Suppr超能文献

对辣木(Moringa oleifera Lam.)叶水提物联合吡喹酮疗法对曼氏血吸虫诱导的雄性小鼠肝脾损伤的寄生虫学和组织病理学研究。

Parasitological and histopathological studies to the effect of aqueous extract of Moringa oleifera Lam. leaves combined with praziquantel therapy in modulating the liver and spleen damage induced by Schistosoma mansoni to male mice.

机构信息

Zoology Department, Faculty of Science, Suez Canal University, Ismailia, Egypt.

出版信息

Environ Sci Pollut Res Int. 2023 Feb;30(6):15548-15560. doi: 10.1007/s11356-022-23098-2. Epub 2022 Sep 28.

Abstract

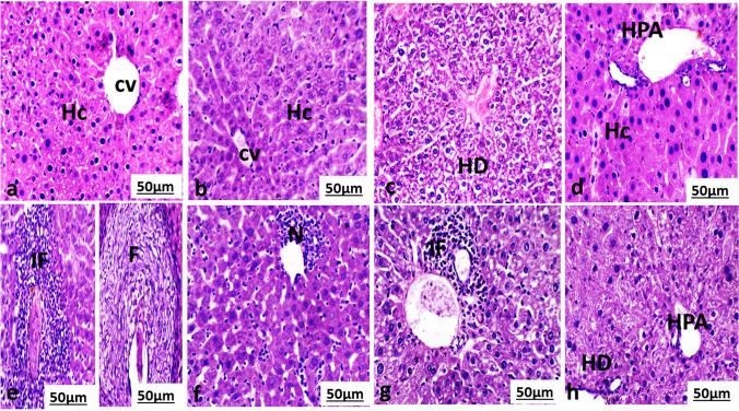
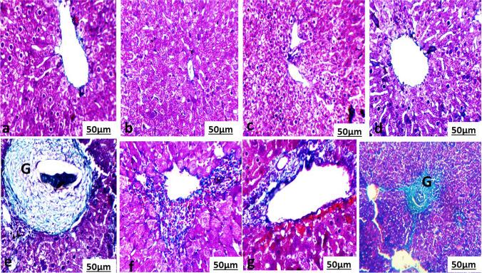
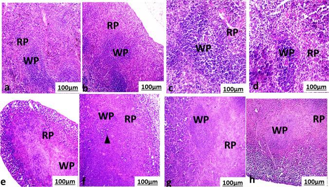
This study assessed the effectiveness of an aqueous extract of Moringa Oleifera Lam. leaves (MOL) alone or in combination with praziquantel (PZQ) drug targeting-infected mice with Schistosoma mansoni-induced liver and spleen damage. Mice were divided into eight groups control mice group treated orally with saline. PZQ group: non-infected mice treated orally with 300 mg/kg bwt PZQ three consecutive days. MOL group: non-infected mice treated orally with 150 mg/kg bwt MOL extract for 15 days. PZQ/ MOL group: non-infected mice treated orally with 300 mg/kg bwt PZQ for three consecutive days and 150 mg/kg bwt MOL extract for 15 days. IF group: infected mice with 100 cercariae/mouse of the Egyptian strain of S. mansoni. IF/PZQ group infected mice with S. mansoni cercariae and treated orally with 300 mg/kg bwt PZQ for three consecutive days. IF/MOL group: infected mice with S. mansoni cercariae treated orally with 150 mg/kg bwt MOL extract for 15 days. IF/PZQ +MOL group: infected mice with S. mansoni cercariae treated orally with 300 mg/kg bwt PZQ for three consecutive days and 150 mg/kg bwt MOL extract for 15 days. Blood, liver, spleen, worm, and eggs were collected at the end of the experimental period. Treatment of infected mice with MOL and PZQ together significantly reduced the number of ova/g tissue and eliminated the parasites. In addition, the liver and spleen of infected mice showed less histopathological alteration and immunohistochemical expression of nuclear factor kappa β (NF-Kβ). We can conclude that MOL extract combined with PZ has a curative effect on S. mansoni infection and helped to lessen its pathological effects.

摘要

本研究评估了辣木叶(Moringa oleifera Lam.)水提取物单独或与吡喹酮(PZQ)药物联合治疗感染曼氏血吸虫引起肝脾损伤的感染小鼠的效果。将小鼠分为八组:对照组,口服生理盐水;PZQ 组,非感染小鼠连续 3 天口服 300mg/kg bwt PZQ;MOL 组,非感染小鼠连续 15 天口服 150mg/kg bwt MOL 提取物;PZQ/MOL 组,非感染小鼠连续 3 天口服 300mg/kg bwt PZQ,连续 15 天口服 150mg/kg bwt MOL 提取物;IF 组,感染埃及曼氏血吸虫尾蚴 100 条/只;IF/PZQ 组,感染埃及曼氏血吸虫尾蚴的小鼠连续 3 天口服 300mg/kg bwt PZQ;IF/MOL 组,感染埃及曼氏血吸虫尾蚴的小鼠连续 15 天口服 150mg/kg bwt MOL 提取物;IF/PZQ+MOL 组,感染埃及曼氏血吸虫尾蚴的小鼠连续 3 天口服 300mg/kg bwt PZQ,连续 15 天口服 150mg/kg bwt MOL 提取物。实验结束时收集血液、肝脏、脾脏、蠕虫和卵。用 MOL 和 PZQ 联合治疗感染小鼠可显著减少卵/组织数量并消除寄生虫。此外,感染小鼠的肝脏和脾脏的组织病理学改变和核因子 kappa β(NF-Kβ)的免疫组化表达减少。我们可以得出结论,MOL 提取物联合 PZ 对曼氏血吸虫感染有治疗作用,并有助于减轻其病理作用。

https://cdn.ncbi.nlm.nih.gov/pmc/blobs/db7a/9908685/571a8df71de0/11356_2022_23098_Fig1_HTML.jpg

文献AI研究员

20分钟写一篇综述,助力文献阅读效率提升50倍。

立即体验

用中文搜PubMed

大模型驱动的PubMed中文搜索引擎

马上搜索

文档翻译

学术文献翻译模型,支持多种主流文档格式。

立即体验