Suppr超能文献

比较肿瘤学:人类和犬类肝脏肿瘤的管理

Comparative Oncology: Management of Hepatic Neoplasia in Humans and Dogs.

作者信息

Gibson Erin A, Goldman Roger E, Culp William T N

机构信息

Department of Surgical and Radiological Sciences, School of Veterinary Medicine, University of California-Davis, Davis, CA 95616, USA.

Department of Radiology, University of California-Davis Medical Center, Sacramento, CA 95817, USA.

出版信息

Vet Sci. 2022 Sep 8;9(9):489. doi: 10.3390/vetsci9090489.

Abstract

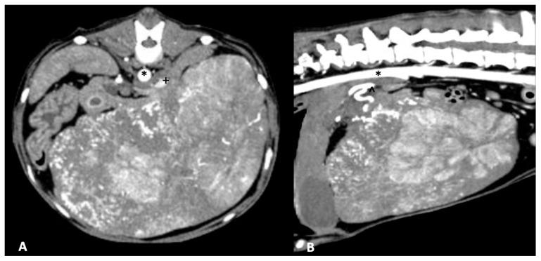
Primary hepatic neoplasia is uncommonly reported in dogs. Hepatocellular carcinoma (HCC) is the most frequent neoplasia identified in dogs and considerable effort has been committed towards identifying definitive and palliative treatment options. HCC is well recognized in humans as a sequelae of liver disease such as hepatitis or cirrhosis, while in dogs a similar link has failed to be fully elucidated. Management of HCC in people may be curative or palliative dependent on staging and transplant eligibility. Despite differences in etiology, there is substantial similarity between treatment options for liver neoplasia in human and veterinary medicine. The below summary provides a comparative discussion regarding hepatic neoplasia in dogs and people with a specific focus on HCC. Diagnosis as well as descriptions of the myriad treatment options will be reviewed.

摘要

原发性肝肿瘤在犬类中报道较少。肝细胞癌(HCC)是犬类中最常见的肿瘤,人们已付出相当大的努力来确定确定性和姑息性治疗方案。HCC在人类中被公认为是肝炎或肝硬化等肝脏疾病的后遗症,而在犬类中,类似的联系尚未完全阐明。人类HCC的治疗可能是治愈性的或姑息性的,这取决于分期和移植资格。尽管病因不同,但人类和兽医学中肝脏肿瘤的治疗选择有很大的相似性。以下总结对犬类和人类的肝肿瘤进行了比较讨论,特别关注HCC。将对诊断以及众多治疗选择进行综述。

https://cdn.ncbi.nlm.nih.gov/pmc/blobs/99fa/9505178/3fcb34e3d466/vetsci-09-00489-g001.jpg

文献AI研究员

20分钟写一篇综述,助力文献阅读效率提升50倍。

立即体验

用中文搜PubMed

大模型驱动的PubMed中文搜索引擎

马上搜索

文档翻译

学术文献翻译模型,支持多种主流文档格式。

立即体验