Suppr超能文献

多糖通过调节肠道微生物群和代谢产物降低老龄大鼠的血脂水平。

polysaccharides reduce serum lipid levels in aging rats by modulating intestinal microbiota and metabolites.

作者信息

Fu Qiang, Huang Hui, Ding Aiwen, Yu Ziqi, Huang Yuping, Fu Guiping, Huang Yushan, Huang Xiaoliu

机构信息

College of Medicine, Jinggangshan University, Ji'an, China.

Institute of Spinal Diseases, Jinggangshan University, Ji'an, China.

出版信息

Front Nutr. 2022 Aug 2;9:965653. doi: 10.3389/fnut.2022.965653. eCollection 2022.

Abstract

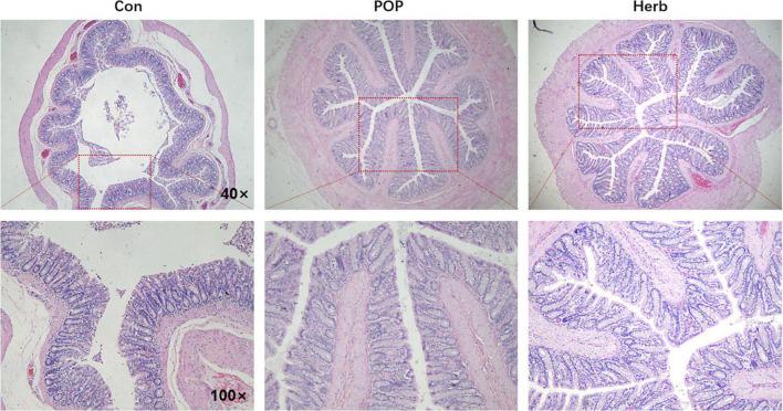
Metabolic diseases characterized by dyslipidemia are common health problems for elderly populations. Dietary fiber intake is inversely associated with the risk of dyslipidemia. This study investigated the effects of polysaccharide (POP) on the intestinal microbiota and its metabolites in aging rats using 16S rRNA sequencing and metabolomics techniques. Our results showed that POPs reduced the ratio of Firmicutes/Bacteroidetes (F/B), relative abundance of Fusobacteria, and levels of triglyceride (TG), low-density lipoprotein cholesterol (LDL-C), alanine aminotransferase (ALT), and gamma-glutamyl transferase (γ-GT) in the serum of aging rats. POP supplementation also reduced 5beta-cholestane-3alpha,7alpha,12alpha,25-tetrol, and vaccenic acid concentrations in lipids and lipoid-like molecules, while soyasapogenol E and monoacylglycerol (MG) (24:0/0:0/0:0) levels increased. This study demonstrated that POP's beneficial effects on lipid levels in aging rats might be partially attributable to the modification of gut microbiota and related metabolites.

摘要

以血脂异常为特征的代谢性疾病是老年人群常见的健康问题。膳食纤维摄入量与血脂异常风险呈负相关。本研究采用16S rRNA测序和代谢组学技术,研究了多糖(POP)对衰老大鼠肠道微生物群及其代谢产物的影响。我们的结果表明,POP降低了衰老大鼠血清中厚壁菌门/拟杆菌门(F/B)的比例、梭杆菌属的相对丰度以及甘油三酯(TG)、低密度脂蛋白胆固醇(LDL-C)、丙氨酸转氨酶(ALT)和γ-谷氨酰转移酶(γ-GT)的水平。补充POP还降低了脂质和类脂分子中5β-胆甾烷-3α,7α,12α,25-四醇和反式vaccenic酸的浓度,而大豆皂醇E和单酰甘油(MG)(24:0/0:0/0:0)水平升高。本研究表明,POP对衰老大鼠血脂水平的有益作用可能部分归因于肠道微生物群及其相关代谢产物的改变。

https://cdn.ncbi.nlm.nih.gov/pmc/blobs/87a4/9378863/ffe3e25e7618/fnut-09-965653-g001.jpg

文献AI研究员

20分钟写一篇综述,助力文献阅读效率提升50倍。

立即体验

用中文搜PubMed

大模型驱动的PubMed中文搜索引擎

马上搜索

文档翻译

学术文献翻译模型,支持多种主流文档格式。

立即体验