研究

Investigation on Immune-Related Protein (Heat Shock Proteins and Metallothionein) Gene Expression Changes and Liver Histopathology in Cadmium-Stressed Fish.

机构信息

Department of Zoology, Lahore College for Women University, Lahore, Pakistan.

Department of Theriogenology, Faculty of Veterinary and Animal Sciences, Islamia University Bahawalpur, Pakistan.

出版信息

Biomed Res Int. 2022 Aug 3;2022:2075791. doi: 10.1155/2022/2075791. eCollection 2022.

Abstract

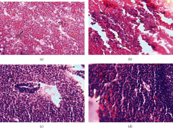
Heat shock proteins (HSP) are highly conserved in their structure and released in case of stress. Increased metallothionein (MT) synthesis is associated with increased capacity for binding heavy metals. Healthy juveniles of grass carp were exposed to sublethal dose (1.495 mg L) of cadmium for 28 days. Simultaneously, a control group was also run to compare difference of total RNA expression levels in cadmium-treated and control groups. The cadmium levels in the tissues of treated fish recorded were 1.78 ± 0.10 mg L, 1.60 ± 0.04 mg L, and 2.00 ± 0.05 mg L, respectively. Several histological alterations including edema, hemorrhage, dilated sinusoids, hypertrophy, hyperplasia, congestion of central vein, and nuclear alterations were observed in cadmium-exposed fish. Stress gene (metallothionein and heat shock proteins) mRNA transcription levels were studied by mRNA extraction and cDNA preparation by using PCR. The expression level of heat shock protein gene was higher as compared to metallothionein and beta-2-microglobulin gene after cadmium exposure. This study reports various stress-related immune-responsive changes of immune proteins, heat shock proteins, metallothionein, and histopathological changes in fish due to cadmium toxicity that make the fish immunocompromised which may be considered as the biomarkers of cadmium toxicity in other experimental species.

摘要

热休克蛋白(HSP)在结构上高度保守,在应激时释放。金属硫蛋白(MT)合成增加与结合重金属的能力增加有关。将草鱼幼鱼暴露于亚致死剂量(1.495mg/L)的镉 28 天。同时,还运行了一个对照组,以比较镉处理组和对照组的总 RNA 表达水平差异。处理鱼组织中的镉含量分别为 1.78±0.10mg/L、1.60±0.04mg/L 和 2.00±0.05mg/L。在镉暴露的鱼中观察到几种组织学改变,包括水肿、出血、窦扩张、肥大、增生、中心静脉充血和核改变。通过 mRNA 提取和 PCR 制备 cDNA,研究了应激基因(金属硫蛋白和热休克蛋白)mRNA 的转录水平。与金属硫蛋白和β-2-微球蛋白基因相比,热休克蛋白基因在镉暴露后的表达水平更高。本研究报告了由于镉毒性导致鱼类免疫蛋白、热休克蛋白、金属硫蛋白和组织病理学变化的各种与应激相关的免疫反应变化,使鱼类免疫功能受损,这可能被认为是其他实验物种镉毒性的生物标志物。

https://cdn.ncbi.nlm.nih.gov/pmc/blobs/7d6d/9365607/9c4ffc32ecc2/BMRI2022-2075791.001.jpg

文献AI研究员

20分钟写一篇综述,助力文献阅读效率提升50倍。

立即体验

用中文搜PubMed

大模型驱动的PubMed中文搜索引擎

马上搜索

文档翻译

学术文献翻译模型,支持多种主流文档格式。

立即体验