Suppr超能文献

高程度的相似性在组织病理学和临床特征之间放射性和散发的年轻患者甲状腺微小乳头状癌。

The high degree of similarity in histopathological and clinical characteristics between radiogenic and sporadic papillary thyroid microcarcinomas in young patients.

机构信息

Laboratory of Morphology of Endocrine System, State Institution "VP Komisarenko Institute of Endocrinology and Metabolism of the National Academy of Medical Sciences of Ukraine", Kyiv, Ukraine.

Department of Radiation Molecular Epidemiology, Atomic Bomb Disease Institute, Nagasaki University, Nagasaki, Japan.

出版信息

Front Endocrinol (Lausanne). 2022 Aug 19;13:970682. doi: 10.3389/fendo.2022.970682. eCollection 2022.

Abstract

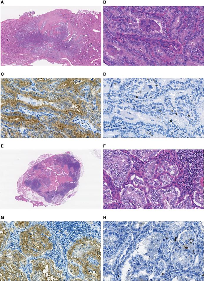
The potential overtreatment of patients with papillary thyroid microcarcinoma (MPTC) has been an important clinical problem in endocrine oncology over the past decade. At the same time, current clinical guidelines tend to consider prior radiation exposure as a contraindication to less extensive surgery, even for low-risk thyroid carcinomas, which primarily include microcarcinomas. This study aims to determine whether there are differences in the behavior of MPTC of two etiological forms (radiogenic and sporadic), including invasive properties, clinical data, and recurrence in patients aged up to 30 years. For this purpose, 136 radiogenic (from patients aged up to 18 years at the time of the Chornobyl accident) and 83 sporadic (from patients born after the Chornobyl accident) MPTCs were selected and compared using univariate and multivariate statistical methods in a whole group and in age and tumor size subgroups. No evidence of more aggressive clinical and histopathological behavior of radiogenic MPTCs as compared to sporadic tumors for basic structural, invasive characteristics, treatment options, and postoperative follow-up results was found. Moreover, radiogenic MPTCs were characterized by the lower frequencies of oncocytic changes (OR = 0.392, p = 0.004), nodal disease (OR = 0.509, p = 0.050), and more frequent complete remission (excellent response) after radioiodine therapy (OR = 9.174, p = 0.008). These results strongly suggest that internal irradiation does not affect tumor phenotype, does not associate with more pronounced invasive properties, and does not worsen prognosis in pediatric or young adult patients with MPTC, implying that radiation history may be not a pivotal factor for determining treatment strategy in such patients.

摘要

过去十年,甲状腺微小乳头状癌(MPTC)过度治疗一直是内分泌肿瘤学的一个重要临床问题。与此同时,当前的临床指南往往将既往辐射暴露视为更广泛手术的禁忌症,即使对于低危甲状腺癌(主要包括微癌)也是如此。本研究旨在确定两种病因形式(放射性和散发性)的 MPTC 的行为是否存在差异,包括侵袭性、临床数据和 30 岁以下患者的复发情况。为此,选择了 136 例放射性(切尔诺贝利事故发生时年龄在 18 岁以下的患者)和 83 例散发性(切尔诺贝利事故后出生的患者)MPTC,使用单变量和多变量统计方法在全组和年龄及肿瘤大小亚组中进行比较。未发现放射性 MPTC 与散发性肿瘤相比具有更具侵袭性的临床和组织病理学行为,无论是在基本结构、侵袭特征、治疗选择还是术后随访结果方面。此外,放射性 MPTC 的嗜酸细胞变化频率较低(OR = 0.392,p = 0.004)、淋巴结疾病频率较低(OR = 0.509,p = 0.050)和放射性碘治疗后完全缓解(优秀反应)频率较高(OR = 9.174,p = 0.008)。这些结果强烈表明,内部照射不会影响肿瘤表型,不会与更明显的侵袭性特征相关,也不会在儿童或年轻成年 MPTC 患者的预后恶化,这意味着辐射史可能不是决定此类患者治疗策略的关键因素。

https://cdn.ncbi.nlm.nih.gov/pmc/blobs/fb72/9437286/d530813b861d/fendo-13-970682-g001.jpg

文献AI研究员

20分钟写一篇综述,助力文献阅读效率提升50倍。

立即体验

用中文搜PubMed

大模型驱动的PubMed中文搜索引擎

马上搜索

文档翻译

学术文献翻译模型,支持多种主流文档格式。

立即体验