Suppr超能文献

博伊斯对大鼠亚硝酸钠诱导的肝毒性的保护作用。

Protective effect of Boiss against sodium nitrite-induced hepatotoxicity in rats.

作者信息

Ahmadi Fatemeh, Louei Monfared Ali, Shakarami Neamatollah

机构信息

Department of Histology and Bacteriology, Faculty of Para Veterinary, Ilam University, Ilam, Iran.

出版信息

Avicenna J Phytomed. 2022 May-Jun;12(3):213-223. doi: 10.22038/AJP.2021.18781.

Abstract

OBJECTIVE

Sodium nitrite (NaNO) is used as a color stabilizer and antimicrobial agent in preservation of cured meat and fish. However, extensive use of this agent in the meat industries increased worries about its detrimental effects on human health. ( is a well-known plant with therapeutic properties in the traditional medicine Therefore, the present study was conducted to investigate the protective effect of this plant against sodium nitrite-induced hepatotoxicity.

MATERIALS AND METHODS

Thirty-two male Wistar rats were divided into 4 groups: Control (without any treatment), nitrite (350 mg/kg by gavage for 60 days), NaNO plus (rats treated with NaNO 350 mg/kg gavage for 60 days and simultaneously received extract at 200 mg/kg, ip) and group (rats treated with extract at 200 mg/kg, ip). At the end of the study, rats were euthanized and liver tissue samples were taken and studied under microscopy. Also, serum levels of liver function enzymes and antioxidant defense systems were measured. The results were analyzed using SPSS software and a p<0.0.5 was considered significant.

RESULTS

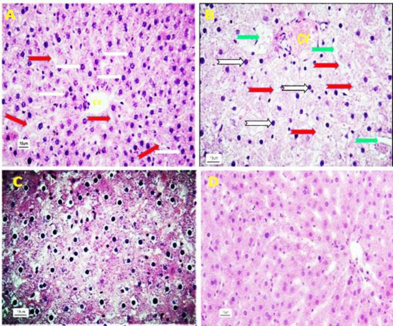
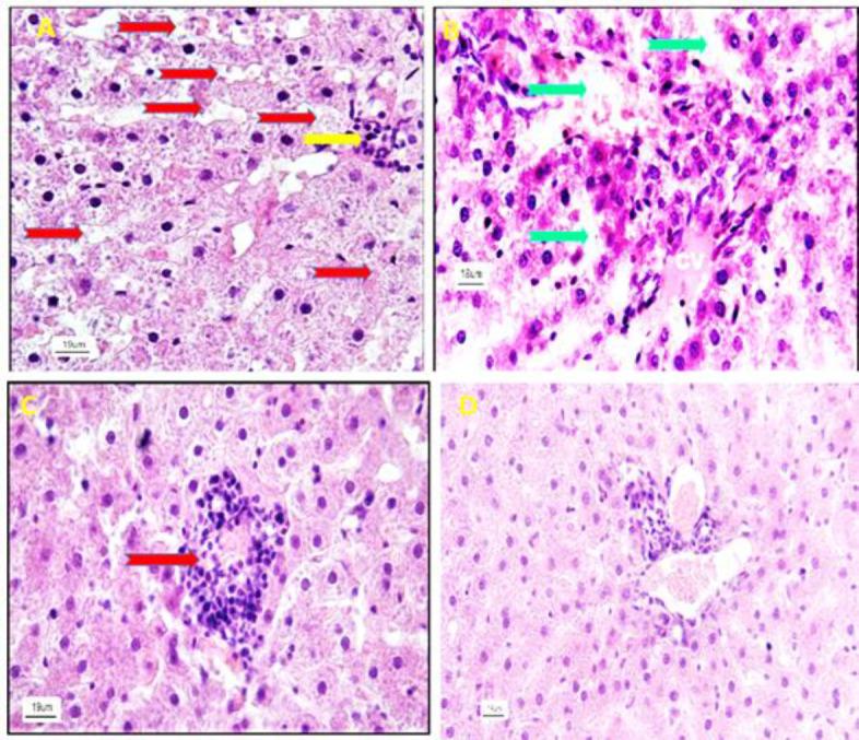
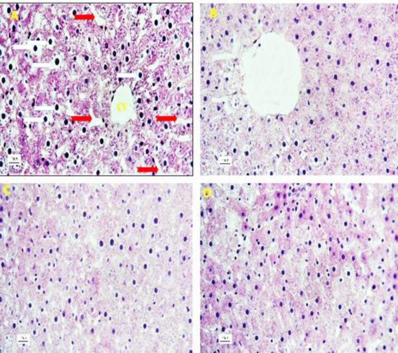
Results showed that NaNO induces liver injuries and altered hepatic histo-architecture. Also, NaNO significantly altered the biochemical profiles and antioxidant defense parameters of the liver. However, treatment with improved tissue integrity as well as antioxidant defense status and biochemical conditions of the liver.

CONCLUSION

Administration of extract has beneficial effects on the NaNO-induced histological and functional toxicity in the liver.

摘要

目的

亚硝酸钠(NaNO)在腌制肉类和鱼类的保存中用作颜色稳定剂和抗菌剂。然而,该试剂在肉类行业的广泛使用增加了人们对其对人体健康有害影响的担忧。(是一种在传统医学中具有治疗特性的著名植物)因此,本研究旨在探讨该植物对亚硝酸钠诱导的肝毒性的保护作用。

材料与方法

32只雄性Wistar大鼠分为4组:对照组(未进行任何处理)、亚硝酸盐组(以350mg/kg的剂量灌胃60天)、亚硝酸钠加(用350mg/kg的亚硝酸钠灌胃60天并同时腹腔注射200mg/kg提取物的大鼠)和组(腹腔注射200mg/kg提取物的大鼠)。在研究结束时,对大鼠实施安乐死并采集肝脏组织样本,在显微镜下进行研究。此外,还测量了肝功能酶和抗氧化防御系统的血清水平。使用SPSS软件对结果进行分析,p<0.05被认为具有显著性。

结果

结果表明,亚硝酸钠会导致肝损伤并改变肝脏组织结构。此外,亚硝酸钠还显著改变了肝脏的生化特征和抗氧化防御参数。然而,提取物处理改善了肝脏的组织完整性以及抗氧化防御状态和生化状况。

结论

提取物的给药对亚硝酸钠诱导的肝脏组织学和功能毒性具有有益作用。

https://cdn.ncbi.nlm.nih.gov/pmc/blobs/01bc/9482715/b632109d31d1/AJP-12-213-g001.jpg

文献AI研究员

20分钟写一篇综述,助力文献阅读效率提升50倍。

立即体验

用中文搜PubMed

大模型驱动的PubMed中文搜索引擎

马上搜索

文档翻译

学术文献翻译模型,支持多种主流文档格式。

立即体验