Suppr超能文献

基于新型线粒体相关基因风险模型和体外实验鉴定 SSBP1 为胶质母细胞瘤铁死亡相关的生物标志物。

Identification of SSBP1 as a ferroptosis-related biomarker of glioblastoma based on a novel mitochondria-related gene risk model and in vitro experiments.

机构信息

Department of Neurosurgery, Hunan Children's Hospital, No. 86 Ziyuan Road, Changsha, 410007, Hunan, China.

Department of Neurosurgery, Xiangya Hospital, Central South University, 87 Xiangya Road, Changsha, 410008, Hunan, China.

出版信息

J Transl Med. 2022 Sep 30;20(1):440. doi: 10.1186/s12967-022-03657-4.

Abstract

BACKGROUND

Glioblastoma (GBM) is the most common primary malignant brain tumor that leads to lethality. Several studies have demonstrated that mitochondria play an important role in GBM and that mitochondria-related genes (MRGs) are potential therapeutic targets. However, the role of MRGs in GBM remains unclear.

METHODS

Differential expression and univariate Cox regression analyses were combined to screen for prognostic differentially-expressed (DE)-MRGs in GBM. Based on LASSO Cox analysis, 12 DE-MRGs were selected to construct a risk score model. Survival, time dependent ROC, and stratified analyses were performed to evaluate the performance of this risk model. Mutation and functional enrichment analyses were performed to determine the potential mechanism of the risk score. Immune cell infiltration analysis was used to determine the association between the risk score and immune cell infiltration levels. CCK-8 and transwell assays were performed to evaluate cell proliferation and migration, respectively. Mitochondrial reactive oxygen species (ROS) levels and morphology were measured using a confocal laser scanning microscope. Genes and proteins expression levels were investigated by quantitative PCR and western blotting, respectively.

RESULTS

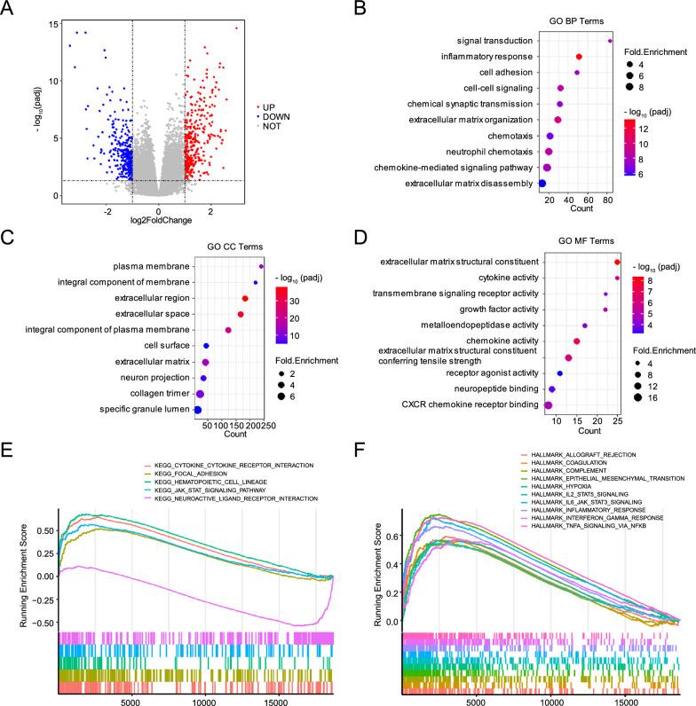
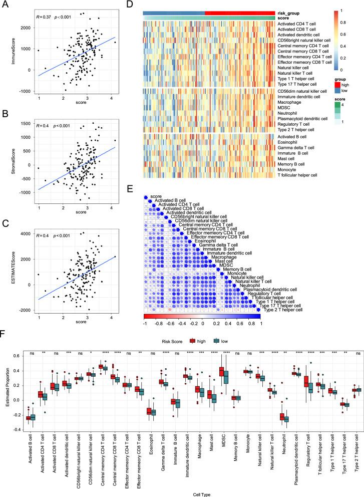
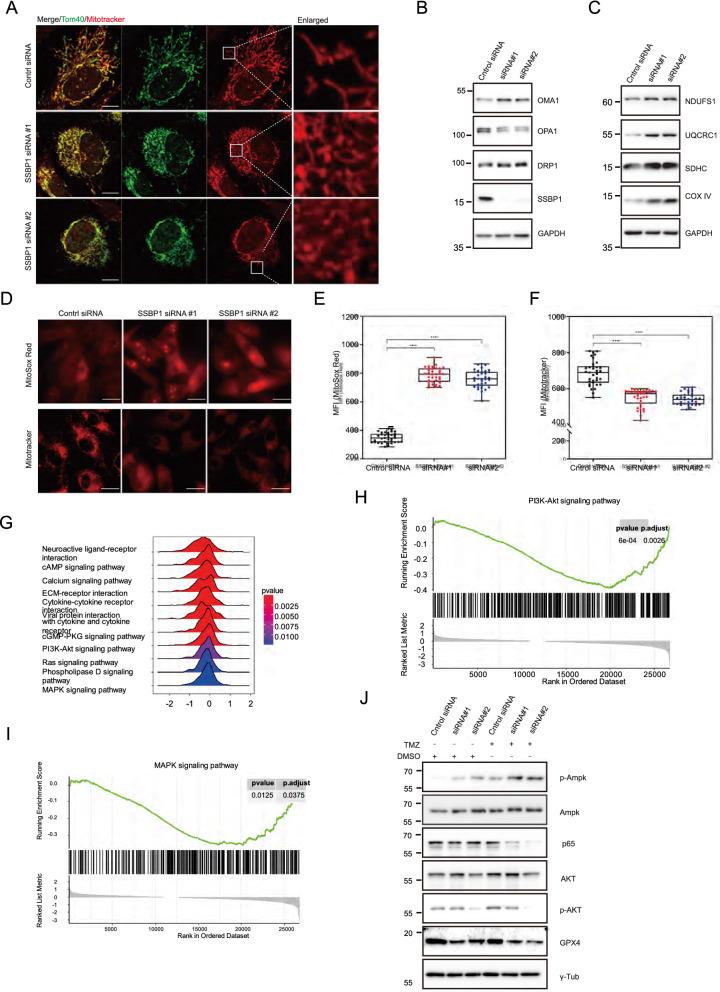
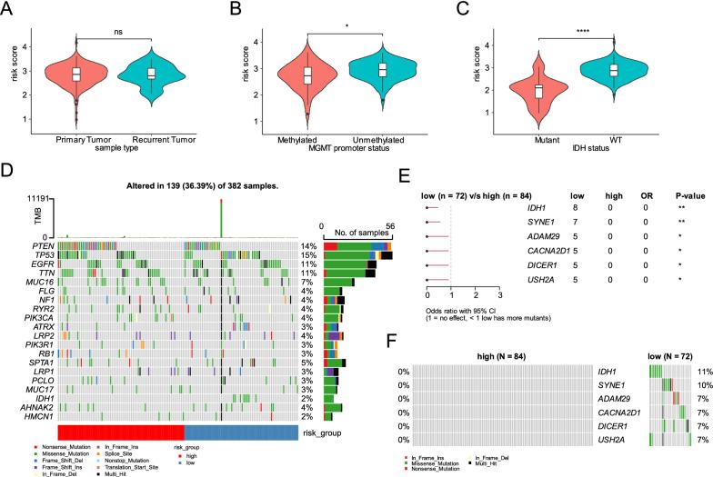
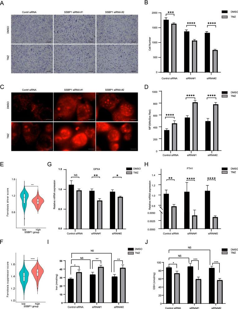
We identified 21 prognostic DE-MRGs, of which 12 DE-MRGs were selected to construct a prognostic risk score model for GBM. This model presented excellent performance in predicting the prognosis of patients with GBM and acted as an independent predictive factor. Functional enrichment analysis revealed that the risk score was enriched in the inflammatory response, extracellular matrix, and pro-cancer-related and immune related pathways. Additionally, the risk score was significantly associated with gene mutations and immune cell infiltration in GBM. Single-stranded DNA-binding protein 1 (SSBP1) was considerably upregulated in GBM and associated with poor prognosis. Furthermore, SSBP1 knockdown inhibited GBM cell progression and migration. Mechanistically, SSBP1 knockdown resulted in mitochondrial dysfunction and increased ROS levels, which, in turn, increased temozolomide (TMZ) sensitivity in GBM cells by enhancing ferroptosis.

CONCLUSION

Our 12 DE-MRGs-based prognostic model can predict the GBM patients prognosis and 12 MRGs are potential targets for the treatment of GBM. SSBP1 was significantly upregulated in GBM and protected U87 cells from TMZ-induced ferroptosis, which could serve as a prognostic and therapeutic target/biomarker for GBM.

摘要

背景

胶质母细胞瘤(GBM)是最常见的原发性恶性脑肿瘤,导致死亡率高。几项研究表明,线粒体在 GBM 中发挥重要作用,线粒体相关基因(MRGs)是潜在的治疗靶点。然而,MRGs 在 GBM 中的作用尚不清楚。

方法

采用差异表达和单变量 Cox 回归分析相结合的方法筛选 GBM 中与预后相关的差异表达(DE)-MRGs。基于 LASSO Cox 分析,选择 12 个 DE-MRGs 构建风险评分模型。进行生存分析、时间依赖 ROC 分析和分层分析以评估该风险模型的性能。进行突变和功能富集分析以确定风险评分的潜在机制。进行免疫细胞浸润分析以确定风险评分与免疫细胞浸润水平之间的关系。通过 CCK-8 和 Transwell 实验分别评估细胞增殖和迁移。使用共聚焦激光扫描显微镜测量线粒体活性氧(ROS)水平和形态。通过定量 PCR 和 Western blot 分别检测基因和蛋白表达水平。

结果

我们鉴定了 21 个与预后相关的 DE-MRGs,其中 12 个 DE-MRGs 被选择用于构建 GBM 的预后风险评分模型。该模型在预测 GBM 患者的预后方面表现出色,是一个独立的预测因素。功能富集分析表明,风险评分富集在炎症反应、细胞外基质和促癌及免疫相关途径中。此外,风险评分与 GBM 中的基因突变和免疫细胞浸润显著相关。单链 DNA 结合蛋白 1(SSBP1)在 GBM 中显著上调,并与不良预后相关。此外,SSBP1 敲低抑制了 GBM 细胞的进展和迁移。机制上,SSBP1 敲低导致线粒体功能障碍和 ROS 水平增加,进而通过增强铁死亡来提高 GBM 细胞对替莫唑胺(TMZ)的敏感性。

结论

我们基于 12 个 DE-MRGs 的预后模型可以预测 GBM 患者的预后,并且 12 个 MRGs 是治疗 GBM 的潜在靶点。SSBP1 在 GBM 中显著上调,并保护 U87 细胞免受 TMZ 诱导的铁死亡,可作为 GBM 的预后和治疗靶点/生物标志物。

https://cdn.ncbi.nlm.nih.gov/pmc/blobs/2970/9524046/9b9dbfd85891/12967_2022_3657_Fig1_HTML.jpg

文献AI研究员

20分钟写一篇综述,助力文献阅读效率提升50倍。

立即体验

用中文搜PubMed

大模型驱动的PubMed中文搜索引擎

马上搜索

文档翻译

学术文献翻译模型,支持多种主流文档格式。

立即体验