Suppr超能文献

来自哥伦比亚的 种内毒液差异。

Intraspecific Differences in the Venom of from Colombia.

机构信息

Grupo de Investigación en Proteínas, Universidad Nacional de Colombia, Bogotá 11001, Colombia.

Departamento de Medicina Molecular y Bioprocesos, Instituto de Biotecnología, Universidad Nacional Autónoma de México, Cuernavaca 62210, Mexico.

出版信息

Toxins (Basel). 2022 Aug 2;14(8):532. doi: 10.3390/toxins14080532.

Abstract

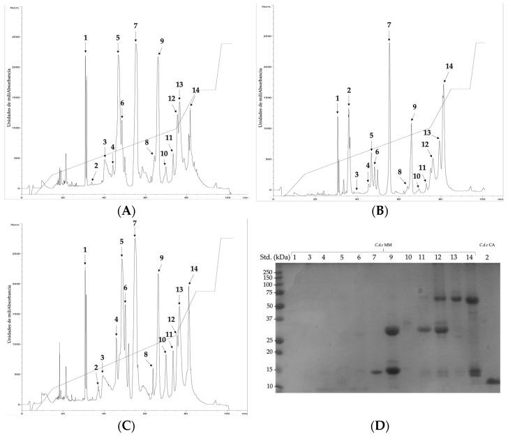
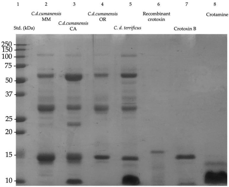
Biochemical and biological differences in the venom of from three ecoregions of Colombia were evaluated. Rattlesnakes were collected from the geographic areas of Magdalena Medio (MM), Caribe (CA) and Orinoquía (OR). All three regionally distributed venoms contain proteases, PLAs and the basic subunit of crotoxin. However, only crotamine was detected in the CA venom. The highest lethality, coagulant, phospholipase A and hyaluronidase activities were found in the MM venom. Also, some differences, observed by western blot and immunoaffinity, were found in all three venoms when using commercial antivenoms. Furthermore, all three eco-regional venoms showed intraspecific variability, considering the differences in the abundance and intensity of their components, in addition to the activity and response to commercial antivenoms.

摘要

评估了来自哥伦比亚三个生态区的 venom 的生化和生物学差异。响尾蛇从 Magdalena Medio(MM)、加勒比海(CA)和 Orinoquía(OR)的地理区域收集。所有这三个区域分布的毒液都含有蛋白酶、PLAs 和 crotoxin 的碱性亚基。然而,仅在 CA 毒液中检测到了 crotamine。MM 毒液具有最高的致死性、凝血酶、磷脂酶 A 和透明质酸酶活性。此外,当使用商业抗蛇毒血清时,在所有三种毒液中都通过 western blot 和免疫亲和发现了一些差异。此外,所有三个生态区的毒液都表现出种内变异性,考虑到其成分的丰度和强度、活性以及对商业抗蛇毒血清的反应存在差异。

https://cdn.ncbi.nlm.nih.gov/pmc/blobs/cd74/9416679/5c7c67a99be0/toxins-14-00532-g001.jpg

文献AI研究员

20分钟写一篇综述,助力文献阅读效率提升50倍。

立即体验

用中文搜PubMed

大模型驱动的PubMed中文搜索引擎

马上搜索

文档翻译

学术文献翻译模型,支持多种主流文档格式。

立即体验