Suppr超能文献

与 Moderna COVID-19 疫苗相关的急性头晕和精神改变:一例报告。

Acute dizziness and mental alteration associated with Moderna COVID-19 vaccine: a case report.

机构信息

Duta Wacana Christian University School of Medicine, Yogyakarta, Indonesia.

Bethesda Lempuyangwangi Hospital, Yogyakarta, Indonesia.

出版信息

BMC Neurol. 2022 Aug 26;22(1):322. doi: 10.1186/s12883-022-02834-8.

Abstract

BACKGROUND

Due to a rising number of COVID-19 cases, the Indonesian government implemented public health programs to lower the rate. Since January 2021, one of the government's primary policies has been the COVID-19 immunization program. Recently, the Moderna messenger ribonucleic acid (mRNA) vaccine is one of the COVID-19 vaccines used in Indonesia. Based on some research, Moderna has possible side effects throughout the body, including neurological symptoms.

CASE PRESENTATION

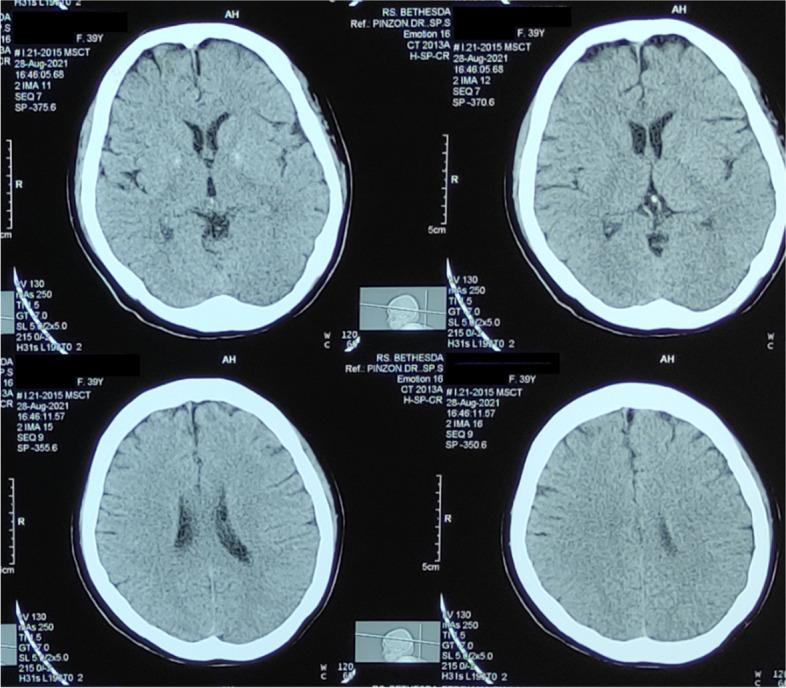
We describe a 39-year-old female with uncontrolled hypertension who showed behavioral change, communication difficulty, social withdrawal, and a confused state within 7 days from getting her first dose of the Moderna vaccine. The patient had a history of febrile convulsion in childhood. An increase of neutrophil-to-lymphocyte ratio (16.9) and C-reactive protein level (31.75 mg/L) indicates ongoing inflammation. Head CT scan shows no abnormalities. She received ceftriaxone, citicoline, and methylprednisolone. The patient was discharged on the seventh day and completely recovered 1 week later. This study is the first case report of encephalopathy following the administration of the Moderna COVID-19 vaccine reported in Indonesia up to our knowledge.

CONCLUSION

Encephalopathy related to the Moderna COVID-19 vaccine should be acknowledged as an adverse effect of the Moderna COVID-19 vaccine.

摘要

背景

由于 COVID-19 病例不断增加,印度尼西亚政府实施了公共卫生计划以降低感染率。自 2021 年 1 月以来,政府的主要政策之一是 COVID-19 免疫计划。最近,Moderna 信使核糖核酸(mRNA)疫苗是印度尼西亚使用的 COVID-19 疫苗之一。根据一些研究,Moderna 在全身可能有副作用,包括神经症状。

病例介绍

我们描述了一名 39 岁的女性,患有未控制的高血压,在接种 Moderna 疫苗第一剂后 7 天内出现行为改变、沟通困难、社交退缩和意识混乱。患者在儿童时期有热性惊厥病史。中性粒细胞与淋巴细胞比值(16.9)和 C 反应蛋白水平(31.75mg/L)升高表明存在持续炎症。头部 CT 扫描未见异常。她接受了头孢曲松、胞磷胆碱和甲基强的松龙治疗。患者在第 7 天出院,1 周后完全康复。据我们所知,这是印度尼西亚首例报告接种 Moderna COVID-19 疫苗后发生脑病的病例。

结论

应将与 Moderna COVID-19 疫苗相关的脑病视为 Moderna COVID-19 疫苗的不良反应。

https://cdn.ncbi.nlm.nih.gov/pmc/blobs/9b92/9414126/c66346feb471/12883_2022_2834_Fig1_HTML.jpg

文献AI研究员

20分钟写一篇综述,助力文献阅读效率提升50倍。

立即体验

用中文搜PubMed

大模型驱动的PubMed中文搜索引擎

马上搜索

文档翻译

学术文献翻译模型,支持多种主流文档格式。

立即体验