Suppr超能文献

迈向牛结核病反向疫苗学:全长重组蛋白的高通量表达

Towards Reverse Vaccinology for Bovine TB: High Throughput Expression of Full Length Recombinant Proteins.

作者信息

Paliwal Deepa, Thom Michelle, Hussein Areej, Ravishankar Divyashree, Wilkes Alex, Charleston Bryan, Jones Ian M

机构信息

School of Biological Sciences, University of Reading, Reading, United Kingdom.

The Pirbright Institute, Woking, United Kingdom.

出版信息

Front Mol Biosci. 2022 Aug 11;9:889667. doi: 10.3389/fmolb.2022.889667. eCollection 2022.

Abstract

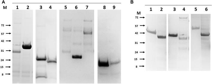
Bovine tuberculosis caused by , is a significant global pathogen causing economic loss in livestock and zoonotic TB in man. Several vaccine approaches are in development including reverse vaccinology which uses an unbiased approach to select open reading frames (ORF) of potential vaccine candidates, produce them as recombinant proteins and assesses their immunogenicity by direct immunization. To provide feasibility data for this approach we have cloned and expressed 123 ORFs from the genome, using a mixture of and insect cell expression. We used a concatenated open reading frames design to reduce the number of clones required and single chain fusion proteins for protein pairs known to interact, such as the members of the PPE-PE family. Over 60% of clones showed soluble expression in one or the other host and most allowed rapid purification of the tagged bTB protein from the host cell background. The catalogue of recombinant proteins represents a resource that may be suitable for test immunisations in the development of an effective bTB vaccine.

摘要

由牛分枝杆菌引起的牛结核病是一种重要的全球病原体,会给家畜造成经济损失,并导致人类感染人畜共患结核病。目前正在研发多种疫苗方法,包括反向疫苗学,该方法采用无偏见的方法来选择潜在疫苗候选物的开放阅读框(ORF),将其作为重组蛋白生产出来,并通过直接免疫评估其免疫原性。为了提供这种方法的可行性数据,我们使用大肠杆菌和昆虫细胞表达的混合物,从牛分枝杆菌基因组中克隆并表达了123个ORF。我们采用串联开放阅读框设计来减少所需克隆的数量,并对已知相互作用的蛋白对使用单链融合蛋白,例如PPE-PE家族的成员。超过60%的克隆在一种或另一种宿主中表现出可溶性表达,并且大多数能够从宿主细胞背景中快速纯化出带标签的牛结核病蛋白。重组蛋白目录代表了一种资源,可能适用于有效牛结核病疫苗开发中的测试免疫。

https://cdn.ncbi.nlm.nih.gov/pmc/blobs/e4e5/9402895/3a1d01221a34/fmolb-09-889667-g001.jpg

文献AI研究员

20分钟写一篇综述,助力文献阅读效率提升50倍。

立即体验

用中文搜PubMed

大模型驱动的PubMed中文搜索引擎

马上搜索

文档翻译

学术文献翻译模型,支持多种主流文档格式。

立即体验