Suppr超能文献

基于壶腹周围癌病理分类的5-氟尿嘧啶化疗至吉西他滨化疗的缓解:一例报告及文献综述

Remission from the 5-Fu-Based Chemotherapy to Gemcitabine-Based Chemotherapy-Based on the Pathological Classification of Periampullary Carcinoma: A Case Report and Literature Review.

作者信息

Hu Wei, Duan Zhiqing, Zhang Yinuo, Liu Jing, Bao Jing, Gao Ruqing, Tang Yajie, Liu Tiande, Xiong Hu, Li Wen, Fu Xiaowei, Liao Shousheng, Fang Lu, Liang Bo

机构信息

Department of General Surgery, The Second Affiliated Hospital of Nanchang University, Nanchang, Jiangxi, 330006, People's Republic of China.

Department of Pathology, The Second Affiliated Hospital of Nanchang University, Nanchang, Jiangxi, 330006, People's Republic of China.

出版信息

Onco Targets Ther. 2022 Aug 25;15:891-896. doi: 10.2147/OTT.S372053. eCollection 2022.

Abstract

BACKGROUND

Periampullary carcinoma, which includes ampullary carcinoma, pancreatic head cancer, distal common bile duct cancer, and duodenal papillary cancer, is a relatively rare malignancy with uncertain therapeutic options. Although several studies have investigated the efficacy of multiple adjuvant chemotherapy regimens for periampullary carcinoma treatment, the optimal regimen remains to be determined. The inherent heterogeneity of the mucosal origin divides periampullary carcinoma into intestinal and pancreaticobiliary types. Therefore, the selection of chemotherapy regimens based on pathological type may have potential therapeutic significance.

CASE PRESENTATION

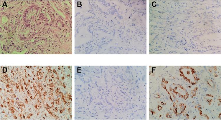
A 72-year-old woman with moderately differentiated periampullary adenocarcinoma experienced disease progression after receiving FOLFOX regimen. Subsequently, the sample was subtyped first by H&E evaluation and then by the evaluation of an IHC panel composed of CK20, CDX2, MUC1, MUC2, and MUC5AC. The pathologists concluded that the patient's sample was of the pancreaticobiliary (PB) subtype. The subsequent change to gemcitabine plus S-1 adjuvant therapy achieved remission of liver metastases based on the pathological classification of the cancer.

CONCLUSION

Based on the pathological classification, adjuvant chemotherapy with gemcitabine may be beneficial for patients with PB subtype periampullary carcinoma. 5-Fu-based adjuvant chemotherapy may be beneficial for patients with intestinal subtype periampullary carcinoma.

摘要

背景

壶腹周围癌包括壶腹癌、胰头癌、远端胆总管癌和十二指肠乳头癌,是一种相对罕见的恶性肿瘤,治疗选择尚不明确。尽管多项研究探讨了多种辅助化疗方案治疗壶腹周围癌的疗效,但最佳方案仍有待确定。黏膜起源的固有异质性将壶腹周围癌分为肠型和胰胆管型。因此,根据病理类型选择化疗方案可能具有潜在的治疗意义。

病例报告

一名72岁的中度分化壶腹周围腺癌女性患者在接受FOLFOX方案治疗后病情进展。随后,先通过苏木精-伊红(H&E)评估对样本进行亚型分类,然后通过由细胞角蛋白20(CK20)、尾型同源盒转录因子2(CDX2)、黏蛋白1(MUC1)、黏蛋白2(MUC2)和黏蛋白5AC(MUC5AC)组成的免疫组化(IHC)检测板进行评估。病理学家得出结论,该患者的样本为胰胆管(PB)亚型。基于癌症的病理分类,随后改用吉西他滨加S-1辅助治疗使肝转移灶缓解。

结论

基于病理分类,吉西他滨辅助化疗可能对PB亚型壶腹周围癌患者有益。基于5-氟尿嘧啶(5-Fu)的辅助化疗可能对肠型壶腹周围癌患者有益。

https://cdn.ncbi.nlm.nih.gov/pmc/blobs/a33e/9423042/8c38ebfee66a/OTT-15-891-g0001.jpg

文献AI研究员

20分钟写一篇综述,助力文献阅读效率提升50倍。

立即体验

用中文搜PubMed

大模型驱动的PubMed中文搜索引擎

马上搜索

文档翻译

学术文献翻译模型,支持多种主流文档格式。

立即体验