Suppr超能文献

新生儿抗生素对肠道神经系统具有长期的性别依赖性影响。

Neonatal antibiotics have long term sex-dependent effects on the enteric nervous system.

机构信息

Department of Anatomy and Physiology, The University of Melbourne, Parkville, Victoria, Australia.

Department of Pathology & Immunology, Baylor College of Medicine, Houston, TX, USA.

出版信息

J Physiol. 2022 Oct;600(19):4303-4323. doi: 10.1113/JP282939. Epub 2022 Sep 9.

Abstract

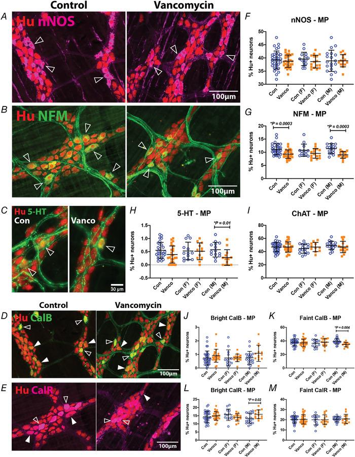
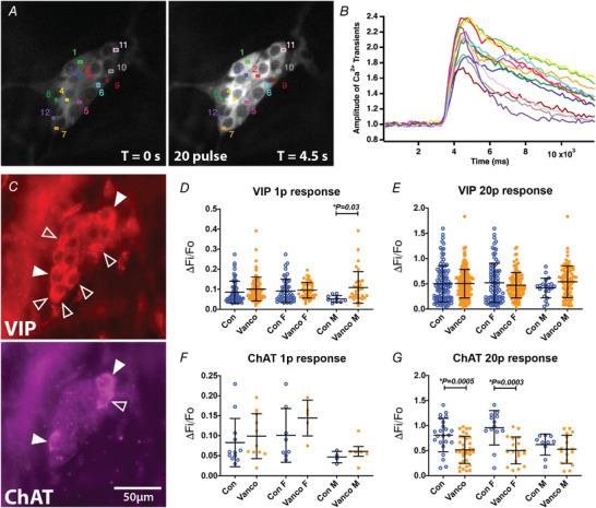
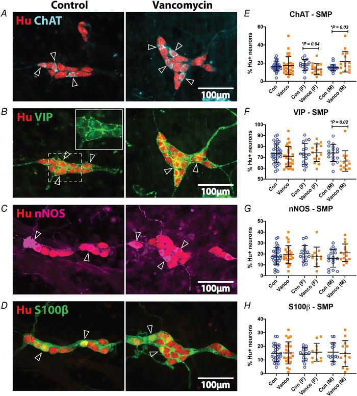
Infants and young children receive the highest exposures to antibiotics globally. Although there is building evidence that early life exposure to antibiotics increases susceptibility to various diseases including gut disorders later in life, the lasting impact of early life antibiotics on the physiology of the gut and its enteric nervous system (ENS) remains unclear. We treated neonatal mice with the antibiotic vancomycin during their first 10 postnatal days, then examined potential lasting effects of the antibiotic treatment on their colons during young adulthood (6 weeks old). We found that neonatal vancomycin treatment disrupted the gut functions of young adult female and male mice differently. Antibiotic-exposed females had significantly longer whole gut transit while antibiotic-treated males had significantly lower faecal weights compared to controls. Both male and female antibiotic-treated mice had greater percentages of faecal water content. Neonatal vancomycin treatment also had sexually dimorphic impacts on the neurochemistry and Ca activity of young adult myenteric and submucosal neurons. Myenteric neurons of male mice were more disrupted than those of females, while opposing changes in submucosal neurons were seen in each sex. Neonatal vancomycin also induced sustained changes in colonic microbiota and lasting depletion of mucosal serotonin (5-HT) levels. Antibiotic impacts on microbiota and mucosal 5-HT were not sex-dependent, but we propose that the responses of the host to these changes are sex-specific. This first demonstration of long-term impacts of neonatal antibiotics on the ENS, gut microbiota and mucosal 5-HT has important implications for gut function and other physiological systems of the host. KEY POINTS: Early life exposure to antibiotics can increase susceptibility to diseases including functional gastrointestinal (GI) disorders later in life. Yet, the lasting impact of this common therapy on the gut and its enteric nervous system (ENS) remains unclear. We investigated the long-term impact of neonatal antibiotic treatment by treating mice with the antibiotic vancomycin during their neonatal period, then examining their colons during young adulthood. Adolescent female mice given neonatal vancomycin treatment had significantly longer whole gut transit times, while adolescent male and female mice treated with neonatal antibiotics had significantly wetter stools. Effects of neonatal vancomycin treatment on the neurochemistry and Ca activity of myenteric and submucosal neurons were sexually dimorphic. Neonatal vancomycin also had lasting effects on the colonic microbiome and mucosal serotonin biosynthesis that were not sex-dependent. Different male and female responses to antibiotic-induced disruptions of the ENS, microbiota and mucosal serotonin biosynthesis can lead to sex-specific impacts on gut function.

摘要

婴儿和幼儿在全球范围内接受抗生素的暴露最高。尽管越来越多的证据表明,生命早期接触抗生素会增加日后患各种疾病的易感性,包括肠道疾病,但早期生活中抗生素对肠道及其肠神经系统(ENS)的生理影响仍不清楚。我们在新生小鼠出生后的前 10 天内用抗生素万古霉素治疗,然后在年轻成年期(6 周龄)检查抗生素治疗对其结肠的潜在持久影响。我们发现,新生期万古霉素处理以不同的方式扰乱了年轻成年雌性和雄性小鼠的肠道功能。与对照组相比,抗生素暴露的雌性小鼠的全肠道转运时间明显更长,而抗生素处理的雄性小鼠的粪便重量明显更低。抗生素处理的雄性和雌性小鼠的粪便含水量百分比均更高。新生期万古霉素处理对年轻成年肌间和黏膜下神经元的神经化学和 Ca 活性也具有性别二态的影响。雄性小鼠的肌间神经元比雌性更受干扰,而在每种性别中都观察到黏膜下神经元的相反变化。新生期万古霉素还诱导结肠微生物群的持续变化和黏膜 5-HT 水平的持续耗竭。抗生素对微生物群和黏膜 5-HT 的影响与性别无关,但我们提出宿主对这些变化的反应是特定于性别的。这是首次证明新生儿抗生素对 ENS、肠道微生物群和黏膜 5-HT 的长期影响,对宿主的肠道功能和其他生理系统具有重要意义。关键点:生命早期接触抗生素会增加日后患功能性胃肠道(GI)疾病等疾病的易感性。然而,这种常见治疗方法对肠道及其肠神经系统(ENS)的持久影响仍不清楚。我们通过在新生期用抗生素万古霉素治疗小鼠,然后在年轻成年期检查其结肠,来研究新生儿抗生素治疗的长期影响。接受新生期万古霉素治疗的青春期雌性小鼠的全肠道转运时间明显更长,而接受新生期抗生素治疗的青春期雄性和雌性小鼠的粪便更湿。新生期万古霉素处理对肌间和黏膜下神经元的神经化学和 Ca 活性的影响具有性别二态性。新生期万古霉素治疗还对结肠微生物群和黏膜 5-HT 生物合成产生持久影响,而与性别无关。抗生素引起的 ENS、微生物群和黏膜 5-HT 生物合成的破坏,导致雄性和雌性的不同反应,从而导致肠道功能的性别特异性影响。

https://cdn.ncbi.nlm.nih.gov/pmc/blobs/0c6b/9826436/538081aaba97/TJP-600-4303-g007.jpg

文献AI研究员

20分钟写一篇综述,助力文献阅读效率提升50倍。

立即体验

用中文搜PubMed

大模型驱动的PubMed中文搜索引擎

马上搜索

文档翻译

学术文献翻译模型,支持多种主流文档格式。

立即体验