Suppr超能文献

深入胎盘:人类胎盘中的微塑料存在于细胞内隔室中。

Deeply in Plasticenta: Presence of Microplastics in the Intracellular Compartment of Human Placentas.

机构信息

Department of Obstetrics and Gynecology, Università Campus Bio Medico di Roma, Via Álvaro del Portillo, 21, 00128 Rome, Italy.

Department of Clinico-Surgical, Diagnostic and Pediatric Sciences, Faculty of Medicine and Surgery, University of Pavia, Via Alessandro Brambilla, 74, 27100 Pavia, Italy.

出版信息

Int J Environ Res Public Health. 2022 Sep 14;19(18):11593. doi: 10.3390/ijerph191811593.

Abstract

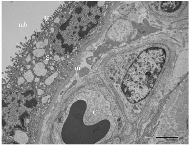
Microplastics (MPs) are defined as plastic particles smaller than 5 mm. They have been found almost everywhere they have been searched for and recent discoveries have also demonstrated their presence in human placenta, blood, meconium, and breastmilk, but their location and toxicity to humans have not been reported to date. The aim of this study was twofold: 1. To locate MPs within the intra/extracellular compartment in human placenta. 2. To understand whether their presence and location are associated with possible structural changes of cell organelles. Using variable pressure scanning electron microscopy and transmission electron microscopy, MPs have been localized in ten human placentas. In this study, we demonstrated for the first time the presence and localization in the cellular compartment of fragments compatible with MPs in the human placenta and we hypothesized a possible correlation between their presence and important ultrastructural alterations of some intracytoplasmic organelles (mitochondria and endoplasmic reticulum). These alterations have never been reported in normal healthy term pregnancies until today. They could be the result of a prolonged attempt to remove and destroy the plastic particles inside the placental tissue. The presence of virtually indestructible particles in term human placenta could contribute to the activation of pathological traits, such as oxidative stress, apoptosis, and inflammation, characteristic of metabolic disorders underlying obesity, diabetes, and metabolic syndrome and partially accounting for the recent epidemic of non-communicable diseases.

摘要

微塑料(MPs)被定义为小于 5 毫米的塑料颗粒。它们几乎在所有有搜索的地方都被发现,最近的发现还表明它们存在于人类胎盘、血液、胎粪和母乳中,但迄今为止,尚未报道它们在人体内的位置和毒性。本研究的目的有两个:1. 定位人胎盘细胞内外间隙中的 MPs。2. 了解它们的存在和位置是否与细胞细胞器的可能结构变化有关。本研究使用可变压力扫描电子显微镜和透射电子显微镜,在 10 个人类胎盘中定位了 MPs。本研究首次证明了 MPs 存在于人类胎盘的细胞区室中,并定位于其中,我们假设它们的存在与一些胞质细胞器(线粒体和内质网)的重要超微结构改变之间可能存在相关性。这些改变在正常健康足月妊娠中至今尚未被报道。它们可能是胎盘组织内试图清除和破坏塑料颗粒的长期结果。在足月人类胎盘中存在几乎无法破坏的颗粒,可能会导致氧化应激、细胞凋亡和炎症等病理特征的激活,这些特征是肥胖、糖尿病和代谢综合征等代谢紊乱的基础,部分解释了最近非传染性疾病的流行。

https://cdn.ncbi.nlm.nih.gov/pmc/blobs/a6c9/9517680/2049de510265/ijerph-19-11593-g001.jpg

文献AI研究员

20分钟写一篇综述,助力文献阅读效率提升50倍。

立即体验

用中文搜PubMed

大模型驱动的PubMed中文搜索引擎

马上搜索

文档翻译

学术文献翻译模型,支持多种主流文档格式。

立即体验