Suppr超能文献

利用重组大肠杆菌生产的沙门氏菌内切溶素 XFII 的特性及其与壳聚糖联合用于裂解革兰氏阴性菌的应用。

Characterization of Salmonella endolysin XFII produced by recombinant Escherichia coli and its application combined with chitosan in lysing Gram-negative bacteria.

机构信息

State Key Laboratory of Microbial Technology, Shandong University, Qingdao, 266237, China.

Institute of Animal Science and Veterinary Medicine, Shandong Academy of Agricultural Sciences, Jinan, 250100, China.

出版信息

Microb Cell Fact. 2022 Aug 23;21(1):171. doi: 10.1186/s12934-022-01894-2.

Abstract

BACKGROUND

Salmonella is a common foodborne pathogen, which can cause intestinal diseases. In the last decades, the overuse of antibiotics has led to a pandemic of drug-resistant bacterial infections. To tackle the burden of antimicrobial resistant pathogens, it is necessary to develop new antimicrobial drugs with novel modes of action. However, the research and development of antibiotics has encountered bottlenecks, scientific hurdles in the development process, as well as safety and cost challenges. Phages and phage endolysins are promising antibacterial agents that can be used as an alternative to antibiotics. In this context, the expression of endolysin derived from different phages through microbial cells as a chassis seems to be an attractive strategy.

RESULTS

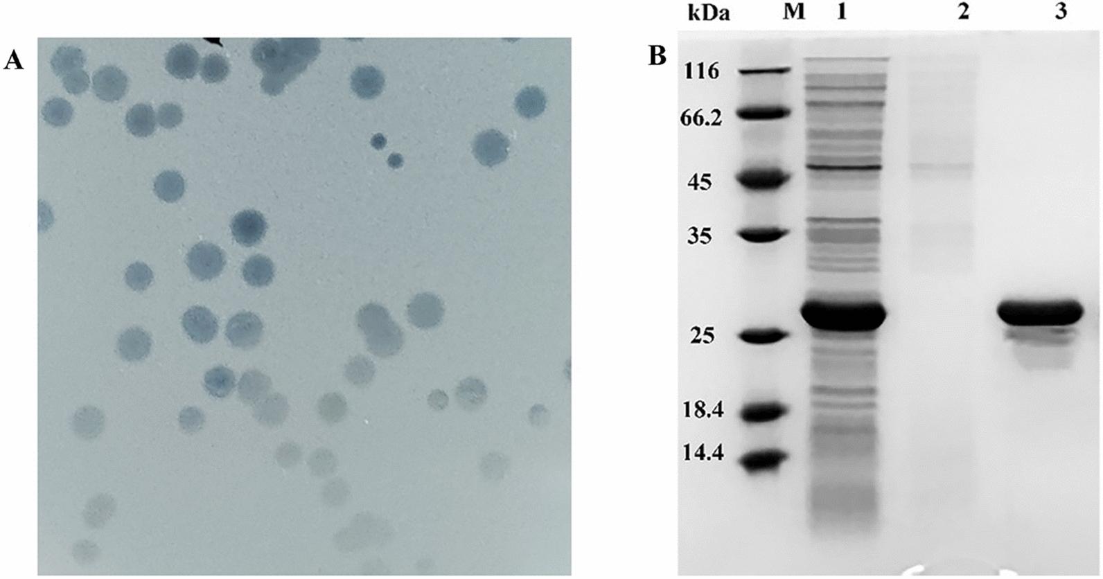
In this study, a new endolysin from the Salmonella phage XFII-1, named XFII, was screened and obtained. The endolysin yield exceeded 100 mg/mL by heterologous expression from E. coli BL21 and short induction. The endolysin XFII exhibited high bactericidal activity at a concentration of 0.5 μg/mL and reduced the OD nm of EDTA-pretreated E. coli JM109 from 0.8 to 0.2 within 5 min. XFII exhibited good thermo-resistance, as it was very stable at different temperatures from 20 to 80℃. Its bactericidal activity could keep constant at 4 °C for 175 days. In addition, the endolysin was able to exert lytic activity in eutrophic conditions, including LB medium and rabbit serum, and the lytic activity was even increased by 13.8% in 10% serum matrices. XFII also showed bactericidal activity against many Gram-negative bacteria, including Salmonella, E. coli, Acinetobacter baumannii, and Klebsiella pneumoniae. Surprisingly, the combination of endolysin XFII and chitosan showed a strong synergy in lysing E. coli and Salmonella without EDTA-pretreatment, and the OD nm of E. coli decreased from 0.88 to 0.58 within 10 min.

CONCLUSIONS

The novel globular endolysin XFII was screened and successfully expressed in E. coli BL21. Endolysin XFII exhibits a broad lysis spectrum, a rapid and strong bactericidal activity, good stability at high temperatures and under eutrophic conditions. Combined with chitosan, XFII could spontaneously lyse Gram-negative bacteria without pretreatment. This work presented the first characterization of combining endolysin and chitosan in spontaneously lysing Gram-negative bacteria in vitro.

摘要

背景

沙门氏菌是一种常见的食源性病原体,可引起肠道疾病。在过去的几十年中,抗生素的过度使用导致了抗药性细菌感染的流行。为了应对抗微生物药物耐药性病原体的负担,有必要开发具有新型作用模式的新的抗微生物药物。然而,抗生素的研究和开发遇到了瓶颈,在开发过程中存在科学障碍,以及安全性和成本方面的挑战。噬菌体和噬菌体溶菌素是有前途的抗菌剂,可以替代抗生素。在这种情况下,通过微生物细胞作为底盘表达来自不同噬菌体的溶菌素似乎是一种有吸引力的策略。

结果

在这项研究中,筛选并获得了一种来自沙门氏菌噬菌体 XFII-1 的新型溶菌素,命名为 XFII。通过大肠杆菌 BL21 的异源表达和短时间诱导,溶菌素的产量超过了 100mg/mL。溶菌素 XFII 在 0.5μg/mL 的浓度下表现出很高的杀菌活性,并且在 5 分钟内将 EDTA 预处理的大肠杆菌 JM109 的 OD nm 值从 0.8 降低到 0.2。XFII 表现出良好的耐热性,因为它在 20 至 80°C 的不同温度下非常稳定。它的杀菌活性在 4°C 下可以保持 175 天不变。此外,该溶菌素能够在富营养条件下发挥溶菌活性,包括 LB 培养基和兔血清,并且在 10%血清基质中溶菌活性甚至增加了 13.8%。XFII 还对许多革兰氏阴性菌表现出杀菌活性,包括沙门氏菌、大肠杆菌、鲍曼不动杆菌和肺炎克雷伯菌。令人惊讶的是,溶菌素 XFII 与壳聚糖的组合在没有 EDTA 预处理的情况下对大肠杆菌和沙门氏菌具有很强的协同作用,大肠杆菌的 OD nm 值在 10 分钟内从 0.88 降低到 0.58。

结论

筛选并成功在大肠杆菌 BL21 中表达了新型球形溶菌素 XFII。溶菌素 XFII 表现出广谱的溶菌谱、快速而强大的杀菌活性、高温和富营养条件下的良好稳定性。与壳聚糖结合后,XFII 无需预处理即可自发裂解革兰氏阴性菌。这项工作首次描述了溶菌素和壳聚糖在体外自发裂解革兰氏阴性菌方面的结合。

https://cdn.ncbi.nlm.nih.gov/pmc/blobs/e7be/9396760/2f2cd4a0864f/12934_2022_1894_Fig1_HTML.jpg

文献AI研究员

20分钟写一篇综述,助力文献阅读效率提升50倍。

立即体验

用中文搜PubMed

大模型驱动的PubMed中文搜索引擎

马上搜索

文档翻译

学术文献翻译模型,支持多种主流文档格式。

立即体验