Suppr超能文献

人纤维软骨干细胞在髁突骨软骨瘤中的调节作用

Regulatory role of human fibrocartilage stem cells in condyle osteochondroma.

作者信息

Yin Qing, Bi Ruiye, Li Haohan, Li Qianli, Li Peiran, Wang Ruiyu, Zhu Songsong

机构信息

State Key Laboratory of Oral Diseases & National Clinical Research Center for Oral Diseases, West China Hospital of Stomatology, Sichuan University, Chengdu, China.

出版信息

Cell Prolif. 2023 Jan;56(1):e13342. doi: 10.1111/cpr.13342. Epub 2022 Sep 26.

Abstract

OBJECTIVE

Osteochondroma is a common benign skeletal disorder for which different molecular and histological features of long bones have been reported. We investigated cell-of-origin and molecular mechanisms of a rare condylar osteochondroma (CO).

METHODS

Human fibrocartilage stem cells (hFCSCs) isolated from CO and normal condyle tissue were used for RNA sequencing, real-time PCR, Western Blotting, immunohistology, flowcytometry, as well as for chondrogenic differentiation, proliferation, and apoptosis detection assays.

RESULTS

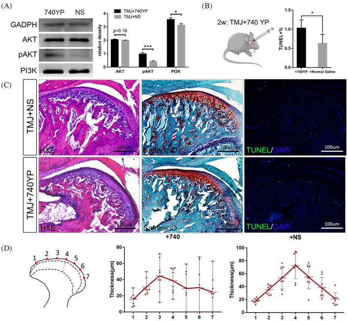
HFCSCs were fewer in number with weaker proliferative capacity and higher apoptosis ratio in the CO group. During the chondrogenic inducing process, hFCSCs from CO were prone to form more mature and hypertrophic cartilage. The result of RNA sequencing of hFCSCs from CO and normal condyle revealed a correlation between the PI3K/AKT signalling pathway and CO. Activated PI3K/AKT signalling might lead to functional changes in hFCSCs by enhancing cell apoptosis in the developmental process of CO. Increased expression of BCL2-like protein 11 (BIM) in CO tissue also supports this conclusion. Furthermore, the activation of the PI3K/AKT pathway in TMJ of mice induced histological disorder and increased apoptosis in condylar cartilage.

CONCLUSION

We conclude that the activation of PI3K/AKT signalling in hFCSCs of CO suggests a new hypothesis for the cell-of-origin of human CO and another possible target to treat it.

摘要

目的

骨软骨瘤是一种常见的良性骨骼疾病,已有关于长骨不同分子和组织学特征的报道。我们研究了一种罕见的髁突骨软骨瘤(CO)的细胞起源和分子机制。

方法

从CO和正常髁突组织中分离出的人纤维软骨干细胞(hFCSCs)用于RNA测序、实时PCR、蛋白质免疫印迹、免疫组织化学、流式细胞术,以及软骨形成分化、增殖和凋亡检测试验。

结果

CO组中hFCSCs数量较少,增殖能力较弱,凋亡率较高。在软骨形成诱导过程中,来自CO的hFCSCs更容易形成更成熟和肥大的软骨。对来自CO和正常髁突的hFCSCs进行RNA测序的结果显示PI3K/AKT信号通路与CO之间存在相关性。激活的PI3K/AKT信号可能通过增强CO发育过程中的细胞凋亡导致hFCSCs功能改变。CO组织中BCL2样蛋白11(BIM)表达增加也支持这一结论。此外,小鼠颞下颌关节中PI3K/AKT通路的激活诱导了组织学紊乱并增加了髁突软骨的凋亡。

结论

我们得出结论,CO的hFCSCs中PI3K/AKT信号的激活为人CO的细胞起源提出了一个新假设,也是治疗它的另一个可能靶点。

https://cdn.ncbi.nlm.nih.gov/pmc/blobs/4ed1/9816926/229afe9b3d7a/CPR-56-e13342-g004.jpg

文献AI研究员

20分钟写一篇综述,助力文献阅读效率提升50倍。

立即体验

用中文搜PubMed

大模型驱动的PubMed中文搜索引擎

马上搜索

文档翻译

学术文献翻译模型,支持多种主流文档格式。

立即体验