Suppr超能文献

中性粒细胞介导的黏菌素与阿奇霉素联合给药用于治疗细菌感染

Neutrophil-mediated delivery of the combination of colistin and azithromycin for the treatment of bacterial infection.

作者信息

Gao Jiacong, Hu Xueyan, Xu Congjuan, Guo Mingming, Li Shouyi, Yang Fan, Pan Xiaolei, Zhou Fangyu, Jin Yongxin, Bai Fang, Cheng Zhihui, Wu Zhenzhou, Chen Shuiping, Huang Xinglu, Wu Weihui

机构信息

State Key Laboratory of Medicinal Chemical Biology, Key Laboratory of Molecular Microbiology and Technology of the Ministry of Education, Department of Microbiology, College of Life Sciences, Nankai University, Tianjin 300071, China.

Key Laboratory of Bioactive Materials for the Ministry of Education, College of Life Sciences, State Key Laboratory of Medicinal Chemical Biology, Nankai University, Tianjin 300071, China.

出版信息

iScience. 2022 Aug 30;25(9):105035. doi: 10.1016/j.isci.2022.105035. eCollection 2022 Sep 16.

Abstract

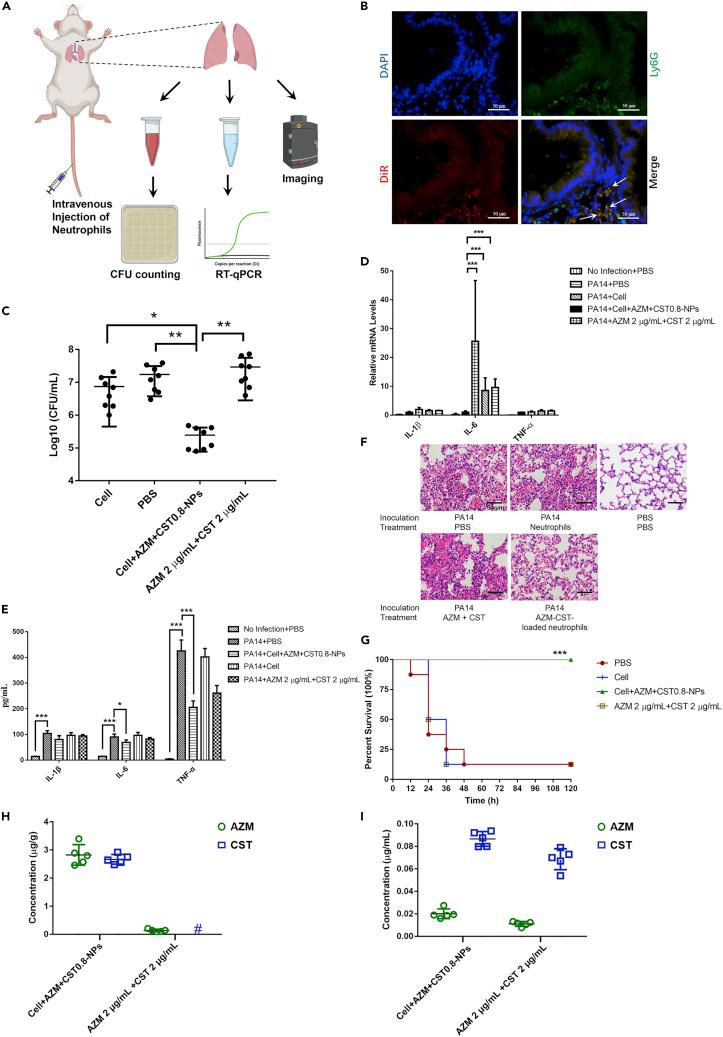
Novel treatment strategies are in urgent need to deal with the rapid development of antibiotic-resistant superbugs. Combination therapies and targeted drug delivery have been exploited to promote treatment efficacies. In this study, we loaded neutrophils with azithromycin and colistin to combine the advantages of antibiotic combinations, targeted delivery, and immunomodulatory effect of azithromycin to treat infections caused by Gram-negative pathogens. Delivery of colistin into neutrophils was mediated by fusogenic liposome, while azithromycin was directly taken up by neutrophils. Neutrophils loaded with the drugs maintained the abilitity to generate reactive oxygen species and migrate. assays demonstrated enhanced bactericidal activity against multidrug-resistant pathogens and reduced inflammatory cytokine production by the drug-loaded neutrophils. A single intravenous administration of the drug-loaded neutrophils effectively protected mice from infection in an acute pneumonia model. This study provides a potential effective therapeutic approach for the treatment of bacterial infections.

摘要

迫切需要新的治疗策略来应对耐药性超级细菌的迅速发展。联合疗法和靶向药物递送已被用于提高治疗效果。在本研究中,我们将阿奇霉素和黏菌素载入中性粒细胞,以结合抗生素联合使用、靶向递送以及阿奇霉素的免疫调节作用等优势,来治疗由革兰氏阴性病原体引起的感染。黏菌素通过融合脂质体介导进入中性粒细胞,而阿奇霉素则直接被中性粒细胞摄取。载有药物的中性粒细胞保持了产生活性氧和迁移的能力。实验证明,载药中性粒细胞对多重耐药病原体具有增强的杀菌活性,并减少了炎性细胞因子的产生。在急性肺炎模型中,单次静脉注射载药中性粒细胞能有效保护小鼠免受感染。本研究为细菌感染的治疗提供了一种潜在的有效治疗方法。

https://cdn.ncbi.nlm.nih.gov/pmc/blobs/874d/9474925/3b96bcf45ed7/fx1.jpg

文献AI研究员

20分钟写一篇综述,助力文献阅读效率提升50倍。

立即体验

用中文搜PubMed

大模型驱动的PubMed中文搜索引擎

马上搜索

文档翻译

学术文献翻译模型,支持多种主流文档格式。

立即体验