Suppr超能文献

鼻窦内窥镜手术中蝶窦及周围结构的危险解剖变异。

Risky anatomical variations of sphenoid sinus and surrounding structures in endoscopic sinus surgery.

机构信息

Department of Otorhinolaryngology, University of Turin, San Luigi Gonzaga Hospital, Regione Gonzole 10, Orbassano, 10043, Turin, Italy.

National Institute for Health, Migration and Poverty (INMP), Rome, Italy.

出版信息

Head Face Med. 2022 Sep 3;18(1):29. doi: 10.1186/s13005-022-00336-z.

Abstract

PURPOSE

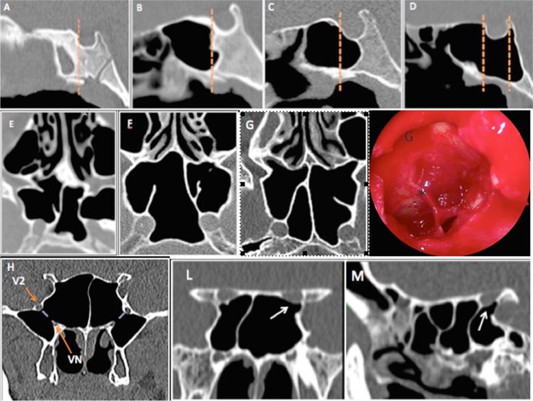
This study aimed to examine the relationship between the sphenoid sinus (SS) and surrounding vital structures such as the internal carotid artery (ICA) and optic nerve canal (ONC) as well as the types of attachment of the sphenoidal septa onto these structures.

METHODS

In total, 230 computed tomography (CT) scans were reviewed to study the type of sphenoid sinus pneumatization (SSP), the protrusion and dehiscence of the ICA and ONC, the relationship between the sphenoidal septa and surrounding vital structures as well as pterygoid recess pneumatization (PRP).

RESULTS

The most common SSP was sellar type (58.7%). The rates of protrusion and dehiscence of the ICA were 26.3 and 0.4%, and for the ONC, they were 13 and 1.5%, respectively. The ICA and ONC were most protruded and dehiscent in more extensive SSP. In 21.6% of patients, the intersphenoidal septa (IS) were attached to the wall of the ICA and in 8.6% they were attached to the wall of the ONC. The attachment of IS to the ICA correlated statistically significantly (p < 0.0001) with protrusion of the ICA. Accessory septa were detected in 30.4% of cases with various sites of attachment.

CONCLUSION

To reduce the risk of injury and complications during endoscopic sinus surgery (ESS), surgeons should consider using CT to identify possible bulging and dehiscence of the ICA/ONC and their relationship to the extent of SSP and also to establish the presence of deviation of the sphenoid septum, and the presence of accessory septa.

摘要

目的

本研究旨在探讨蝶窦(SS)与周围重要结构(如颈内动脉(ICA)和视神经管(ONC))以及蝶窦间隔附着于这些结构的类型之间的关系。

方法

共回顾 230 例 CT 扫描,以研究蝶窦气化类型(SSP)、ICA 和 ONC 的突出和裂开、蝶窦间隔与周围重要结构的关系以及翼突隐窝气化(PRP)。

结果

最常见的 SSP 是鞍型(58.7%)。ICA 突出和裂开的发生率分别为 26.3%和 0.4%,而 ONC 则分别为 13%和 1.5%。ICA 和 ONC 在更广泛的 SSP 中突出和裂开的情况最多。在 21.6%的患者中,蝶骨间隔(IS)附着于 ICA 壁,8.6%的患者附着于 ONC 壁。IS 与 ICA 的附着与 ICA 的突出有统计学显著相关性(p<0.0001)。在 30.4%的病例中发现了辅助间隔,其附着部位不同。

结论

为了降低内镜鼻窦手术(ESS)过程中损伤和并发症的风险,外科医生应考虑使用 CT 来识别 ICA/ONC 可能的膨出和裂开及其与 SSP 程度的关系,以及蝶窦隔偏曲和辅助间隔的存在。

https://cdn.ncbi.nlm.nih.gov/pmc/blobs/3522/9440488/f6bb6abb8831/13005_2022_336_Fig1_HTML.jpg

文献AI研究员

20分钟写一篇综述,助力文献阅读效率提升50倍。

立即体验

用中文搜PubMed

大模型驱动的PubMed中文搜索引擎

马上搜索

文档翻译

学术文献翻译模型,支持多种主流文档格式。

立即体验