Suppr超能文献

一种共享的随机途径介导了外泌体蛋白沿着质膜和内体膜出芽。

A shared, stochastic pathway mediates exosome protein budding along plasma and endosome membranes.

机构信息

Department of Biological Chemistry, Johns Hopkins University, Baltimore, Maryland, USA.

Nanoview Biosciences, Boston, Massachusetts, USA.

出版信息

J Biol Chem. 2022 Oct;298(10):102394. doi: 10.1016/j.jbc.2022.102394. Epub 2022 Aug 18.

Abstract

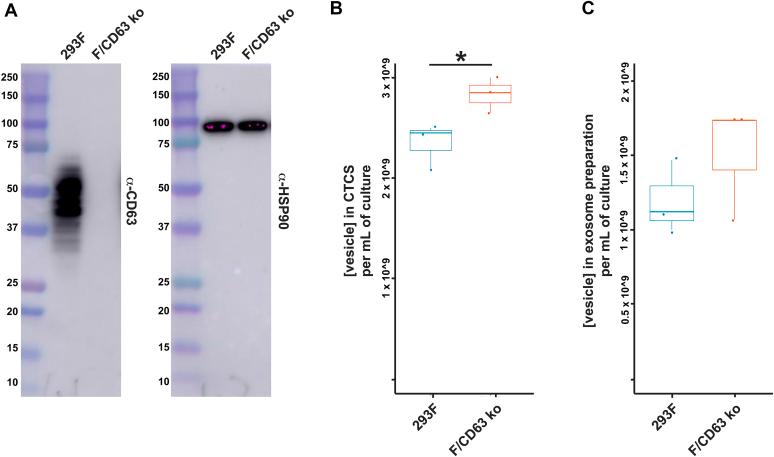
Exosomes are small extracellular vesicles of ∼30 to 150 nm that are secreted by all cells, abundant in all biofluids, and play important roles in health and disease. However, details about the mechanism of exosome biogenesis are unclear. Here, we carried out a cargo-based analysis of exosome cargo protein biogenesis in which we identified the most highly enriched exosomal cargo proteins and then followed their biogenesis, trafficking, and exosomal secretion to test different hypotheses for how cells make exosomes. We show that exosome cargo proteins bud from cells (i) in exosome-sized vesicles regardless of whether they are localized to plasma or endosome membranes, (ii) ∼5-fold more efficiently when localized to the plasma membrane, (iii) ∼5-fold less efficiently when targeted to the endosome membrane, (iv) by a stochastic process that leads to ∼100-fold differences in their abundance from one exosome to another, and (v) independently of small GTPase Rab27a, the ESCRT complex-associated protein Alix, or the cargo protein CD63. Taken together, our results demonstrate that cells use a shared, stochastic mechanism to bud exosome cargoes along the spectrum of plasma and endosome membranes and far more efficiently from the plasma membrane than the endosome. Our observations also indicate that the pronounced variation in content between different exosome-sized vesicles is an inevitable consequence of a stochastic mechanism of small vesicle biogenesis, that the origin membrane of exosome-sized extracellular vesicles simply cannot be determined, and that most of what we currently know about exosomes has likely come from studies of plasma membrane-derived vesicles.

摘要

外泌体是一种 30 至 150nm 的小型细胞外囊泡,由所有细胞分泌,在所有生物体液中都很丰富,在健康和疾病中发挥着重要作用。然而,外泌体生物发生的机制细节尚不清楚。在这里,我们进行了基于货物的外泌体货物蛋白生物发生分析,在该分析中,我们确定了最丰富的外泌体货物蛋白,然后跟踪它们的生物发生、运输和外泌体分泌,以测试细胞如何产生外泌体的不同假设。我们表明,外泌体货物蛋白(i)从细胞中以与是否定位于质膜或内体膜无关的大小的外泌体囊泡中出芽,(ii)当定位于质膜时效率高 5 倍,(iii)当定位于内体膜时效率低 5 倍,(iv)通过一种随机过程导致不同外泌体之间丰度存在 100 倍差异,以及(v)独立于小 GTPase Rab27a、ESCRT 复合物相关蛋白 Alix 或货物蛋白 CD63。总之,我们的结果表明,细胞使用共享的随机机制沿着质膜和内体膜的范围出芽外泌体货物,并且从质膜出芽的效率远远高于内体膜。我们的观察结果还表明,不同大小的外泌体之间内容物的明显差异是小囊泡生物发生的随机机制的必然结果,外泌体大小的细胞外囊泡的起源膜根本无法确定,并且我们目前对外泌体的了解大部分可能来自对质膜衍生囊泡的研究。

https://cdn.ncbi.nlm.nih.gov/pmc/blobs/c71a/9512851/af1a5d2817d9/gr1.jpg

文献AI研究员

20分钟写一篇综述,助力文献阅读效率提升50倍。

立即体验

用中文搜PubMed

大模型驱动的PubMed中文搜索引擎

马上搜索

文档翻译

学术文献翻译模型,支持多种主流文档格式。

立即体验